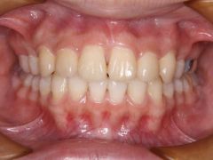
初診時年齢15歳の女子 上顎前歯の叢生を主訴として来院された。
セファログラム写真の分析から下顎が後退した過蓋咬合を伴う骨格性上顎前突であると診断し、上顎舌側、下顎唇側マルチブラケット装置を使用して、口蓋正中部に矯正用アンカースクリューを併用して動的治療を行った。動的治療期間1年7カ月間
私が矯正を始めたのは自分で歯並びを気にしていたからです。
中学3年生の部活の引退を期に、このほりい矯正歯科を訪ね説明を聞きました。ここでは裏側矯正がおこなわれており、それがこのクリニックを選んだ決め手でした。
そして、上の歯は裏側、下の歯は表側という形で器具を装着し矯正生活がスタートしました。
初めはしゃべりづらさに驚きましたが、時間の経過とともに少しずつ慣れていきました。何より大変だったことは毎日の歯磨きです。歯科衛生士さんに丁寧にブラッシングのやり方を教えていただき、毎日30分程時間をかけて磨きました。
疲れている時などにこれだけの時間をかけて磨くのは大変でしたが、器具の装着中は虫歯になりやすいということを十分に指導されていたため、手をぬかずに器具を装着していた2年半の間、毎日続けることができました。
日を追うごとに、歯が並んでいくのが実感でき、それがとても大きな励みになりました。
装置期間が終わり保定期間に入りました。
せっかく手に入れたきれいな歯並びが逆戻りしてしまわないようしっかりリテーナーを装着しようと思います。
矯正は大変なことも多いとは思いますが、歯は一生モノなので、一生のうちの数年を利用して、きれいに矯正することは価値のあることなのではないかと考えます。
私はこの矯正期間で歯の大切さに気づき、これからも大切にしていこうという意識が芽生えました。














