M・Yさん 16歳

楽しく治療を受ける事ができました

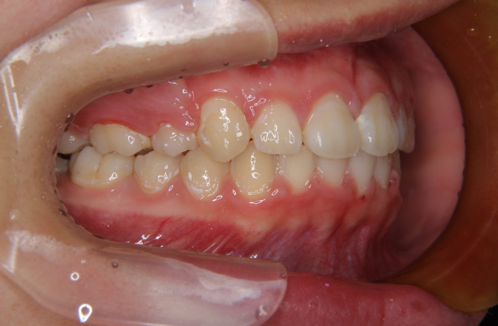
初診時年齢15歳女性。上顎右側の犬歯が唇側転位(八重歯)となっていた。
上顎小臼歯を抜歯して頂き唇側(表側)マルチブラケット装置を使用して治療を行った。犬歯が歯列内に移動し犬歯本来の役目(臼摩運動時に臼歯が揺すられ大きな負荷がかかることを防ぎ臼歯を守る)を発揮する事ができるようになった。   動的治療期間は1年10ヶ月間

治療を受けての感想

上の八重歯がでているのが気になっていて、また上の歯のせいで下の歯並びも悪くなっているということで治療をうけることにしました。 初めての来院の際は、とても緊張したのを覚えていますが、親切に丁寧に対応して下さり、心置きなく通院することができました。アットホームな雰囲気で治療中も色々な話をしたりして楽しく治療を受けることができました。  

治療中大変だったことは(ご本人様)

装置を付けて間もない頃は痛いこともあったけど、2年ほど経った今は嘘のように歯並びがキレイで本当に嬉しく感じています。  

治療を受けて良かったことは(ご本人様)

歯並びが悪かった頃は歯を出すのが嫌で笑うのが嫌いだったり、写真はいつもぎこちない表情しかできませんでした。しかし、矯正をしてから歯を気にせず笑えるようになりました。周りの人からも明るくなったと言われて嬉しかったです。まだ治療が終わったわけではないので、リテーナーをしっかり装着して最後まで頑張ろうと思います。本当にありがとうございました。

治療費用

80万円程度(税込)

矯正治療には以下のようなリスクがあります。

  • ・歯の移動を行う際の痛みが生ずる場合がある。
  • ・ブラッシングが十分行わなかった場合に虫歯ができることがある。
  • ・歯の移動を行うと極めて希に根の吸収が起こることがある。
  • ・矯正用ゴムを指示通り使用しないと計画している歯の動きが得られないことがある。
  • ・装置が粘膜を刺激することで口内炎が起こることがある。
  • ・歯の裏側の装置の場合、装着後数日は発音障害が出ることがある。