38歳 女性 S.Nさん 

あっという間でとても満足しています

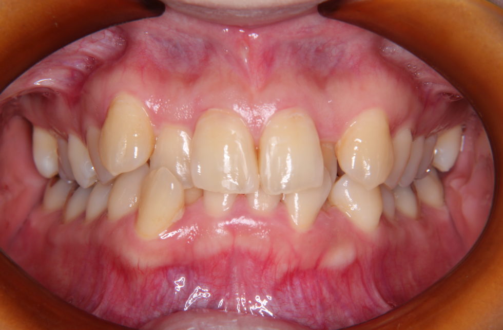
初診時年齢36歳女性。上下顎前歯の叢生を主訴として来院された。
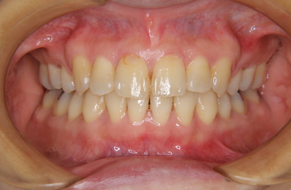
上下の犬歯が唇側転位となっていた。上顎小臼歯、下顎歯患者さんの希望もあり犬歯を抜歯していただき上顎舌側、下顎唇側マルチブラケット装置を使用して動的治療を行った。   動的治療期間は1年4か月間

治療を受けた感想

歯並びが悪いのが昔からコンプレックスで、写真を撮る時は口を閉じていることが多く、矯正には以前から興味がありました。でも装置がみえてしまうことや費用面でなかなか踏み切ることが出来ませんでした。一般歯科で紹介してもらった矯正歯科は休診日が多かったり、裏側矯正に消極的だったり、納得のいくクリニックに出会えませんでした。HPでほりい矯正歯科クリニックを見つけ、カウンセリングの予約をしたところ、丁寧な電話対応で初めの印象がすごく良かったです。 私の歯並びは叢生で4番目の歯を抜くことが多いと思いますが、極端に歯列からずれている3番目の歯を抜きたいと堀井先生に伝えたところ、要望をきちんと受け入れてくれました。おかげで2年~2年半ほどかかるところ、2年足らずで装置を外すことが出来て、あっという間でとても満足しています。   いざ治療が始まると、スタッフさん同士の連携が素晴らしいと思いました。治療前の一般歯科での抜歯の時は私の要望がスタッフの方に伝わってなかったり不安な思いをしただけに、ここのスタッフさんの質の高さはピカイチだと思いました。スタッフの教育にも力を入れていらっしゃるので安心して治療を受ける事ができました。 治療を受ける前は歯磨きは正直適当でしたが、治療を受けてからは時間をかけて歯磨きをするようになりました。テレビを見ながら歯磨きすれば時間がかかっても苦にならず、テレビに出ている人の歯並びをチェックしてしまうくらい歯への関心が高くなりました(笑) せっかくキレイになった歯並びなので、今度はホワイトニングも始めて自分の歯を大切にしていこうと思います。 堀井先生、嶋本先生、スタッフの皆様、この度は本当にありがとうございました。

治療費用

110万円程度(税込)

矯正治療には以下のようなリスクがあります。

  • ・歯の移動を行う際の痛みが生ずる場合がある。
  • ・ブラッシングが十分行わなかった場合に虫歯ができることがある。
  • ・歯の移動を行うと極めて希に根の吸収が起こることがある。
  • ・矯正用ゴムを指示通り使用しないと計画している歯の動きが得られないことがある。
  • ・装置が粘膜を刺激することで口内炎が起こることがある。
  • ・歯の裏側の装置の場合、装着後数日は発音障害が出ることがある。