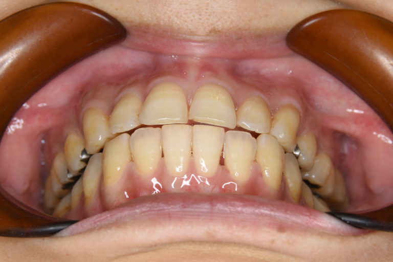
大津市在住31歳女性。上顎前歯の前突と前歯で噛みにくいことを主訴として近隣の歯科医院から紹介来院された。
前歯部の開咬を伴う骨格正常顎前突と診断し上顎小臼歯を抜歯していただき、上顎舌側、下顎唇側マルチブラケット装置を使用して動的治療を行った。口蓋に矯正用アンカースクリューを使用した。開咬の大きな要素として嚥下時の舌の突出があったため筋機能療法も併用した。途中、出産のため来院間隔が開いたが動的治療期間は2年6か月であった。
動的治療期間は2年6か月間
特に痛みがない分、歯並びへの意識はうすくなりがちですが、治療を終えて、その重要性を改めて感じています。 何歳になってからでも治療のスタートをきることは遅くないなと感じました。 いつも楽しい雰囲気をつくってくださる、先生方、スタッフの皆様、ありがとうございました。














