治療が必要な歯並びとは?

治療イメージ

悪い歯並びのまま放置すると、歯を磨くことが困難になって虫歯になりやすなります。また、あごの関節に重い負担がかかるだけでなく、咬みこなし消化が悪くなり内臓にまで負担のかかることがあります。
もし「歯並びが悪いかも?」と少しでもお悩みの方は、初診にお越しください。

治療例

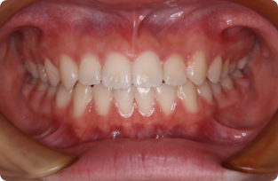
CASE:01叢生(そうせい)

歯が出たり入ったり、でこぼこに並んでいる状態 → 八重歯、乱杭歯、でこぼこ

【19歳男性】抜歯なし

顎形態の分析の結果、小臼歯の抜歯を行わずマルチブラケット装置を使用して各歯を遠心(後方)へ移動し八重歯となっている犬歯を整えた。途中10ヶ月間オーストラリアへ留学されていたことから動的治療期間は1年11ヶ月間であった。上下左右智歯(親知らず)は抜歯している。
治療費の目安:85万円程度
住所:京都市在住

考えられるリスク

  • ・歯の移動を行う際の痛みが生ずる場合がある。
  • ・ブラッシングが十分行わなかった場合に虫歯ができることがある。
  • ・歯の移動を行うと極めて希に根の吸収が起こることがある。
  • ・矯正用ゴムを指示通り使用しないと計画している歯の動きが得られないことがある。
  • ・装置が粘膜を刺激することで口内炎が起こることがある。
  • ・歯の裏側の装置の場合、装着後数日は発音障害が出ることがある。
治療前 【19歳男性】抜歯なし 治療前
治療後 【19歳男性】抜歯なし 治療後

【22歳女性】舌側矯正

上下顎第一小臼歯(4番目)を抜歯し、舌側マルチブラケット装置を使用して治療を行った。動的治療期間は2年1ヶ月間であった。
動的治療期間は2年1ヶ月間であった。
治療費の目安:110万円程度
住所:長浜市在住

考えられるリスク

  • ・歯の移動を行う際の痛みが生ずる場合がある。
  • ・ブラッシングが十分行わなかった場合に虫歯ができることがある。
  • ・歯の移動を行うと極めて希に根の吸収が起こることがある。
  • ・矯正用ゴムを指示通り使用しないと計画している歯の動きが得られないことがある。
  • ・装置が粘膜を刺激することで口内炎が起こることがある。
  • ・歯の裏側の装置の場合、装着後数日は発音障害が出ることがある。
治療前 【22歳女性】舌側矯正 治療前
治療後 【22歳女性】舌側矯正 治療後

CASE:02上顎前突(じょうがくぜんとつ)

上の歯が前に出た状態のこと → 出っ歯

【15歳女性】抜歯なし

顎形態の分析の結果、小臼歯抜歯を行わずマルチブラケット装置に矯正用ゴムを使用して上顎前歯の後退を行った。動的治療期間は10ヶ月であった。
治療費の目安:80万円程度
住所:大津市在住

考えられるリスク

  • ・歯の移動を行う際の痛みが生ずる場合がある。
  • ・ブラッシングが十分行わなかった場合に虫歯ができることがある。
  • ・歯の移動を行うと極めて希に根の吸収が起こることがある。
  • ・矯正用ゴムを指示通り使用しないと計画している歯の動きが得られないことがある。
  • ・装置が粘膜を刺激することで口内炎が起こることがある。
  • ・歯の裏側の装置の場合、装着後数日は発音障害が出ることがある。
治療前 【15歳女性】抜歯なし 治療前
治療後 【15歳女性】抜歯なし 治療後

【26歳女性】舌側矯正

上顎のみ第一小臼歯抜歯(4番目)を行い舌側マルチブラケット装置を使用して治療を行った。治療期間は1年1ヶ月間であった。
治療費の目安:110万円程度
住所:草津市在住

考えられるリスク

  • ・歯の移動を行う際の痛みが生ずる場合がある。
  • ・ブラッシングが十分行わなかった場合に虫歯ができることがある。
  • ・歯の移動を行うと極めて希に根の吸収が起こることがある。
  • ・矯正用ゴムを指示通り使用しないと計画している歯の動きが得られないことがある。
  • ・装置が粘膜を刺激することで口内炎が起こることがある。
  • ・歯の裏側の装置の場合、装着後数日は発音障害が出ることがある。
治療前 【23歳女性】舌側矯正 治療前
治療後 【23歳女性】舌側矯正 治療後

CASE:03下顎前突(かがくぜんとつ)

下の歯が前に出た状態のこと → 反対咬合・受け口

【31歳女性】抜歯なし

顎形態の分析の結果、小臼歯抜歯を行わずマルチブラケット装置に矯正用ゴムを使用して下顎前歯の内傾と上顎前歯の前傾を行った。動的治療期間は1年1ヶ月間であった。
治療費の目安:80万円程度
住所:大津市在住

考えられるリスク

  • ・歯の移動を行う際の痛みが生ずる場合がある。
  • ・ブラッシングが十分行わなかった場合に虫歯ができることがある。
  • ・歯の移動を行うと極めて希に根の吸収が起こることがある。
  • ・矯正用ゴムを指示通り使用しないと計画している歯の動きが得られないことがある。
  • ・装置が粘膜を刺激することで口内炎が起こることがある。
  • ・歯の裏側の装置の場合、装着後数日は発音障害が出ることがある。
治療前 【31歳女性】抜歯なし 治療前
治療後 【31歳女性】抜歯なし 治療後

【32歳女性】舌側矯正

臼歯部を含め犬歯を除くすべての歯が反対咬合となっていたことから、上顎歯列の側方への拡大処置を先行して行い、その後上下顎第一小臼歯(4番目)を抜歯し舌側マルチブラケット装置を使用して前歯部反対咬合を改善した。動的治療期間は2年7ヶ月間であった。
治療費の目安:130万円程度
住所:甲賀市在住

考えられるリスク

  • ・歯の移動を行う際の痛みが生ずる場合がある。
  • ・ブラッシングが十分行わなかった場合に虫歯ができることがある。
  • ・歯の移動を行うと極めて希に根の吸収が起こることがある。
  • ・矯正用ゴムを指示通り使用しないと計画している歯の動きが得られないことがある。
  • ・装置が粘膜を刺激することで口内炎が起こることがある。
  • ・歯の裏側の装置の場合、装着後数日は発音障害が出ることがある。
治療前 【32歳女性】舌側矯正 治療前
治療後 【32歳女性】舌側矯正 治療後

CASE:04開咬(かいこう)

上下の歯が咬み合わない状態

【34歳女性】抜歯あり

顎形態の分析の結果、上顎左右速第一小臼歯(4番目)、下顎左右側第二小臼歯(5番目)の抜歯を行いマルチブラケット装置に矯正用ゴムを使用し動的治療を行った。動的治療期間2年4ヶ月間であった。
治療費の目安:90万円程度
住所:野洲市在住

考えられるリスク

  • ・歯の移動を行う際の痛みが生ずる場合がある。
  • ・ブラッシングが十分行わなかった場合に虫歯ができることがある。
  • ・歯の移動を行うと極めて希に根の吸収が起こることがある。
  • ・矯正用ゴムを指示通り使用しないと計画している歯の動きが得られないことがある。
  • ・装置が粘膜を刺激することで口内炎が起こることがある。
  • ・歯の裏側の装置の場合、装着後数日は発音障害が出ることがある。
治療前 【34歳女性】抜歯あり 治療前
治療後 【34歳女性】抜歯あり 治療後

【26歳女性】舌側矯正

上下顎前歯が前方へ傾斜し前歯部が開咬となっていた。口元の突出もあったため、上下顎左右側第一小臼歯(4番目)を抜歯し上下顎前歯を後退させるように開咬を改善した。前歯を後退させたため、口元の突出感も減少し安寧が得られた。動的治療期間は1年9ヶ月間であった。
治療費の目安:120万円程度
住所:大津市在住

考えられるリスク

  • ・歯の移動を行う際の痛みが生ずる場合がある。
  • ・ブラッシングが十分行わなかった場合に虫歯ができることがある。
  • ・歯の移動を行うと極めて希に根の吸収が起こることがある。
  • ・矯正用ゴムを指示通り使用しないと計画している歯の動きが得られないことがある。
  • ・装置が粘膜を刺激することで口内炎が起こることがある。
  • ・歯の裏側の装置の場合、装着後数日は発音障害が出ることがある。
治療前 【26歳女性】舌側矯正 治療前
治療後 【26歳女性】舌側矯正 治療後

CASE:05過蓋咬合(かがいこうごう)

噛み合わせが深い状態(下の前歯が見えず下の歯が上あごのはぐきを咬んでいる状態)

【17歳男性】抜歯なし

上下顎唇側いマルチブラケット装置を使用した。動的治療期間は1年4か月であった。
治療費の目安:80万円程度
住所:栗東市在住

考えられるリスク

  • ・歯の移動を行う際の痛みが生ずる場合がある。
  • ・ブラッシングが十分行わなかった場合に虫歯ができることがある。
  • ・歯の移動を行うと極めて希に根の吸収が起こることがある。
  • ・矯正用ゴムを指示通り使用しないと計画している歯の動きが得られないことがある。
  • ・装置が粘膜を刺激することで口内炎が起こることがある。
  • ・歯の裏側の装置の場合、装着後数日は発音障害が出ることがある。
治療前 【17歳男性】抜歯なし 治療前
治療後 【17歳男性】抜歯なし 治療後

【24差異女性】舌側矯正

上下顎舌側マルチブラケット装置を使用し小臼歯抜歯を行っていただいて治療を行った。動的治療期間は2年1か月であった。
治療費の目安:125万円程度
住所:長浜市在住

考えられるリスク

  • ・歯の移動を行う際の痛みが生ずる場合がある。
  • ・ブラッシングが十分行わなかった場合に虫歯ができることがある。
  • ・歯の移動を行うと極めて希に根の吸収が起こることがある。
  • ・矯正用ゴムを指示通り使用しないと計画している歯の動きが得られないことがある。
  • ・装置が粘膜を刺激することで口内炎が起こることがある。
  • ・歯の裏側の装置の場合、装着後数日は発音障害が出ることがある。
治療前 舌側矯正 治療前
治療後 舌側矯正 治療後

CASE:06正中のずれ

上下の真ん中が著しくずれた状態

【20歳女性】抜歯なし

上下の中央が著しくずれた反対咬合であった。小臼歯抜歯を行わずマルチブラケット装置に矯正用ゴムを併用して動的治療を行いかみ合わせを整えた。動的治療期間は1年4か月間であった。
治療費の目安:80万円程度
住所:守山市在住

考えられるリスク

  • ・歯の移動を行う際の痛みが生ずる場合がある。
  • ・ブラッシングが十分行わなかった場合に虫歯ができることがある。
  • ・歯の移動を行うと極めて希に根の吸収が起こることがある。
  • ・矯正用ゴムを指示通り使用しないと計画している歯の動きが得られないことがある。
  • ・装置が粘膜を刺激することで口内炎が起こることがある。
  • ・歯の裏側の装置の場合、装着後数日は発音障害が出ることがある。
治療前 【20歳女性】抜歯なし 治療前
治療後 【20歳女性】抜歯なし 治療後

【26歳女性】舌側矯正

永久歯への生えかわりがはじまる小学生の頃から上下の正中線がずれていたとのことであった。その影響で上顎左側第二小臼歯(5番目)が歯列から外れて内側に生えており、中学生時にこの第二小臼歯を抜歯したとのことであった。上顎右側第一小臼歯(4番目)を抜歯し、矯正用アンカースクリューを使用して前歯を右側へ移動し上下の正中線を合致させた。動的治療期間は2年8か月間であった。
治療費の目安:130万円程度
住所:草津市在住

考えられるリスク

  • ・歯の移動を行う際の痛みが生ずる場合がある。
  • ・ブラッシングが十分行わなかった場合に虫歯ができることがある。
  • ・歯の移動を行うと極めて希に根の吸収が起こることがある。
  • ・矯正用ゴムを指示通り使用しないと計画している歯の動きが得られないことがある。
  • ・装置が粘膜を刺激することで口内炎が起こることがある。
  • ・歯の裏側の装置の場合、装着後数日は発音障害が出ることがある。
治療前 【26歳女性】舌側矯正 治療前
治療後 【26歳女性】舌側矯正 治療後

CASE:07正中離開(せいちゅうりかい)

すきっぱの状態

【21歳女性】舌側矯正

小学生のころからすきっ歯で悩んでいたとのことであった。上下顎正中部に大きく空隙があり傾斜していた。中立咬合、空隙歯列と診断した。患者さんの希望で舌側矯正装置で治療を行った。動的治療期間1年5カ月間。
治療費の目安:110万円程度
住所:大津市

考えられるリスク

  • ・歯の移動を行う際の痛みが生ずる場合がある。
  • ・ブラッシングが十分行わなかった場合に虫歯ができることがある。
  • ・歯の移動を行うと極めて希に根の吸収が起こることがある。
  • ・矯正用ゴムを指示通り使用しないと計画している歯の動きが得られないことがある。
  • ・装置が粘膜を刺激することで口内炎が起こることがある。
  • ・歯の裏側の装置の場合、装着後数日は発音障害が出ることがある。
治療前 【21歳女性】舌側矯正 治療前
治療中 【21歳女性】舌側矯正 治療中
治療後 【21歳女性】舌側矯正 治療後