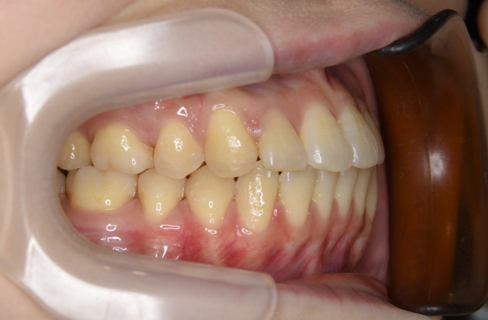
初診時年齢25歳の女性 反対咬合を主訴として来院された。
顔貌はオトガイ部の突出と中顔面の陥凹感があり、口腔内は反対咬合となっていた。比較的強い骨格性反対咬合で、顎離断術を併用した外科矯正の適応であると診断した。上顎左右側第二小臼歯を抜歯していただき顎離断術の術前、術後の矯正治療を行い良好な結果が得られた。治療期間は顎離断術による入院期間を含め3年6か月間
小学生の頃に矯正治療を始めましたが、自分自身で着脱できるタイプの矯正装置だったこともあり、自己判断で治療をやめてしまいました。
でも、受け口は受け口のままで、食事の時は誰かに指摘されないか気にしたり、写真を撮られる時も受け口に見えないように自分なりに工夫したりしていました。
気にしながらも、ずっと放置していた学生時代でしたが、社会人になって、親知らずの抜歯のために久々に歯科医院を受診しました。
その時に先生に相談したら、「将来的には矯正した方がいい」と言われ、手術が必要な場合もあるということも聞き、不安もありましたが、始めるなら早くした方がいいと思い、やっと矯正治療スタートに向けて動き始めました。
やっと、矯正治療をすることを決めたと思ったら、今度は手術をするか しないかを悩むことになりましたが、せっかく治療するのならば、ほりい先生がベストだと思われる方法でしていただきたかったので、外科矯正を選択しました。
心配していた矯正治療の痛みも最初だけで、手術に関しての痛みも想像していたよりなかったです。
ただ、術前矯正期間中は、歯並びはキレイになっていきますが、かみ合わせはひどくなる一方なので、心が折れそうになることもありました。
でも、ほりい矯正歯科クリニックに来ると、よく気持ちを分かっていただける方達ばかりで、嬉しくて心が晴れました。
20年近く気にしていた歯並び、かみ合わせが改善されて、何も気にせず普通に食事ができたり、写真も変に身構える必要もなくなり、性格的にも少しポジティブになれたような気がします。
長い期間の矯正治療、途中には手術もあって大変でしたが、全て良い経験だったなと治療が終わった今感じています。
ほりい矯正歯科クリニックの皆様をはじめ、関わっていただいた方たちに感謝の気持ちでいっぱいです。ありがとうございました。














