初診時年齢28歳の女性。前歯の逆被蓋を伴う叢生のケース。
前歯の叢生と咬み合わせを気にして来院されました。
前歯の叢生と咬み合わせを気にして来院されました。
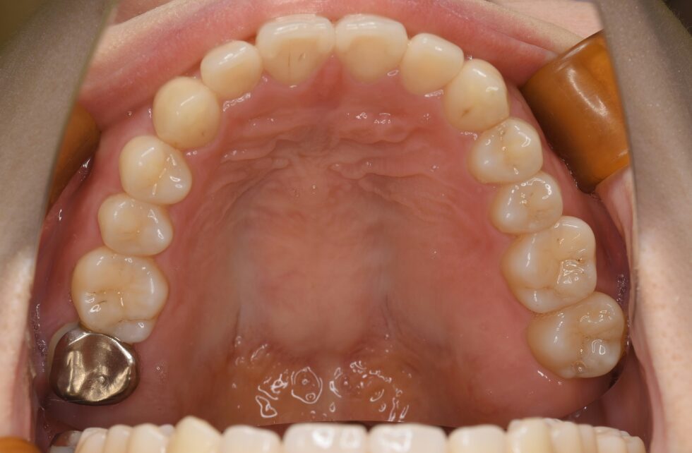
マウスピース型矯正装置(インビザライン)を使用して治療を行いました。前歯の叢生を改善し、逆被蓋も解消することが出来ました。
動的治療期間は11ヶ月間
7~8年前に左上の親知らずが生えてきたことにより、左上の前歯が引っ込み、噛み合わせが悪くなりました。咬み合わせが悪いことから、固く閉まった水筒の蓋を開けるのに力が入らないことが度々ありました。また、見た目の問題から歯を見せて笑ったり写真を撮ることに抵抗があり、治療を受けることにしました。
診察では、レントゲン撮影や口内検査等、多角的に自分の歯の特徴を分析していただき、その後、アライナーを使った矯正の計画をシミュレーション画像を用いて丁寧に詳しく説明していただき、治療を進めることが出来ました。
治療中は、アライナーを新しく取り替えた時は少し痛みはありましたが、ほぼ痛みを感じる事はありませんでした。
治療を始めて1年後にアライナー矯正が終わり、引っ込んでいた前歯も前に出て、他の歯並びもきれいになり、大変満足しています。歯を見せて写真を撮ることも多くなりました。矯正の後戻りを防ぐため、今後もリテーナーを計画通り装着し、キレイな歯並びを継続させたいと思います。
治療に携わっていた先生やクリニックの皆様、ありがとうございました。














