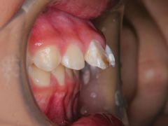
初診時年齢11歳の女子 上顎前歯の前突を主訴として来院された。
上顎前歯が著しく突出しオーバージェットは11㎜であった。上下顎小臼歯を抜歯していただきマルチブラケット装置を使用し、顎外固定装置(ヘッドギア)を併用していただき動的治療を行った。
動的治療期間1年5か月間
始めようとすすめられた頃はすぐ終わると思っていたけど、始めたら1年5か月かかりました。でも今、きれいな歯並びですっきりして気持ちいいです。
~保護者様より~
親の目から見ても、歯並びが悪いと思えていたものが、矯正を始めてからだんだん治っていき、今では矯正する前の姿が思い出せなくなるほどの改善ぶりで、驚きと感謝の気持ちで一杯です。
私も歯並びが悪く、幼少の頃気にしていたので、娘の歯並びが治っていくのがまるで自分の歯並びが治るようで本当に嬉しく思います。ありがとうございました。
痛いこともあったけど、我慢して頑張ったから今の歯並びがあると思います。
歯みがきが大変だったけれども、今歯磨きをするときはとてもすっきりした気持ちで歯磨きができて、矯正をして良かったなと思うようになりました。
前は、学校で人の目を気にしていたけれど、今は学校で人の目線を気にしなくなりました。
今は気軽に笑えるし、笑った時の自分が好きになりました。今、矯正をして良かったなと思いました。














