良い矯正治療とはなんでしょうか?
それは、歯並びをきれいに整え、そしてその状態が長く安定して続くことだと考えます。

多くの方は「一度きれいにすれば一生そのまま」と思いがちですが、実際にはそうとは限りません。
矯正後の歯並びは、時間の経過や生活習慣などによって変化する可能性があります。

当院では、治療から10年・20年以上経ってもきれいな状態を保ち続けられるように、培ってきた技術と工夫を治療に活かしてきました。

矯正治療は一時的に整えるだけでなく、長く安定させることが大切だと考えています。
このページでは、実際の長期安定症例をご紹介し、安心して矯正治療に臨んでいただけるよう情報をお届けします。

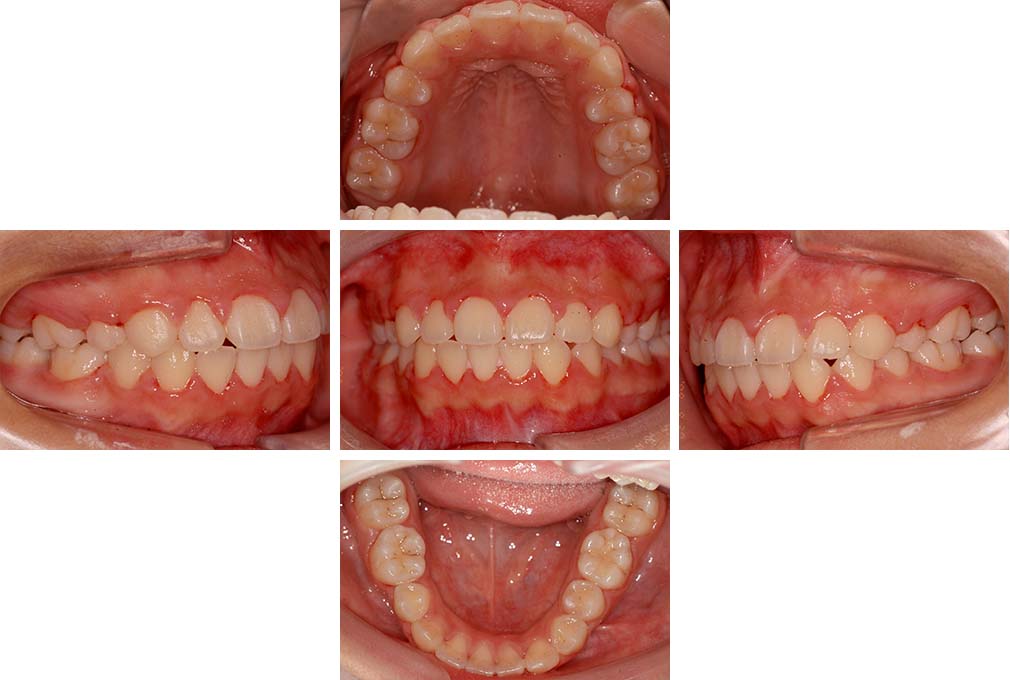
長期安定症例

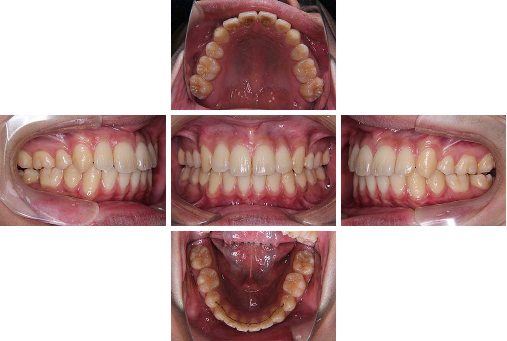
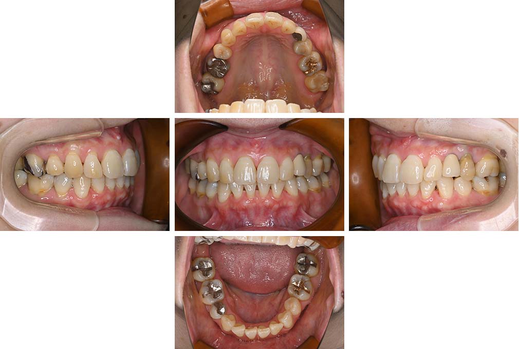
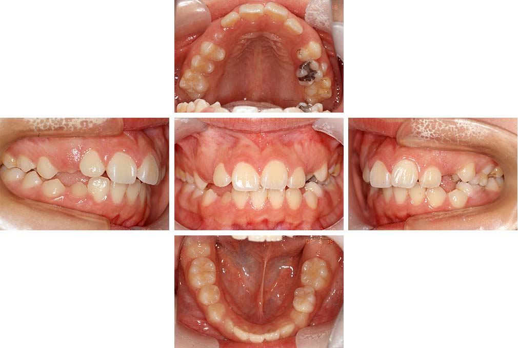
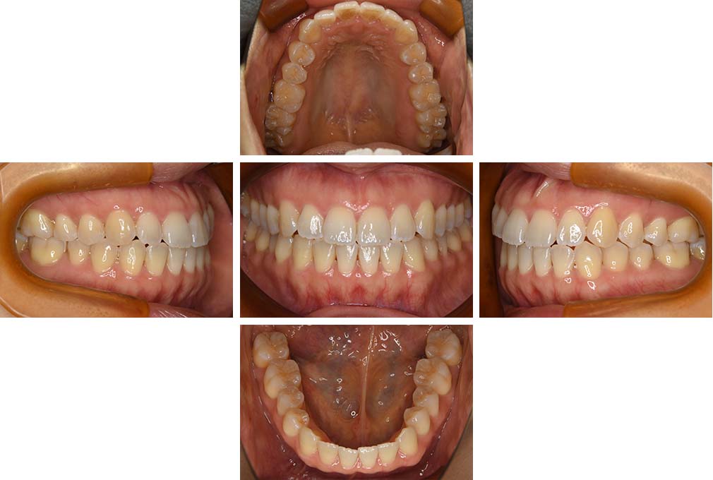
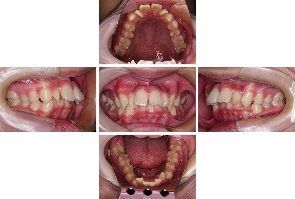
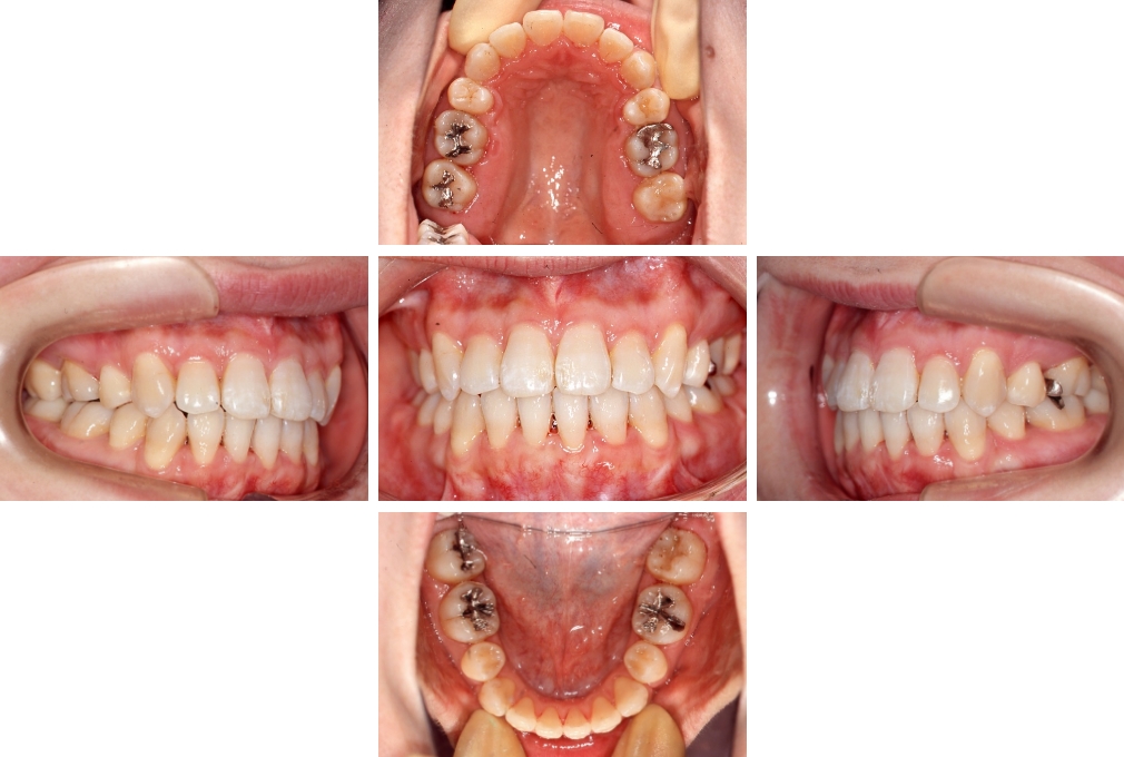
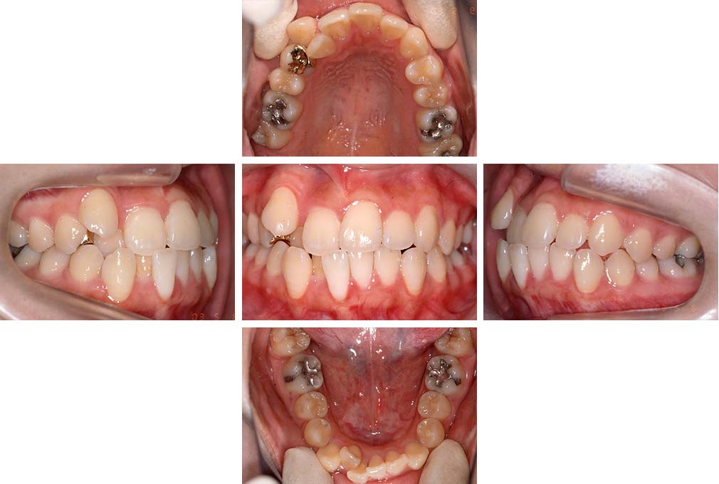
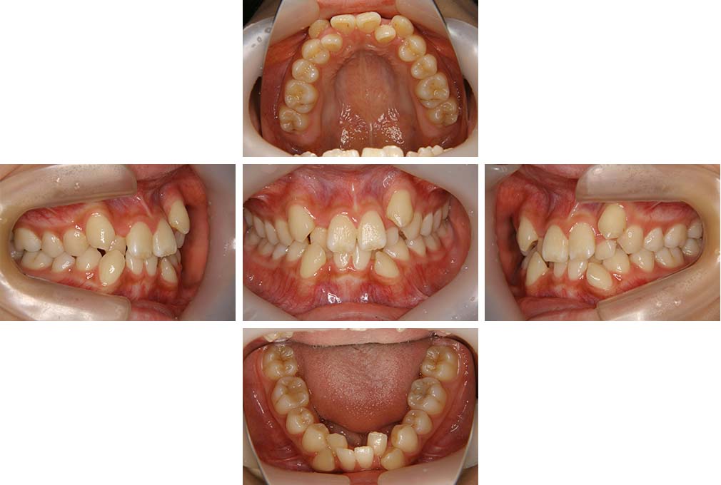
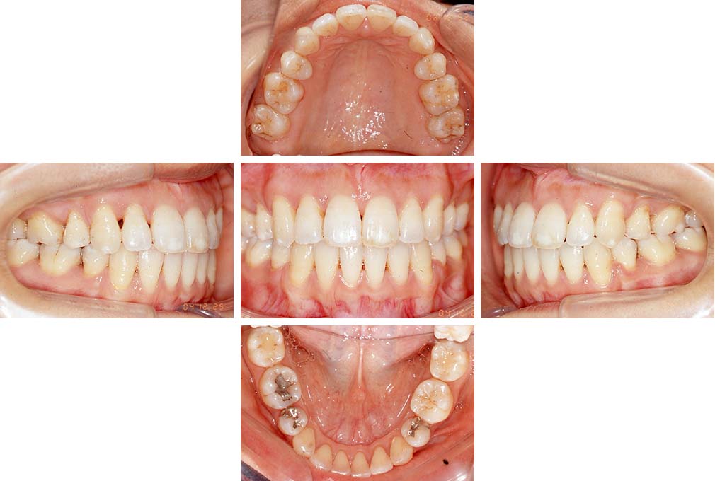
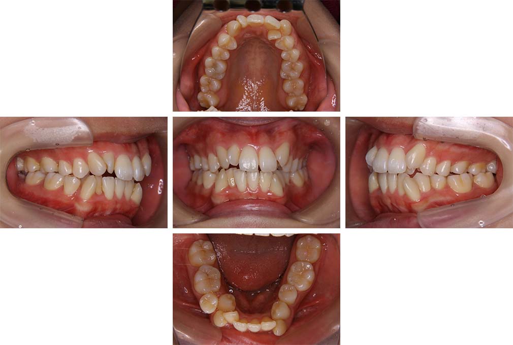
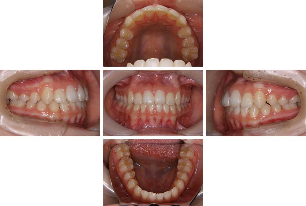
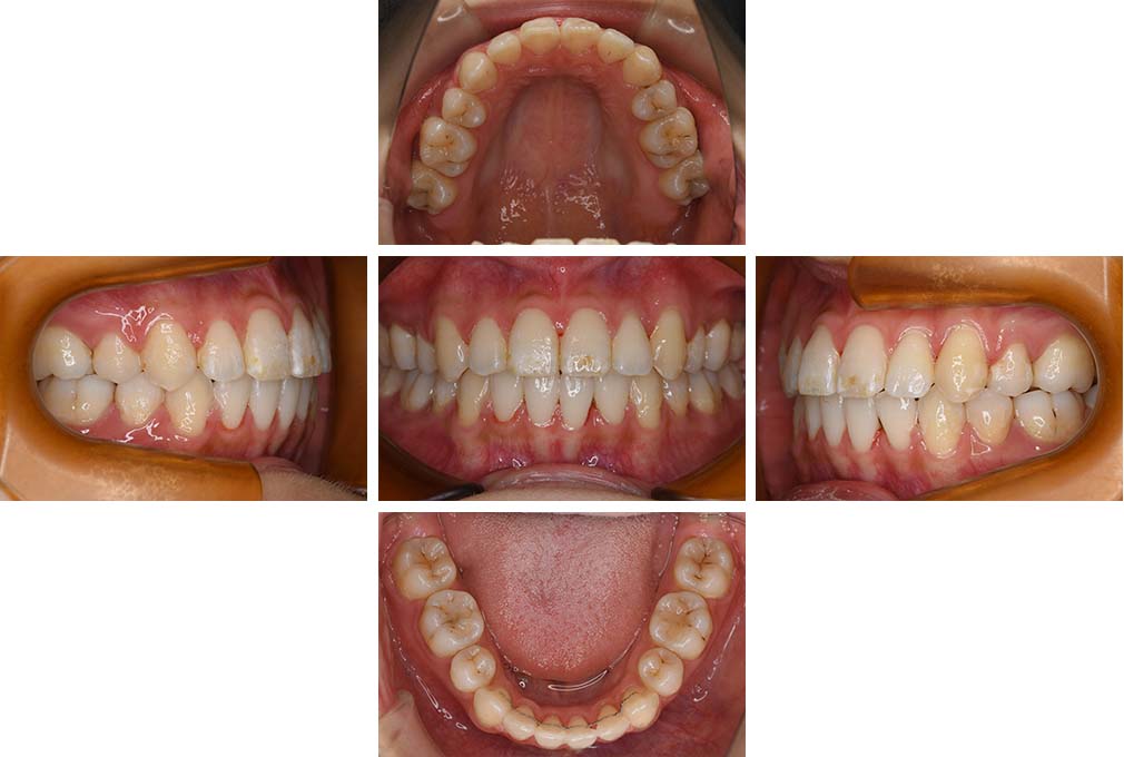
CASE:01

叢生を伴う骨格性上顎前突

初診時年齢 15歳10カ月
性別 男性
治療費の目安 約75万円程度(治療開始時)

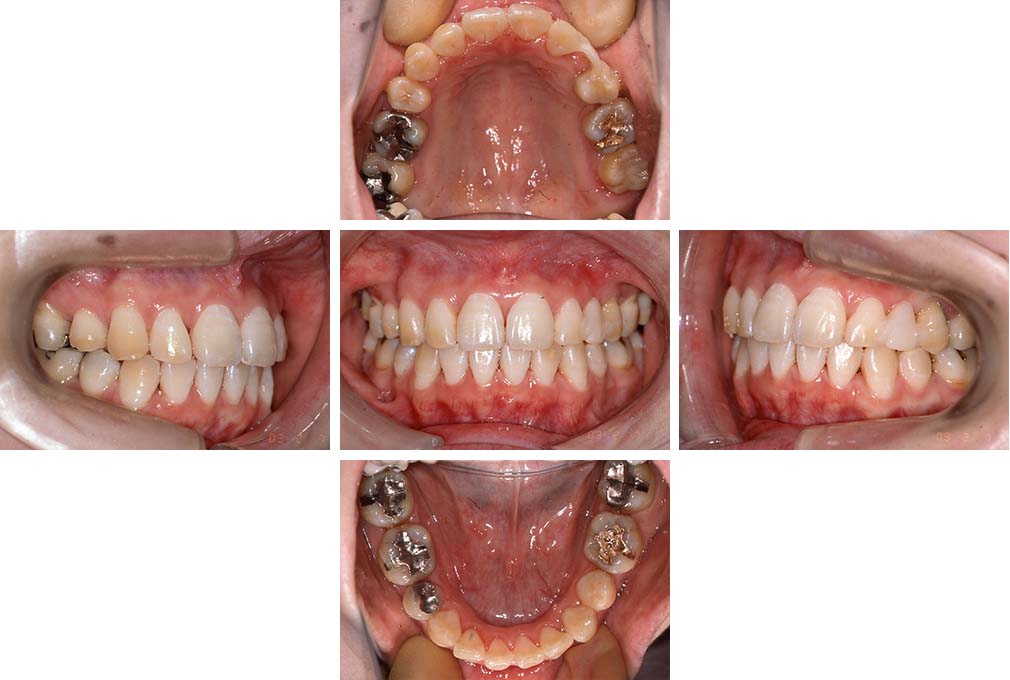
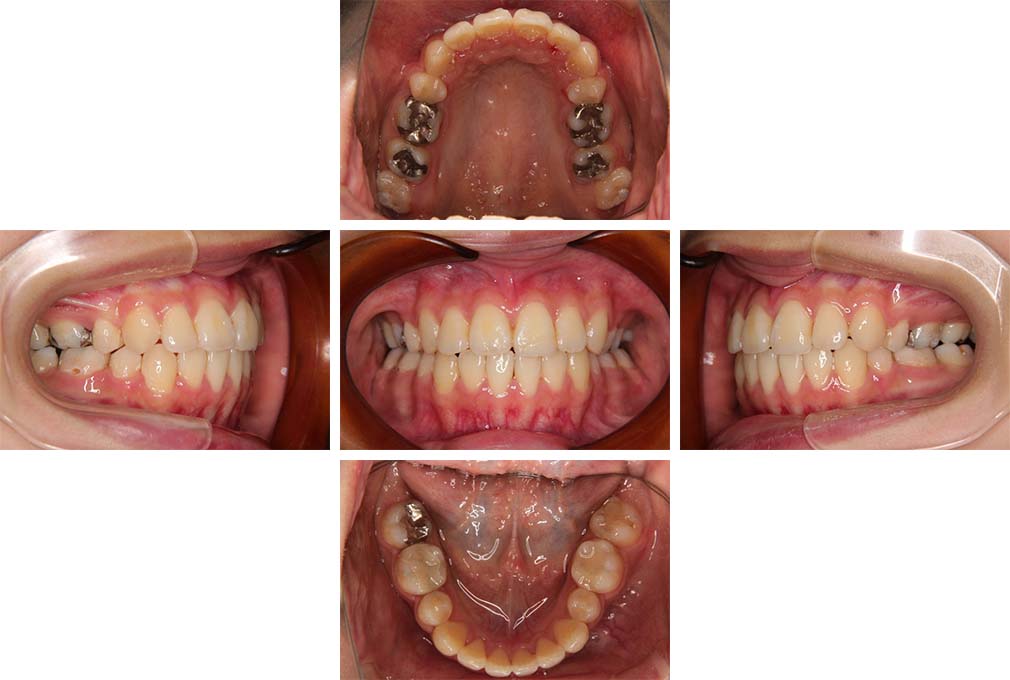
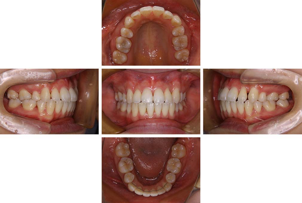
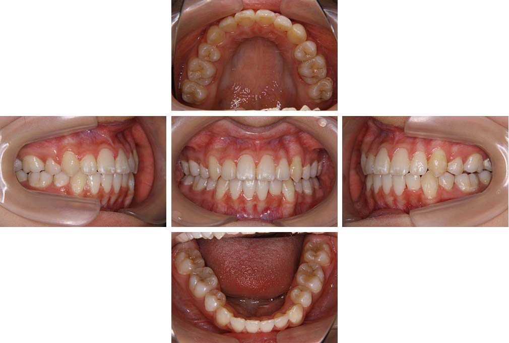
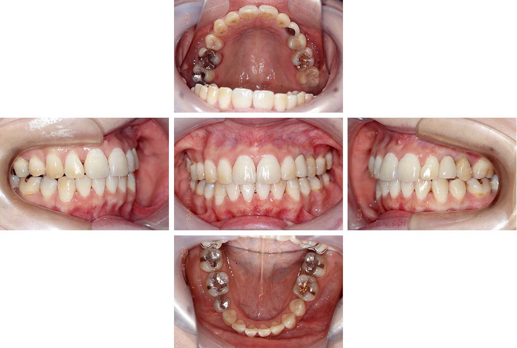
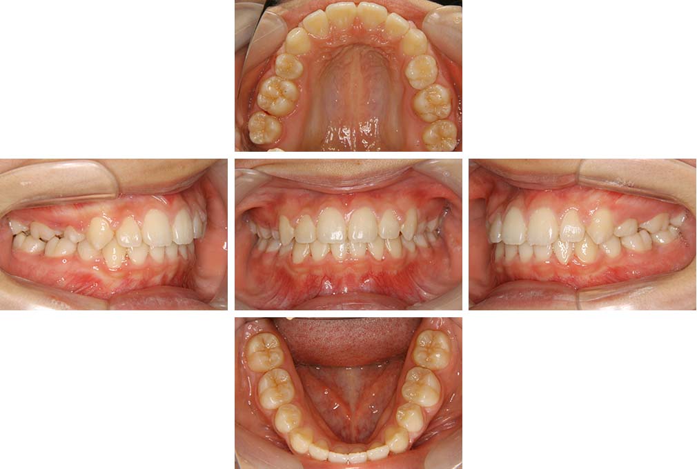
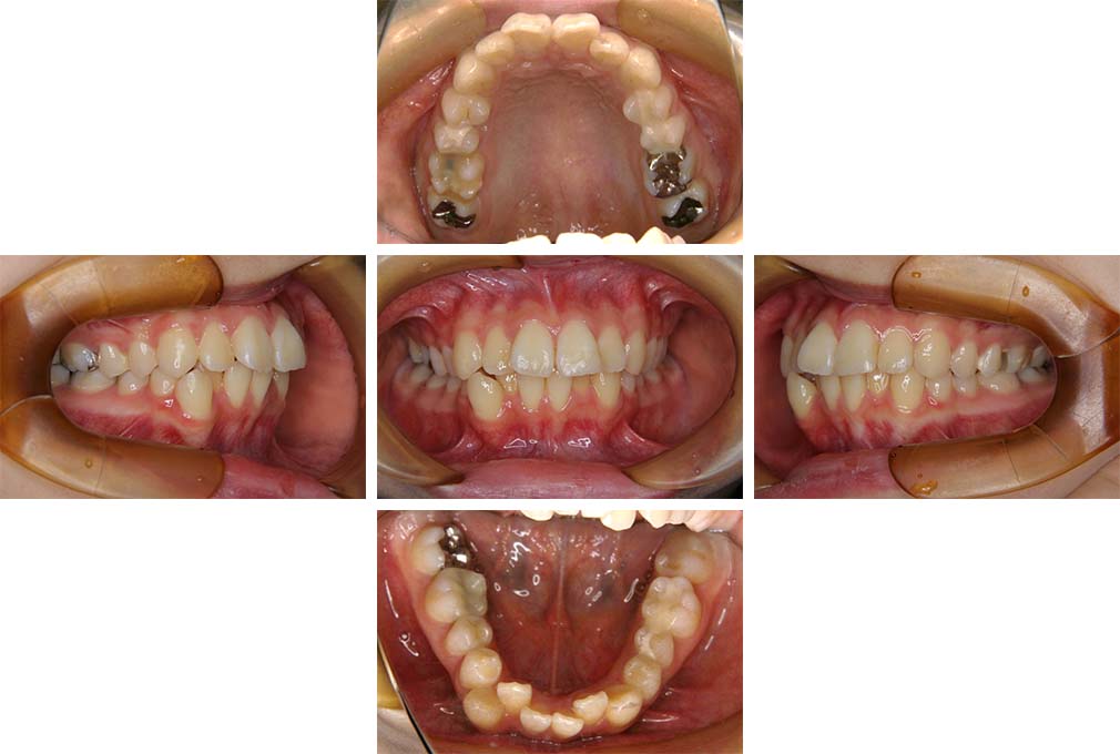
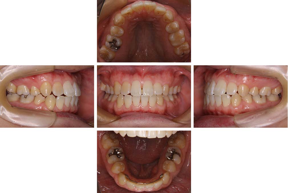
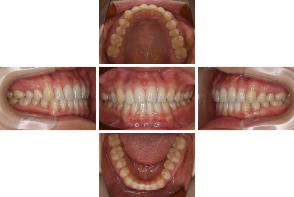
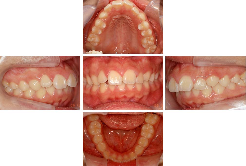
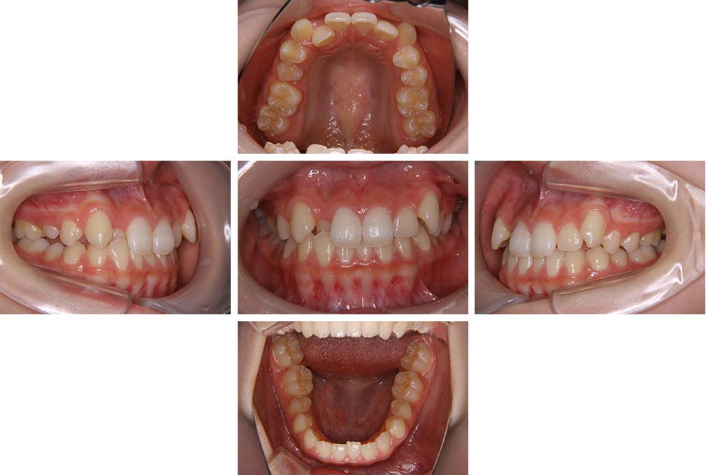
上顎前歯の前突と叢生を主訴として来院された。大臼歯関係は左右側ともにⅡ級で上顎の方が前方に位置していた。叢生を伴う骨格性上顎前突と診断し、上下顎小臼歯抜歯を行っていただきマルチブラケット装置に顎外固定装置を併用して動的治療を行った。顎外固定装置や矯正用ゴムの使用など協力状態も良好で、動的治療期間2年0カ月、調整来院20回でマルチブラケット装置を撤去し保定へ移行した。動的治療終了後10年0カ月を経過したが保定移行時とほぼ同様の咬合状態で良好な状態を保っていた。

治療前

15歳10か月

治療後

動的治療期間2年0カ月
18歳5か月

治療後
10年経過

動的治療終了後10年0カ月
28歳5か月

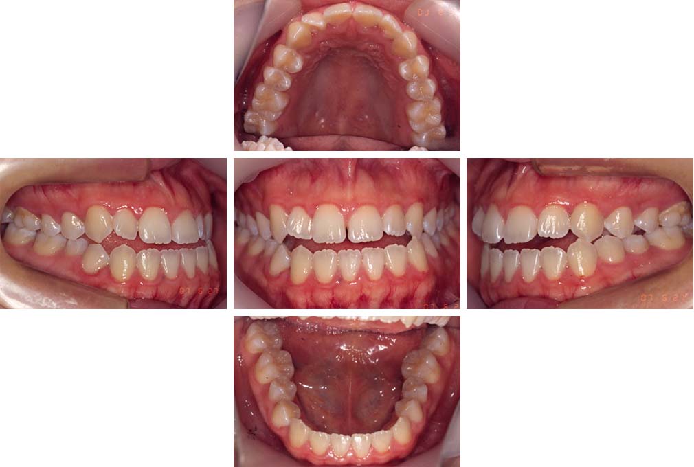
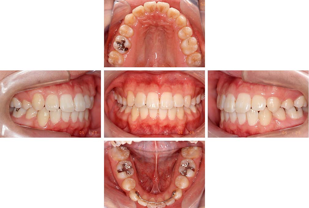
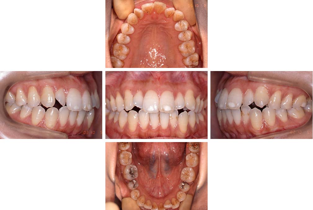
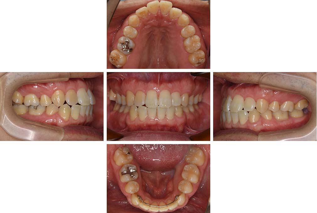
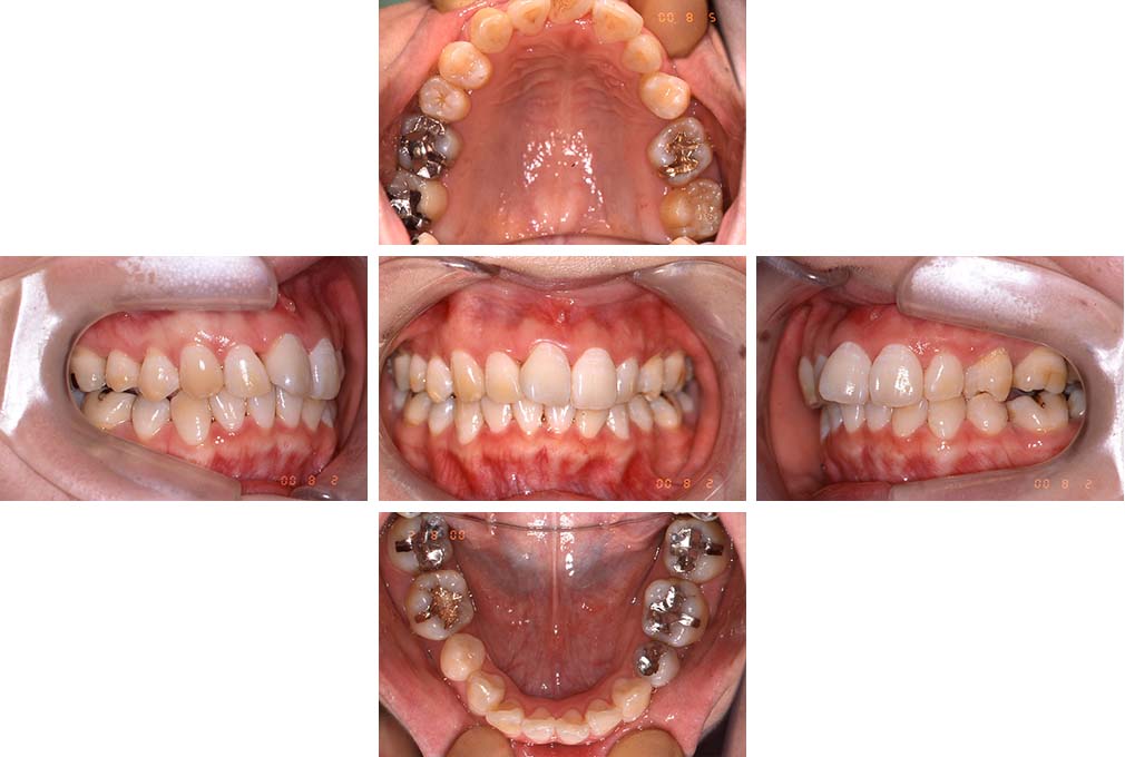
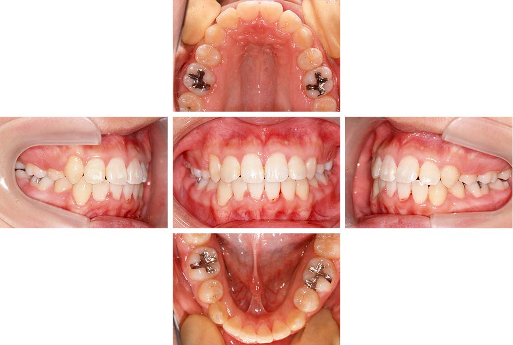
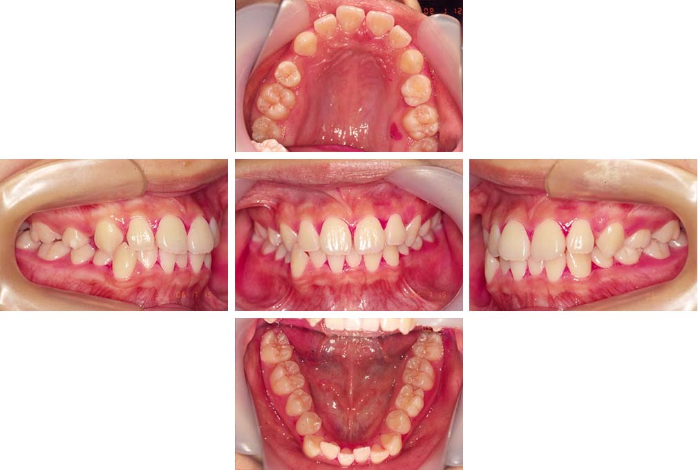
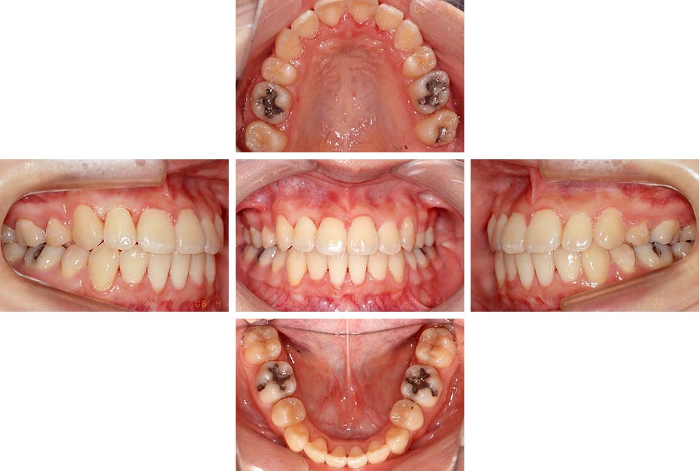
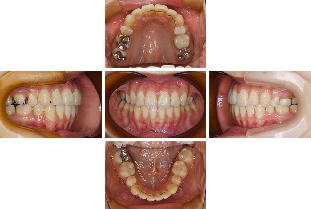
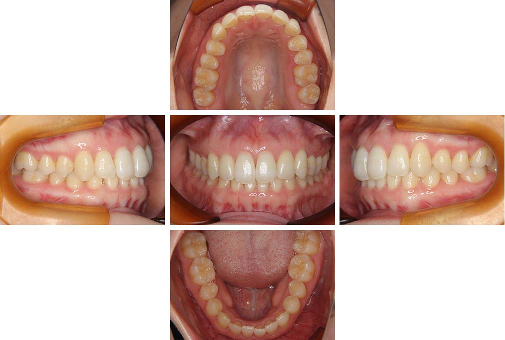
CASE:02

下顎前歯部叢生、小臼歯4歯先天欠損

初診時年齢 14歳3か月
性別 女性
治療費の目安 70万円(治療開始時)

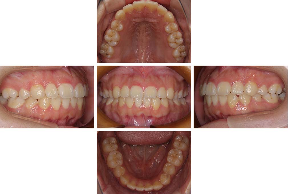
上顎左右側小臼歯3歯、下顎左側第二小臼歯の先天欠損と下顎前歯の叢生を主訴として近隣一般歯科から紹介来院した。
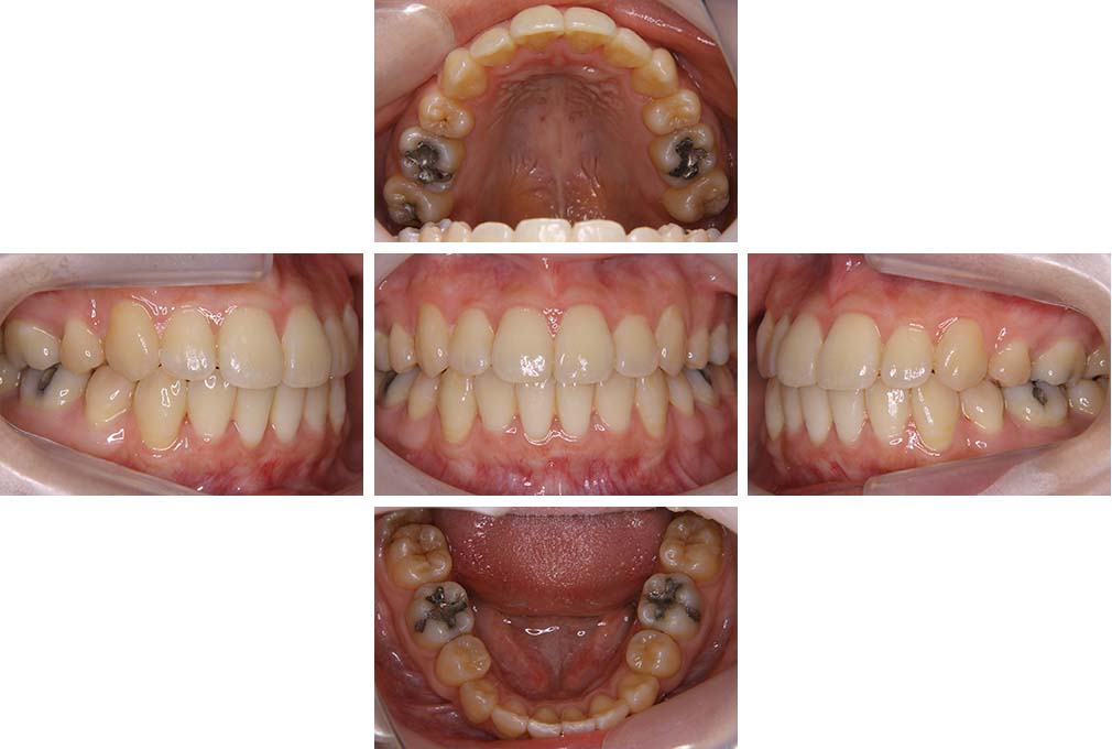
上顎左側第一、第二小臼歯、右側第一小臼歯、下顎左側第二小臼歯が先天欠損であったが、左上第二乳臼歯の根の吸収がほぼ無いことから、これを残すこととして、下顎左側乳臼歯と、右側第二小臼歯を抜歯していただきマルチブラケット装置を使用して動的治療を行った。矯正用ゴムなどの協力状態も良く2年0カ月(調整来院19回)で装置を撤去し保定へ移行した。動的治療終了13年2カ月での来院時には下顎左右側智歯が萌出していたが、垂直的に萌出していたため抜歯は行っていない。

治療前

14歳3か月

治療後

動的治療期間2年0カ月
16歳7か月

治療後
13年経過

動的治療終了後13年2カ月
30歳0か月

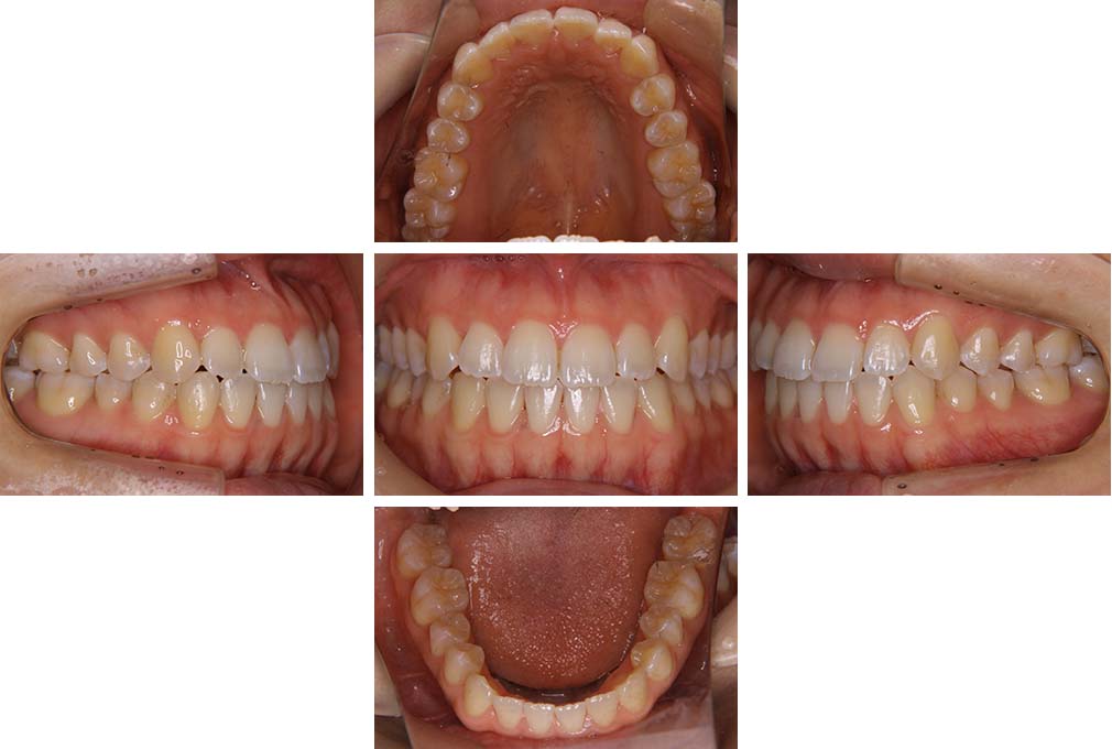
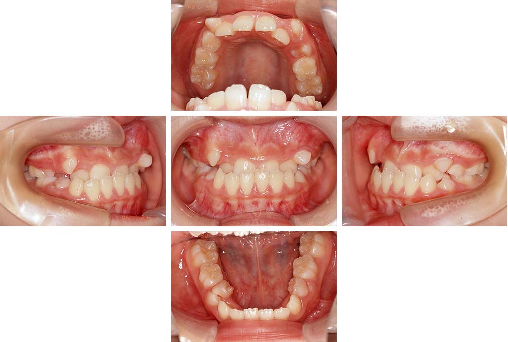
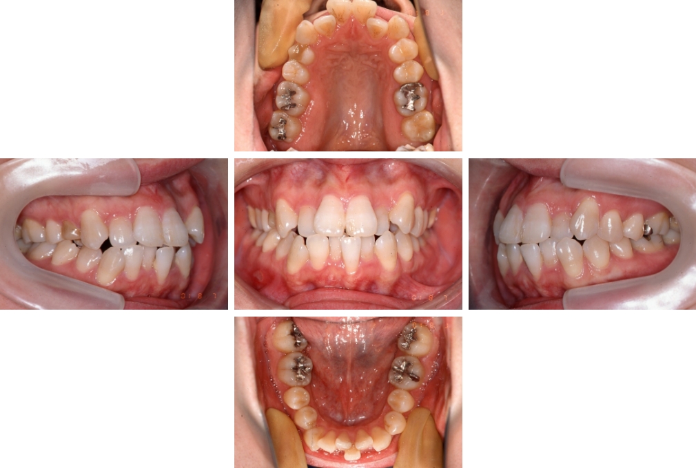
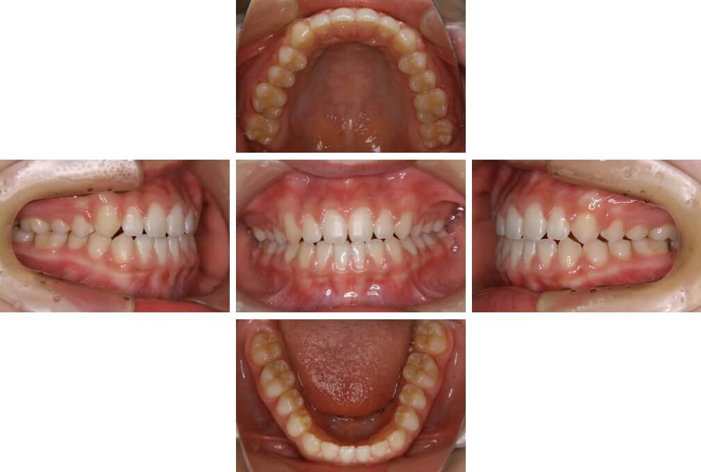
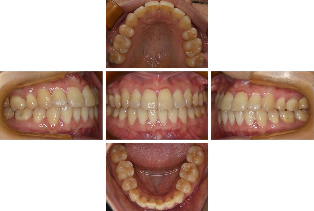
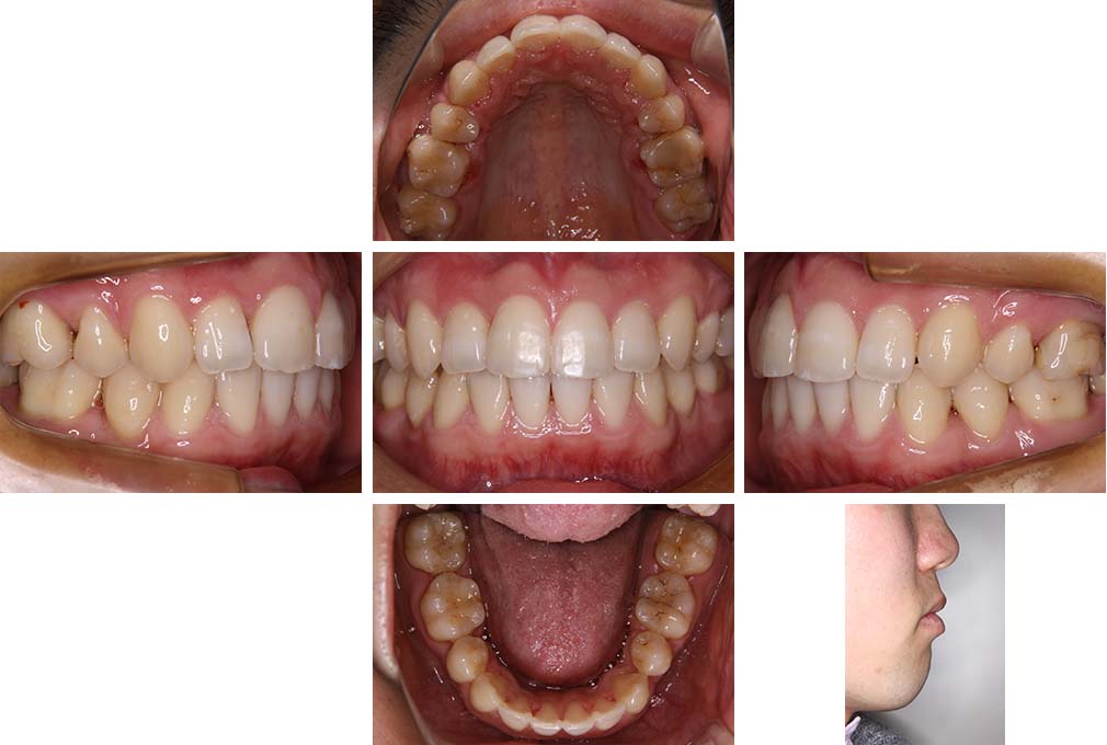
CASE:03

上下顎前突

初診時年齢 18歳4か月
性別 男性
治療費の目安 105万円程度(治療開始時)

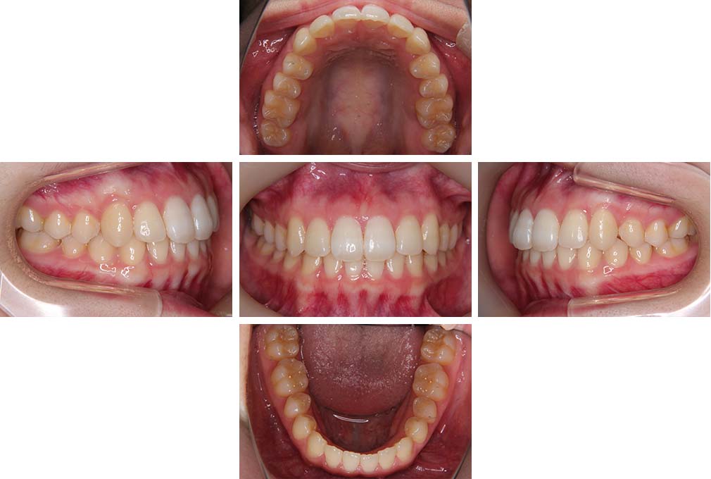
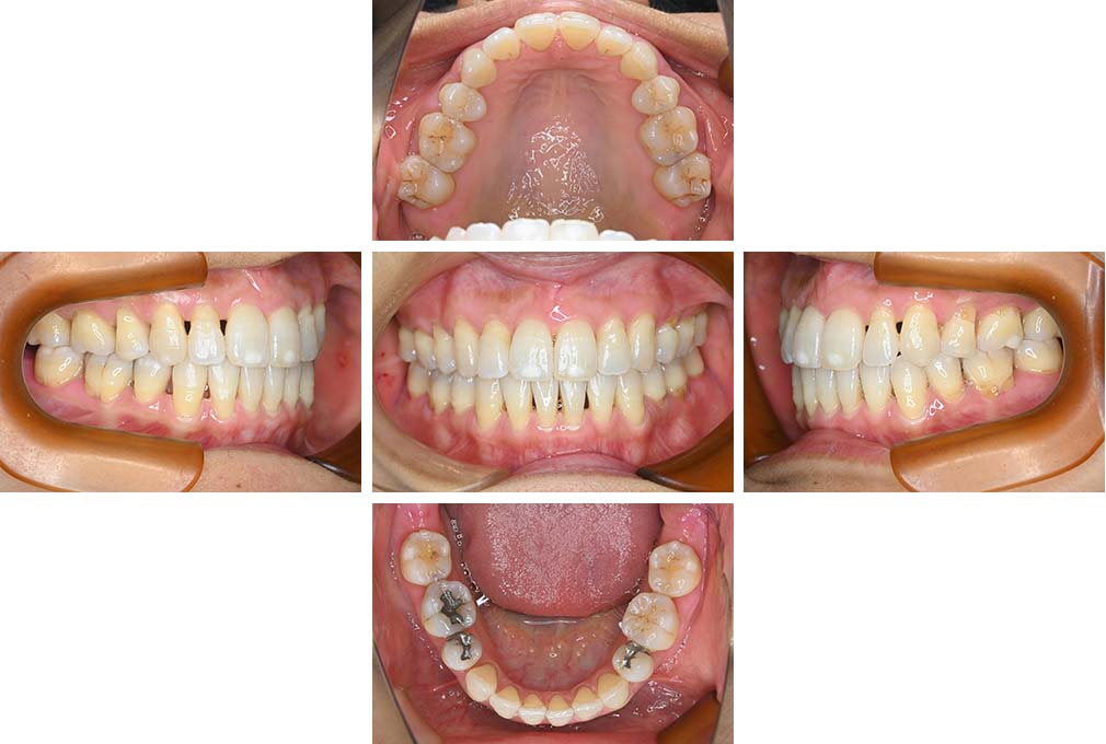
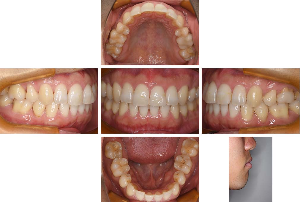
歯列の乱れは著しくなく上顎右側側切歯が捻転し口蓋側へ転位していた。また、問診の中で患者さんから最も重視する治療結果として口元の突出の改善の申出があった。下顎が後退した上顎前突傾向ではあったが著しいものではなかった。上下顎前突と診断し上下顎小臼歯抜歯を行っていただき、上下顎舌側マルチブラケット装置を使用して、矯正用アンカースクリューを併用して動的治療を行った。上下顎前歯の後退を十分行い口元の突出感も改善した。治療後10年1か月の来院時には口元の突出感が再発することもなく、下顎前歯の少しの唇舌的なずれはあったが歯列は安定していた。動的治療期間2年2ヵ月間。

治療前

18歳4ヵ月

治療後

動的治療期間2年2カ月間
20歳10か月

治療後
10年経過

動的治療終了後10年1カ月
30歳11か月

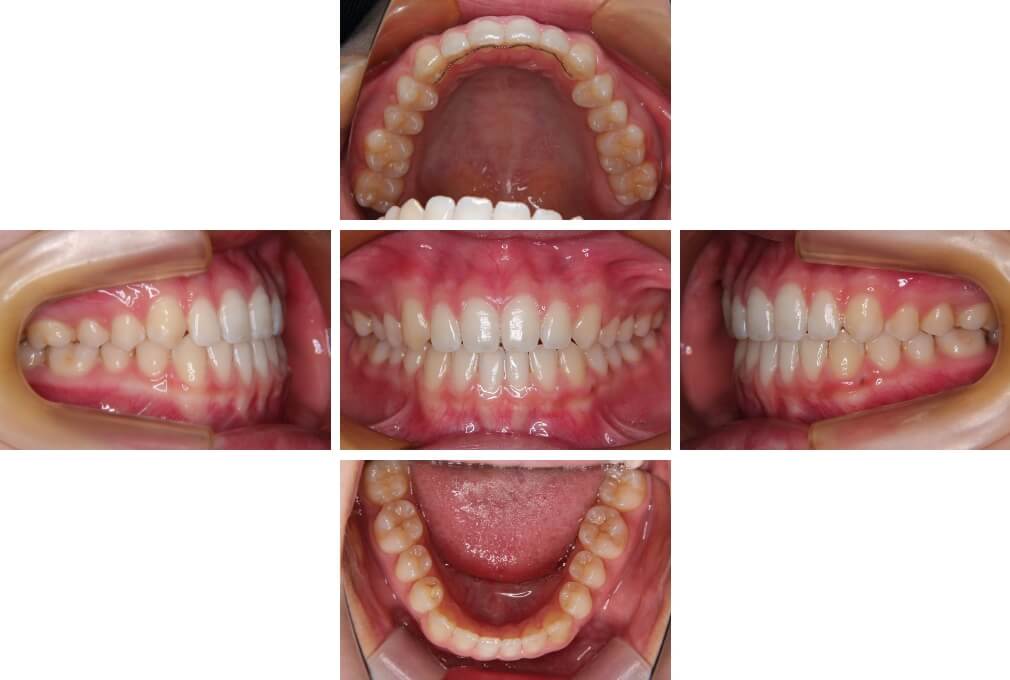
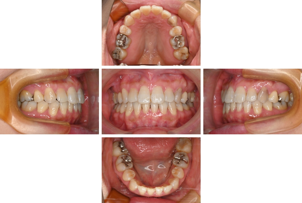
CASE:04

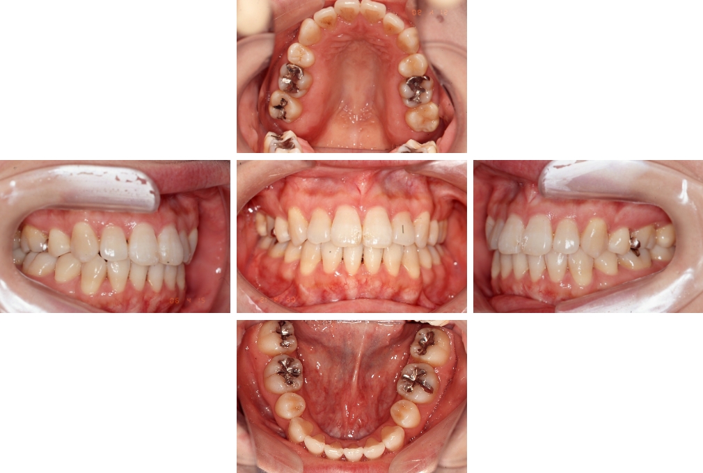
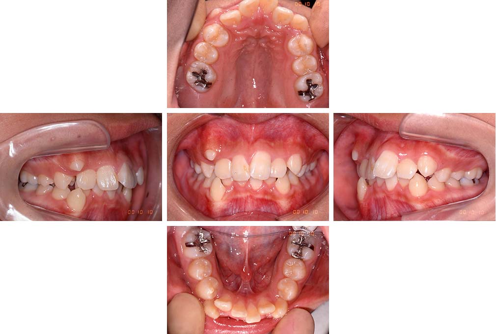
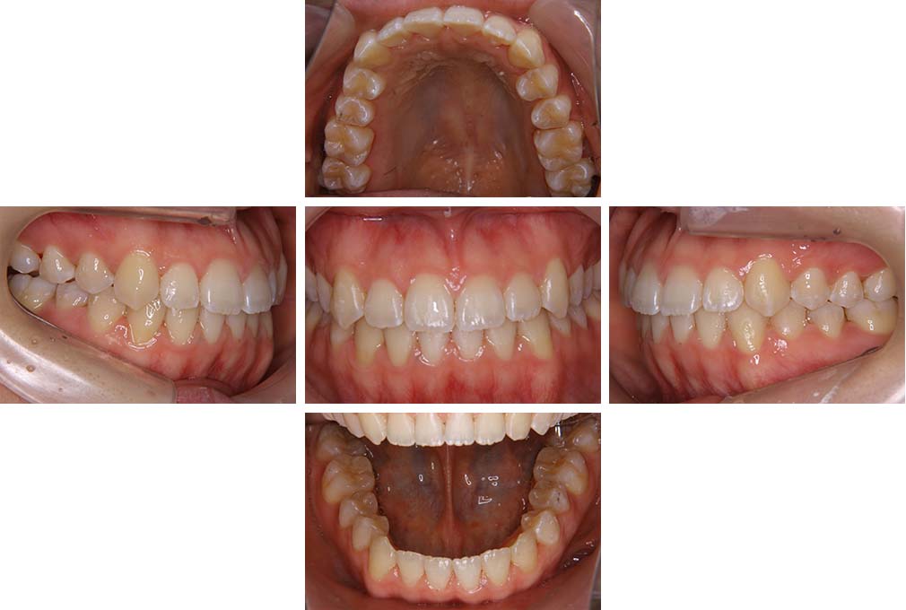
アングルⅢ級傾向を持つ叢生

初診時年齢 22歳
性別 女性
治療費の目安 105万円程度(治療開始時)

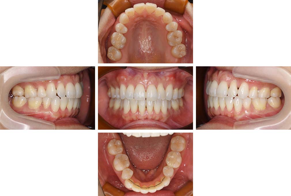
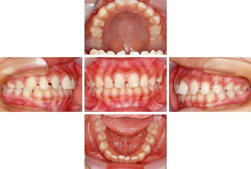
上顎右側犬歯が唇側に転位していることを主訴に県内歯科医院から紹介来院された。骨格的にはⅢ級傾向で上顎右側犬歯が唇側転位となり、側切歯が口蓋側に転位していた。下顎前歯が叢生になっていることも相まって上下の正中線は右側に大きくずれていた。アングルⅢ級傾向を持つ上下顎前歯部叢生と診断した。
上下顎小臼歯を抜歯していただき上顎舌側、下顎唇側マルチブラケット装置を使用して動的治療を行った。矯正用ゴムの使用など協力状態も良く、正中線の大きな移動があったのも関わらず2年10カ月で装置を撤去し保定へ移行した。保定移行後14年が経過し、ご息女の診察でご来院いただいていたことから、口腔内を拝見したが、下顎前歯のわずかなずれがあったものの大きな歯列の乱れはなく歯列は安定していた。動的治療期間2年10カ月間。

治療前

22歳6か月

治療後

動的治療期間2年10カ月間
25歳6か月

治療終了

動的治療終了後2年2カ月
28歳8か月

治療後
14年経過

動的治療終了後14年7カ月
40歳1か月

CASE:05

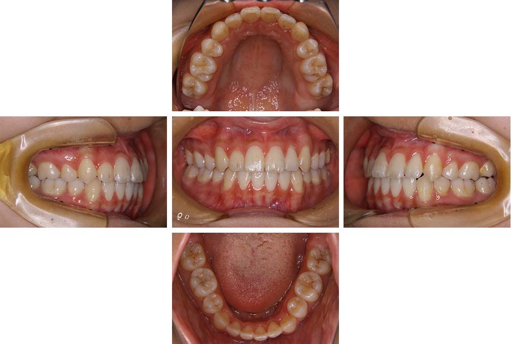
受け口、前歯部開咬

初診時年齢 21歳4か月
性別 女性
治療費の目安 75万円程度(治療開始時)

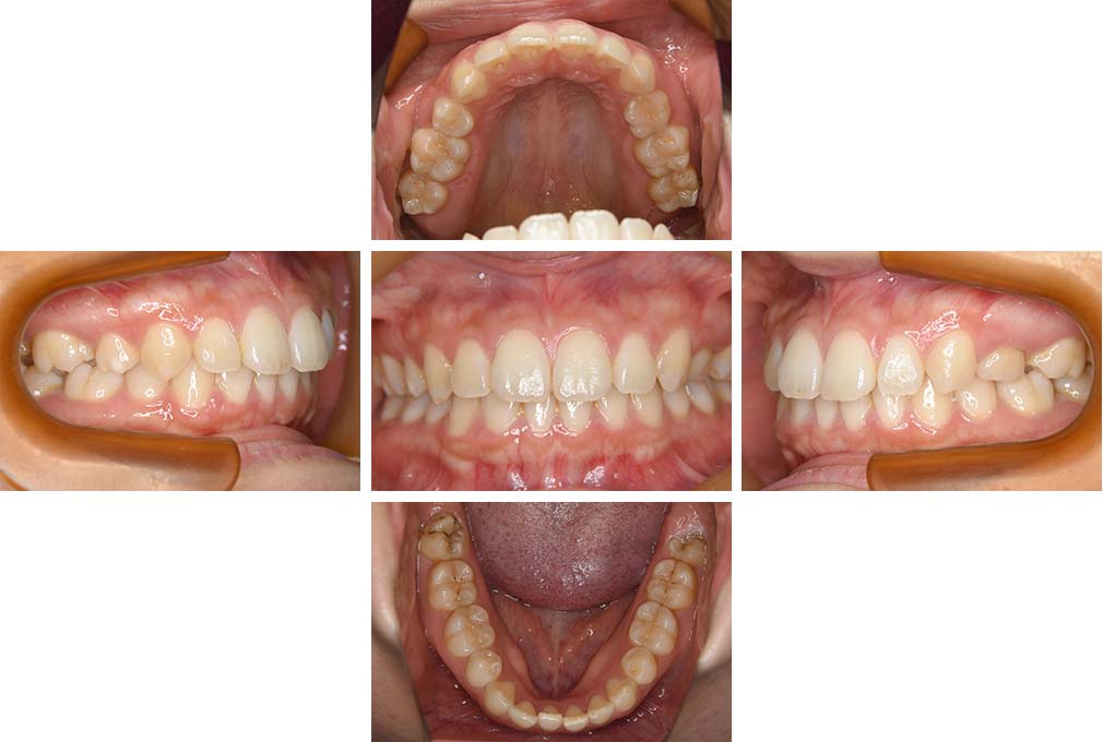
受け口と前歯がかみ合わないことを主訴に近隣歯科医院から紹介来院された。前歯部が開咬となり、前歯オーバージェットは-1.0㎜であった。また、上下の正中線は約4㎜ずれていた。開咬を伴う骨格性下顎前突と診断した。下顎智歯を抜歯していただき、筋機能療法を併用して上下顎マルチブラケット装置に顎間Ⅲ級、垂直ゴム等を使用して動的治療を行った。動的治療期間1年6か月間。治療後14年11か月時にご息女の診療に来院された際に口腔内を拝見したが前歯の垂直、水平被蓋は治療後2年4か月時とほぼ同様で、下顎前歯の唇舌的なずれがわずかに見られたものの咬合は安定していた。

治療前

21歳4か月

治療後

動的治療期間1年6か月間
22歳10か月

治療終了

動的治療終了後2年4カ月
25歳2か月

治療後
14年経過

動的治療終了後14年11カ月
37歳9か月

CASE:06

上顎前突

初診時年齢 9歳11か月
性別 女子
治療費の目安 70万円(治療開始時)

上顎前突を主訴に近隣歯科医院より紹介来院された。オーバージェットは9㎜で下顎右側側切歯が先天欠損となっているため、上下の正中線がずれていた。混合歯列後期であったことから経過観察を行い下顎左右側第二大臼歯萌出を確認したのち動的治療を開始した。顎外固定装置を併用し、上顎左右側第一小臼歯、下顎右側第二小臼歯を抜歯していただき上下顎マルチブラケット装置を使用して動的治療を行った。顎外固定装置や矯正用顎間ゴムの使用状況も良く、動的治療期間は1年6か月で装置を撤去して保定へ移行した。期間を通してブラッシングは課題であったが、装置撤去と共に歯肉の状態も改善した。保定終了後も来院を続け、治療後7年3か月、13年3か月時に大きな歯列の乱れはなく良好な咬合状態を維持していた。動的治療期間1年6か月間。

初診時

9歳11ヵ月

治療前

10歳9か月

治療後

動的治療期間1年6ヵ月
12歳6ヵ月

治療終了

動的治療終了後7年3カ月
19歳9か月

治療後
13年経過

動的治療終了後13年2カ月
25歳8か月

CASE:07

上下顎前歯部叢生、犬歯低位唇側転位

初診時年齢 11歳7か月
性別 男子
治療費の目安 70万円(治療開始時)

上下顎前歯部がデコボコに生えている叢生(そうせい)を主訴として来院された。上下顎骨に前後的なずれはほぼ無く上下顎第一小臼歯を抜歯していただき、上下顎マルチブラケット装置を使用して動的治療を行った。矯正用ゴム等の使用状況も良く動的治療期間2年0カ月で装置を撤去し保定へ移行した。その後、ほぼ1年に1回の定期健診には来院されている。治療終了10年を過ぎたころから治療前に唇側転位となっていた下顎右側犬歯部が外側へ少し移動し、切端咬合となっていた。上下顎智歯抜歯も行い、治療後21年4カ月となる35歳1か月時にも状態は変わらず、歯列は安定している。動的治療期間2年0カ月間。

治療前

11歳7か月

治療後

動的治療期間2年0カ月
13歳9か月

治療後

15歳11か月

治療後

24歳7か月

治療後
21年経過

35歳1か月

CASE:08

前歯部叢生、開咬を伴う上下顎前突

初診時年齢 31歳
性別 女性
治療費の目安 70万円(治療開始時)

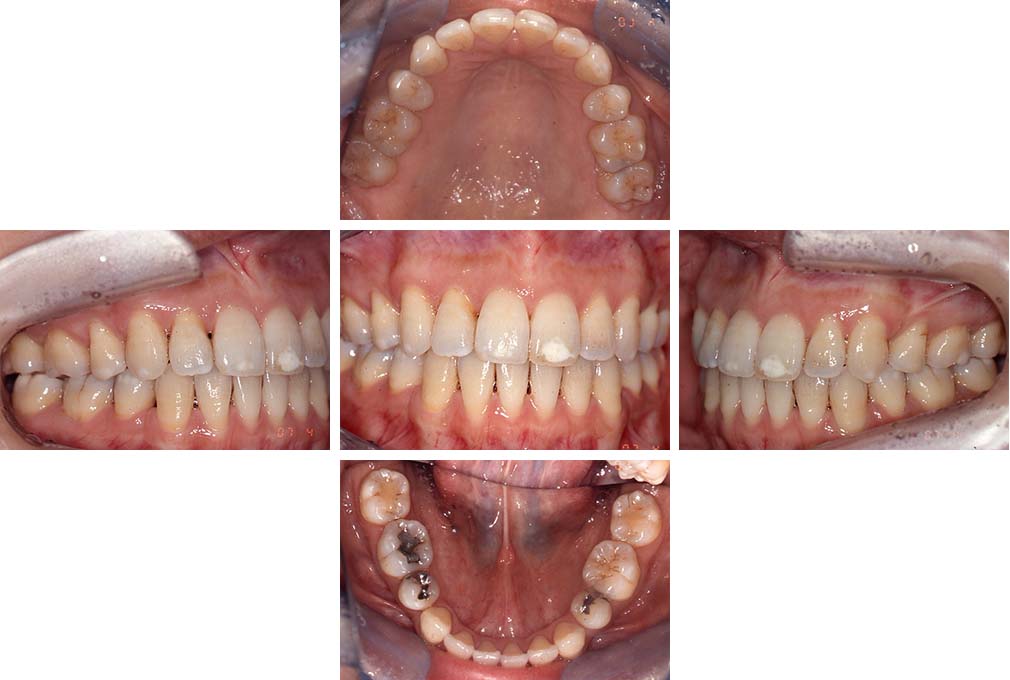
上顎前歯部の叢生を主訴としてご来院いただいた。上顎は側切歯が口蓋側転位となり捻転していた。また、左右共に犬歯部は咬合接触が無く開咬状態であった。口元の形態も考慮して、上顎左右側第一小臼歯、下顎左右側第二小臼歯を抜歯していただき、上下顎マルチブラケット装置を使用動的治療を行った。動的治療期間1年11か月間 捻転が強かった上顎左右側側切歯部はいわゆるブラックトライアングルとなっているが、その後保定装置を使用していただき1年に1回はご来院いただいて経過観察を行っている。

治療前

31歳7か月

治療後

動的治療期間1年11カ月
33歳4か月

治療後

35歳7か月

治療後
19年経過

52歳7か月

CASE:09

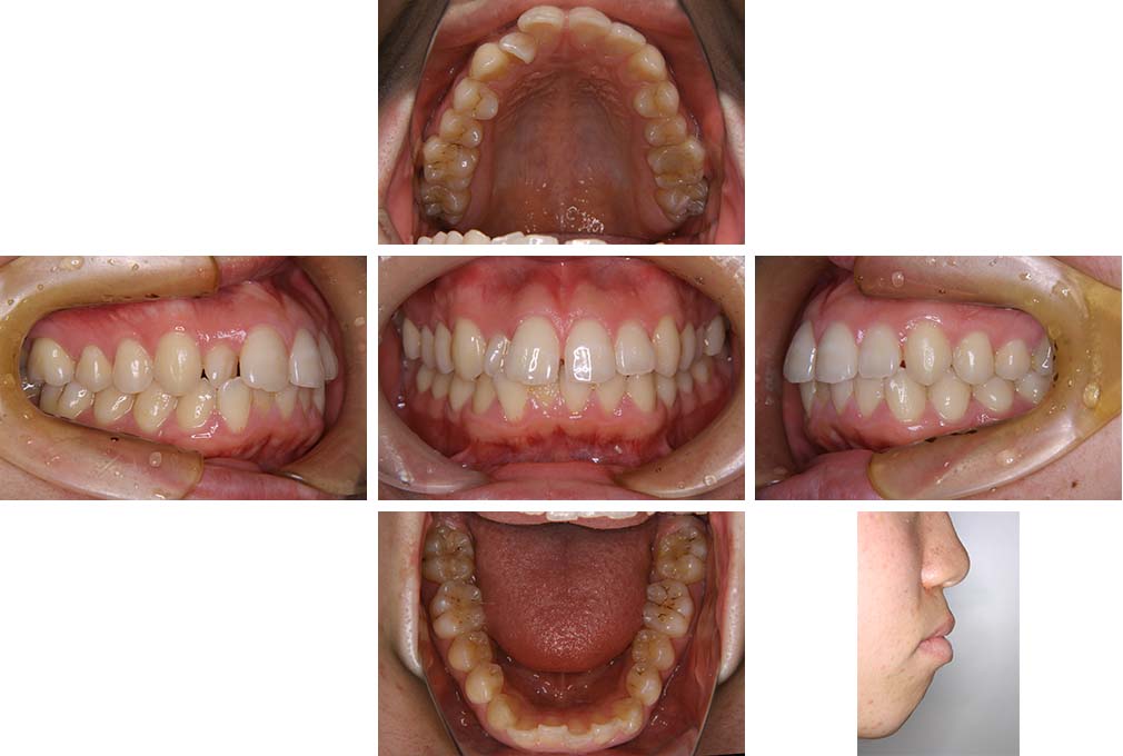
上下顎前歯部叢生

初診時年齢 17歳
性別 女性
治療費の目安 70万円(治療開始時)

上下顎前歯部叢生を主訴として一般歯科医院から紹介来院された。上下顎犬歯が唇側転位となり配列余地の不足は上下共に10㎜を超えていた。上下顎左右側第一小臼歯を抜歯していただき上下顎マルチブラケット装置を使用して動的治療を行った。
不正の状態がほぼ左右対称で、レベリングを行った段階で抜歯空隙がほぼなくなったことから、空隙閉鎖に時間を要しなかった。動的治療期間は1年1か月間であった。保定期間が終了してからも1年に1回程度の経過観察に来院されていたが、途中から下顎前歯部に軽度だが唇舌的なずれが生じ、患者さんがこれを気にするようになったことから動的治療終了後10年を超えたのを機に下顎前歯部にマルチブラケット装置を2カ月だけ装着し再配列を行った。

治療前

17歳3か月

治療後

動的治療期間1年1カ月間
19歳8か月

治療後

21歳11か月

治療後
10年経過

30歳5か月

CASE:10

上顎左側犬歯欠損に加え先天欠損がある上顎正中左方偏位

初診時年齢 24歳
性別 女性
治療費の目安 110万円(治療開始時)

上顎前歯の左への偏位を主訴として来院された。上顎左側第二小臼歯は先天欠損で唇側に転位していた上顎左側犬歯は抜歯されていた。上顎の正中線は約5㎜左へ偏位していた。また、上顎の正中線は顔面正中からも同程度偏位していた。下顎左右側第二小臼歯も先天欠損であった。患者さんの強い希望で上下顎舌側マルチブラケット装置を使用して、上顎の正中線を右へ移動することを目標に、上顎右側第一小臼歯を抜歯して前歯部を右側へ移動し、上顎左側犬歯部に空隙を集めて補綴処置を行うこととなった。上下額の正中線が合致し、顔面正中と上顎の正中線のずれもほぼなくなり、動的治療期間2年4か月で動的治療が終了し保定へ移行した。保定移行後、空隙を集めておいた上顎左側犬歯部にインプラントによる綴処置を行っていただいた。
動的治療後20年以上経過しているが、歯列やインプラントで補綴処置を行った上顎左側犬歯部に問題はなく、歯列も維持されていた。

治療前

24歳3か月

治療後

動的治療期間2年3か月間
26歳9か月

治療後

28歳11か月

治療後
20年経過

47歳4か月

CASE:11

骨格性下顎前突症、犬歯低位唇側転位

初診時年齢 9歳
性別 女子
治療費の目安 85万円(治療開始時)

前歯部反対咬合を主訴にご来院いただいた。前歯が反対咬合となりかみ合わせが深く下あごの前歯が上あごの前歯を大きく覆っていた。また、上顎左右側犬歯が低位唇側転位となって萌出していた。セファログラムの分析の結果、骨格性反対咬合と診断し、咬合挙上装置を併用しながら上顎前方牽引を行った。口蓋側転位となっていた右側側切歯の被蓋は改善できなかったが、それ以外の前歯被蓋は11カ月で改善することができた。その後、上下顎第二大臼歯の萌出を待ち、パノラマレントゲン写真を撮影して、上顎左右側智歯が正常な形成が得られていることを確認したのち、12歳4カ月から上顎左右側第二大臼歯を抜歯していただいて上下顎マルチブラケット装置を使用してⅡ期治療を行った。Ⅱ期治療期間1年3ヵ月で保定に移行した。保定装置を使用しながら2年4カ月経過後は1年に1度程度の経過観察を続けた。4年経過時に上顎左右智歯が萌出していた。26歳の来院時にも咬合状態は安定していた。

初診時

9歳1か月

治療前

12歳0か月

治療後

動的治療期間1年3ヵ月間
13歳7か月

治療後

18歳3ヵ月

治療後
13年経過

26歳10か月

CASE:12

ハイアングル、前歯部開咬と著しい叢生を伴うアングルⅡ不正咬合

初診時年齢 24.5歳
性別 女性
治療費の目安 95万円(治療開始時)

上下顎前歯部の著しい叢生を主訴にご来院いただいた。上下の前歯は叢生となり、また開咬となっていた。左側は大臼歯関係がⅡ級で上顎の方が前方へ咬合していた。セファログラム他分析を行うい、ハイアングル、前歯部開咬と著しい叢生を伴うアングルⅡ不正咬合と診断し上下顎唇側マルチブラケット装置にクアドヘリックス拡大装置と矯正用アンカープレートを併用して動的治療を行った。また、筋機能療法も併用した。動的治療期間2年5カ月間で保定に移行した。その後、1年に1回程度の観察を経て、動的治療終了から11年後にご令嬢の矯正治療のご相談に来院いただいた際に口腔内を拝見したが、乱れもなくボンディングリテーナー周囲の清掃も良好な状態であった。ボンディングリテーナーは何度か撤去することを提案していたが、後戻りの不安から維持されていた。

初診時

24歳5か月

治療後

動的治療終了時
27歳1か月

治療後

動的治療終了後5年3カ月
32歳4か月

治療後

動的治療終了後11年6カ月
38歳7か月

CASE:13

上下顎前歯の叢生

初診時年齢 19歳
性別 女性
治療費の目安 115万円(治療開始時)

上下顎前歯の叢生を主訴としてご来院いただいた。上顎前歯が前突し、下顎前歯は叢生となり下顎右側犬歯が唇側転位となっていた。セファログラム等分析を行い下顎前歯部叢生を伴う歯槽性上顎前突と診断した。患者さんの希望により上顎舌側、下顎唇側マルチブラケット装置を使用し、上下顎小臼歯を抜歯し頂き動的治療を行った。上顎前歯をできるだけ後退させる目的で口蓋に矯正用アンカースクリューを併用した。上顎前歯の後退と下顎前歯部叢生が改善し良好な状態とすることができた。動的治療終了から8年が経過したが歯列の乱れもなく良好な状態であった。

初診時

19歳4か月

治療後

動的治療終了時
22歳2か月

治療後

動的治療終了後2年5ヵ月間
24歳7か月

治療後

動的治療終了後8年1ヵ月間
30歳3か月

CASE:14

空隙歯列(すきっ歯)

初診時年齢 11歳
性別 女性
治療費の目安 75万円(治療開始時)

上下顎前歯部の空隙を主訴としてご来院いただいた。特に、上顎左右側中切歯は捻転し各歯間に最大1.2㎜の空隙があった。大臼歯関係は軽度だがⅢ級傾向であった。セファログラムの分析他をもとに骨格は上下顎の前後のずれの少ないⅠ級と診断した。上下顎マルチブラケット装置を使用し空隙閉鎖を行った。上顎前歯に極力、根を口蓋側へ移動するようなトルクをかけるようにした。また、元来、下顎前歯が上顎口蓋近くにかみ合う過蓋咬合の傾向があったため、切端咬合近くまでオーバーコレクションを行っている。動的治療期間1年8カ月間。保定開始後2年9カ月経過した際は、前歯被蓋が理想的な状態となっていた。動的治療が終了してから14年7カ月が経過しているが、良好な状態を保っておられる。

初診時

11歳9か月

治療後

動的治療終了時
14歳7か月

治療後

動的治療終了後2年9ヵ月間
17歳4か月

治療後

動的治療終了後14年6ヵ月間
29歳2か月

CASE:15

上下顎前歯部の叢生

初診時年齢 27歳
性別 女性
治療費の目安 70万円(治療開始時)

上下顎前歯部の叢生を主訴としてご来院いただいた。上下顎共に8㎜程度の配列余地が不足していた。側方セファログラム写真の分析などからアングル1級叢生と診断した。加強固定としてホールディングアーチを併用して上下顎マルチブラケット装置を使用して動的治療を行った。配列余地の不足を解消するため上下顎小臼歯抜歯と行っていただいた。動的治療期間2年2カ月間。動的治療終了後22年0カ月経過しているが歯列の乱れはほぼ無く良好な状態を保っていただいている。

初診時

27歳4か月

治療後

動的治療終了時
29歳9か月

治療後

動的治療終了後2年3カ月
32歳0カ月

治療後

動的治療終了後22年2カ月
51歳11か月