治療が必要な歯並びとは?

治療イメージ

お子様の矯正治療の特徴はあごや顔面の骨や歯が成長の過程にあり、この成長を利用して治療が行えるところです。したがって、歯を動かす治療とともにあごの成長を促したり、過剰な成長を抑制し、バランスの良いあご、歯列へ誘導を行うことが大きな目的となります。このために使用する装置は可撤式(取り外しの装置)が中心となります。

治療例

CASE:01叢生(そうせい)

成長期の叢生の場合は歯列やあごを広げることで、歯がでこぼこに生えるのを予防したり、治療することができます。でこぼこに生えてしまった場合は固定式の装置を使用する場合もあります。

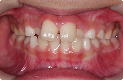
【6歳男子】叢生(そうせい)の予防+取り外しの装置

6歳の男児 永久歯萌出余地がなく、レントゲン写真(正面セファログラム、パノラマX線写真)から、歯が重なり合って生えることが想定されたため、可撤式の床装置に拡大ネジを組み込んだ装置を日中、夜間装着して歯列の拡大処置を行った。骨内で歯のねじれがあるとこれの修正にマルチブラケット装置が必要になるが、事前の検査にて歯のねじれがないことが分かっていたため、拡大を行うことで各歯が順調に萌出した。
治療期間:1年9ヶ月
治療費の目安:40万円

考えられるリスク

  • ・歯の移動を行う際の痛みが生ずる場合がある。
  • ・ブラッシングが十分行わなかった場合に虫歯ができることがある。
  • ・歯の移動を行うと極めて希に根の吸収が起こることがある。
  • ・矯正用ゴムを指示通り使用しないと計画している歯の動きが得られないことがある。
  • ・装置が粘膜を刺激することで口内炎が起こることがある。
  • ・歯の裏側の装置の場合、装着後数日は発音障害が出ることがある。
治療前 【6歳男子】叢生(そうせい)の予防+取り外しの装置 治療前
治療後 【6歳男子】叢生(そうせい)の予防+取り外しの装置 治療後

【9歳男子】固定式装置

上顎右側側切歯が捻転するように口蓋側(内側)へ転位していた。正中に若干の空隙があり、この空隙を閉鎖することで側切歯を歯列内に移動できる余地ができると評価し上顎にマルチブラケット装置を使用して歯列を整えた。動的治療期間は5か月間。その後、保定を行った。
治療費の目安:40万円

考えられるリスク

  • ・歯の移動を行う際の痛みが生ずる場合がある。
  • ・ブラッシングが十分行わなかった場合に虫歯ができることがある。
  • ・歯の移動を行うと極めて希に根の吸収が起こることがある。
  • ・矯正用ゴムを指示通り使用しないと計画している歯の動きが得られないことがある。
  • ・装置が粘膜を刺激することで口内炎が起こることがある。
  • ・歯の裏側の装置の場合、装着後数日は発音障害が出ることがある。
治療前 【9歳男子】固定式装置 治療前
治療後 【9歳男子】固定式装置 治療後

CASE:02上顎前突(じょうがくぜんとつ)

成長期の上顎前突は「下あごの成長を促す」「歯列の拡大」「出っ張っている上あごの前歯を引っ込める」という3つの作用を発揮する装置を使用して行います。

【9歳女子】取り外しの装置

上顎前歯が13㎜突出していた。また、下顎左側犬歯の萌出余地は全くなく、側切歯と第一乳臼歯は接触していた。セファログラムの分析を行い、咬合挙上を行うことで下顎の前方成長の誘導、上顎前歯の後退が充分可能な顎形態をしていると評価し、バイオネーターを使用した。上顎前歯が13㎜突出している状態であったが、1年6か月で切端咬合へ改善した。
治療費の目安:40万円

考えられるリスク

  • ・歯の移動を行う際の痛みが生ずる場合がある。
  • ・ブラッシングが十分行わなかった場合に虫歯ができることがある。
  • ・歯の移動を行うと極めて希に根の吸収が起こることがある。
  • ・矯正用ゴムを指示通り使用しないと計画している歯の動きが得られないことがある。
  • ・装置が粘膜を刺激することで口内炎が起こることがある。
  • ・歯の裏側の装置の場合、装着後数日は発音障害が出ることがある。
治療前 【9歳女子】取り外しの装置 治療前
治療後 【9歳女子】取り外しの装置 治療後

CASE:03下顎前突(かがくぜんとつ)

下顎前突の治療は乳歯の奥歯が生えそろい、咬みあわせが安定したら出来るだけ早期に開始するのが望ましいと考えています。不正咬合の程度にもよりますが相対的に低年齢の方が、より簡単な装置での治療が可能です。ムーシールドも使用しています。

【3歳男子】取り外しの装置

ムーシールドを就寝時に使用した。6か月間で前歯の反対咬合が改善した。
治療費の目安:40万円

考えられるリスク

  • ・歯の移動を行う際の痛みが生ずる場合がある。
  • ・ブラッシングが十分行わなかった場合に虫歯ができることがある。
  • ・歯の移動を行うと極めて希に根の吸収が起こることがある。
  • ・矯正用ゴムを指示通り使用しないと計画している歯の動きが得られないことがある。
  • ・装置が粘膜を刺激することで口内炎が起こることがある。
  • ・歯の裏側の装置の場合、装着後数日は発音障害が出ることがある。
治療前 【3歳男子】取り外しの装置 治療前
治療後 【3歳男子】取り外しの装置 治療後

【7歳男子】取り外し+固定式装置

上顎歯列が狭く、乳犬歯以前の全ての歯が反対咬合となっていた。口腔内にクアドヘリックス装置を装着し歯列の側方拡大を行いながら、上顎前方牽引装置を就寝時に装着した。9か月で前歯の被蓋が改善した。上顎左右側側切歯の萌出により、上顎中切歯間の空隙も閉鎖した。
治療費の目安:40万円

考えられるリスク

  • ・歯の移動を行う際の痛みが生ずる場合がある。
  • ・ブラッシングが十分行わなかった場合に虫歯ができることがある。
  • ・歯の移動を行うと極めて希に根の吸収が起こることがある。
  • ・矯正用ゴムを指示通り使用しないと計画している歯の動きが得られないことがある。
  • ・装置が粘膜を刺激することで口内炎が起こることがある。
  • ・歯の裏側の装置の場合、装着後数日は発音障害が出ることがある。
治療前 【7歳男子】取り外しの装置 治療前
治療後 【7歳男子】取り外しの装置 治療後

【10歳男子】取り外し+固定式装置

著しい骨格性反対咬合で、問診では他院で成人後、顎変形症として顎離断術を併用しての治療を勧められたとのことであった。セファログラムの分析から、咬合挙上床を併用し上顎前方牽引装置を11か月間使用して前歯被蓋を改善した。頤帽装置で2年間保定を行い、前歯被蓋の変化がないことを確認し、骨格の成長が終了するのを待って、15歳から13か月間上下顎マルチブラケット装置を装着し咬合の確立を行った。永久歯の抜歯は行っていない。
治療費の目安:85万円

考えられるリスク

  • ・歯の移動を行う際の痛みが生ずる場合がある。
  • ・ブラッシングが十分行わなかった場合に虫歯ができることがある。
  • ・歯の移動を行うと極めて希に根の吸収が起こることがある。
  • ・矯正用ゴムを指示通り使用しないと計画している歯の動きが得られないことがある。
  • ・装置が粘膜を刺激することで口内炎が起こることがある。
  • ・歯の裏側の装置の場合、装着後数日は発音障害が出ることがある。
治療前 【10歳男子】取り外しの装置 治療前
治療後 【10歳男子】取り外しの装置 治療後

CASE:04開咬(かいこう)

開咬の治療には装置を使用する場合もありますが、まずは装置を使用することなく筋機能療法を行うことが望ましいと考えています。

開咬の治療

開咬のお子様の場合、前歯がかみ合わないなどの症状のほかに、食事中に食べ物をよくこぼしたり、口の周りが著しく汚れるなどの症状として見られる場合があります。これは捕食(食べ物をくちに運ぶ)時の舌の動きや、嚥下(食べ物や飲み物を飲み下す)の際の舌の動きが正常でなく、舌を上あごにしっかりつけることが出来ず、前方へ突出することでおこりやすくなります。この舌を前方へ突出させる動きは、歯が生える前、哺乳時の舌と同じで、筋機能療法では歯が生えてから獲得される正常な舌の動きを習得することで、舌が無意識に前方へ突出することを減らし、歯が自然な状態で萌出することを促して開咬を治療しようとする治療法です。

【6歳女子】

他の疾患の影響もあり、装置を使用することなく治療を行いたいた考え、筋機能療法のみを行った。
治療期間:2年6ヶ月
治療費の目安:20万円

考えられるリスク

  • ・歯の移動を行う際の痛みが生ずる場合がある。
  • ・ブラッシングが十分行わなかった場合に虫歯ができることがある。
  • ・歯の移動を行うと極めて希に根の吸収が起こることがある。
  • ・矯正用ゴムを指示通り使用しないと計画している歯の動きが得られないことがある。
  • ・装置が粘膜を刺激することで口内炎が起こることがある。
  • ・歯の裏側の装置の場合、装着後数日は発音障害が出ることがある。
治療前 開咬の治療 治療前
治療後 開咬の治療 治療後

CASE:05正中のずれ

成長期の正中のずれには2種類があります。

  • 1. 歯の位置によって正中がずれているもの
  • 2. あごの骨自体がずれているもの

特に成長期に治療が必要なものは(2)のあごの骨自体のずれがあるもので、上下の奥歯が逆転して噛んでいることがほとんどです。成長するにつれかみ合わせはもちろんのこと、顔のゆがみにつながる場合があり、自然に治癒することが少ないため、出来るだけ早期に改善しておくことが望ましいと考えています。

【8歳男子】固定式装置

上顎歯列の幅が狭く、下顎を左へ寄せないと奥歯がうまく噛み合わない状態であった。固定式拡大装置を使用して11ヶ月間上顎歯列の拡大処置を行った。下顎を左へ寄せて咬んでいたことから治療前と比較すると上下の中央のズレが軽減した。
治療費の目安:40万円

考えられるリスク

  • ・歯の移動を行う際の痛みが生ずる場合がある。
  • ・ブラッシングが十分行わなかった場合に虫歯ができることがある。
  • ・歯の移動を行うと極めて希に根の吸収が起こることがある。
  • ・矯正用ゴムを指示通り使用しないと計画している歯の動きが得られないことがある。
  • ・装置が粘膜を刺激することで口内炎が起こることがある。
  • ・歯の裏側の装置の場合、装着後数日は発音障害が出ることがある。
治療前 【8歳男子】固定式装置 治療前
治療後 【8歳男子】固定式装置 治療後