O.Aさん 34歳

複数の医療機関を見学に行き、決断までにかなり悩みました。

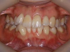
初診時年齢32歳の女性 上顎前歯部の叢生を主訴に来院された。
下顎左側側切歯が先天欠損で、上顎右側第一小臼歯も抜歯されていた。上顎右側小臼歯を抜歯していただき動的治療を行った。下顎が3本切歯であり上下の正中線の合致は困難であるが、下顎歯の抜歯を行わない方針であること、さらに下顎前歯の叢生の改善により歯間弧形空隙(いわゆるブラックトライアングル)が生ずる可能性を説明したが、この方針やリスクに同意が得られたため、上顎左側小臼歯のみを抜歯して動的治療を行った。的治療期間1年10カ月
治療を受けるまでに複数の医療機関を見学に行き、決断までにかなり悩みました。その中で、最終的に貴院に決めたのは、院長先生の誠実なお人柄と、クリニックのスタッフの方々の清々しい雰囲気に惹かれたことが大きかったです。矯正の治療はかなりの治療費がかかるだけでなく年単位の時間がかかる、ある意味で自分の人生の一時期を過ごす「お付き合い」になるような側面があります。そのため、なにより信頼できる先生と居心地の良い環境はとても大切だと考えていました。堀井先生は、初めのカウンセリングの折に治療で可能となる事だけでなく、治療では出来ないこと、また予測される副作用(歯ぐきのやせなど)についても丁寧にご説明して下さり、この先生なら信頼できるであろうと強く感じました。 このご縁で、ほりい矯正歯科クリニックにおいて治療をしていただき、私はとても良かったと感じています。以前は笑う事があまり好きではありませんでしたが、今では自然に楽しく笑うことが好きになりました。本当にありがとうございました。

治療費用

90万円程度(税込)

矯正治療には以下のようなリスクがあります。

  • ・歯の移動を行う際の痛みが生ずる場合がある。
  • ・ブラッシングが十分行わなかった場合に虫歯ができることがある。
  • ・歯の移動を行うと極めて希に根の吸収が起こることがある。
  • ・矯正用ゴムを指示通り使用しないと計画している歯の動きが得られないことがある。
  • ・装置が粘膜を刺激することで口内炎が起こることがある。
  • ・歯の裏側の装置の場合、装着後数日は発音障害が出ることがある。