大津市在住 女性 I.Mさん 34歳

口が閉じやすくなり、最高です!

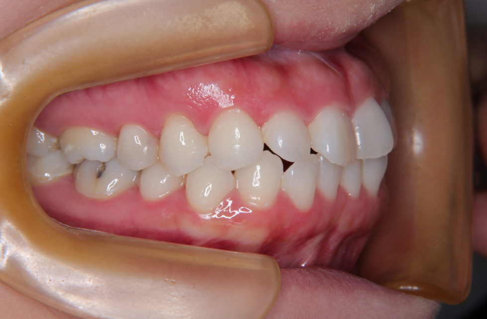
初診時32歳女性。口元の突出を伴う上下顎前突のケース。
上下顎前歯が前方に突出していたため、口元の突出と口唇閉鎖不全を招いていました。上下顎左右側第一小臼歯(4番目)を抜歯して頂き、上顎は舌側(裏側)マルチブラケット装置を使用し、上下顎前歯の後退を行いました。前歯の後退を行なったことにより口元の突出も改善し、口唇閉鎖も無理なく行えるようになりました。   動的治療期間は2年2ヶ月間

治療を受けようとおもった理由は(本人)

私が矯正治療を始めようと思ったきっかけは、職場の40代後半の先輩が矯正を始めたからです。当時私は31歳。それまでなんとなく自分の口元のでっぱりが気になってはいたのですが、結婚・出産も終わり、今さら自分にお金をかけるのも・・・という思いと、矯正というとものすごく大変で大掛かりなイメージがあり、なかなか一歩が踏み出せないでいました。しかしその先輩によって、一気に矯正というものが身近になり、このまま残りの人生もんもんと悩むくらいなら早い方がいいということで始めることになりました。接客業をしているので、上のみ裏側矯正にしました。  

治療を受けての感想

抜歯をしたり、インプラントをつけたり、喋りにくかったり・・・約2年ちょっと、大変といえば大変だったのですが、歯がどんどん動いていくのが嬉しかったですし、35歳になれば矯正が終わっているはずだという目標があったので、歳をとるのが楽しみになりました。 現在リテーナー装着中ですが、口元の印象が始める前と随分変わり、寝るときも口が閉じやすくなり、最高です!こんなことならもっと早くに始めれば良かったと思いました。長い人生で矯正期間なんてあっという間です。もちろん大変なこともあるので、しっかり考えて覚悟は決めた方がいいとは思いますが、悩み続けて人生終わるなら、早くに始めることをオススメします。

治療費用

120万円程度(税込)

矯正治療には以下のようなリスクがあります。

  • ・歯の移動を行う際の痛みが生ずる場合がある。
  • ・ブラッシングが十分行わなかった場合に虫歯ができることがある。
  • ・歯の移動を行うと極めて希に根の吸収が起こることがある。
  • ・矯正用ゴムを指示通り使用しないと計画している歯の動きが得られないことがある。
  • ・装置が粘膜を刺激することで口内炎が起こることがある。
  • ・歯の裏側の装置の場合、装着後数日は発音障害が出ることがある。