21歳の男性 かみ合わせが悪いことを主訴に来院された。
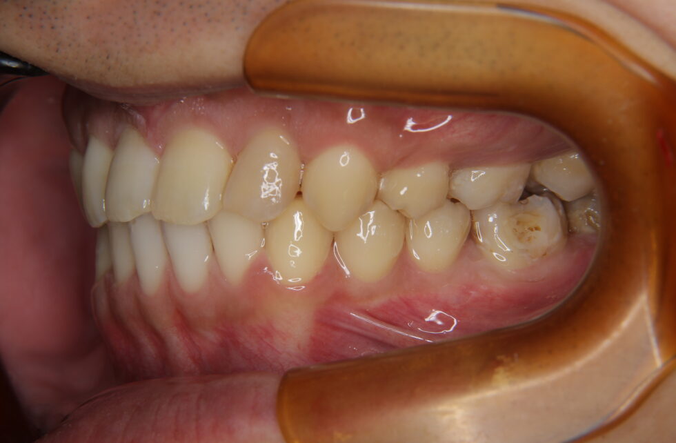
大臼歯関係はⅡ級で上顎前突となっていたが、特筆すべきは、左側の小臼歯、大臼歯すべてが内側に倒れ、すれ違ってかみ合っておらず、上下顎小臼歯、大臼歯が著しく挺出して、咬合平面も著しく歪んでいた。右側臼歯部のすれ違い咬合を伴う骨格性上顎前突と診断して、矯正用アンカースクリューとアンカープレートを併用し上顎舌側、下顎唇側マルチブラケット措置を使用して動的治療を行った。治療は右側臼歯部をまずかみ合わせるところから開始した。その後、上顎左右側小臼歯を抜歯していただき。上顎前歯の後退を行った。治療前は食事をするたびに臼歯が歯肉を噛んでしまい出血したり、ひどい肩こりがあったとのことであったが、動的治療後はこれらの症状が消失し良好な状態になったとのことであった。
動的治療期間3年11カ月間
長期に渡ってお世話になっております。
私が矯正治療を受ける きっかけになったのは以前から学校等の歯科検診でも嚙み合わが悪いと言われていてこともありますが、それ以上に大好きな食事が噛み合わせが悪いことによって出血等の痛みが出るようになったということが一番の決め手でした。
実際、精密検査を受けてみると噛み合わせの他に出っ歯や、バランスが悪いということでした。
今、思い返してみるとその影響で肩こりもひどかったです。治療前は長期間の治療や費用がどれほど掛かるのか不安に思っていましたが、実際治療が始まると話しにくさや痛み等はありましたが、それ以上に自分の歯並びがこれほど変わるのかという驚きと肩こりの解消の嬉しさが当初の不安を一掃してくれました。
ここまで治療を続けられたのも先生をはじめ親身に対応して下さったスタッフの皆さんのおかげです。ありがとうございました。ぜひこれから治療を受けようか迷っている方がおられるならまずはお話しを聞きに初診相談を受けることをおすすめします。














