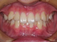
16歳の男子。上下前歯の歯ならびの不ぞろいを主訴として来院された。
下顎前突傾向の骨格で顎形態は奥行も十分あったことから叢生と診断し、上下顎智歯(親知らず)のみを抜歯していただき上下顎マルチブラケット装置を使用して動的治療を行った。吹奏楽部に所属され、トロンボーンを吹いておられたため、唇側装置の装着を心配されていたが、練習を良くすれば装置の装着は演奏には影響がないとのことであった。
動的治療期間1年1か月
私は吹奏楽部でトロンボーンを吹いています。
2014年3月頃から矯正装置を付けて約1年になります。
矯正はしたいけれども吹奏楽部だからできないと思っていましたが、当院にて相談をさせてもらった結果、装置を付けてでも楽器を吹いていいよ、ということで矯正装置を付けることとなりました。
初め数ヶ月は装置が口の裏側に当たって吹きにくく、前のアンブシュアと形が変わってしまい慣れるまでには苦労しました。
しかし、金管楽器はマウスピースにあまり口を押し当てない奏法の方が良いので、ある意味矯正装置に押しあてないようにするための練習になったと思っています。
これから、もし吹奏楽部の方で矯正装置を付ける方がおられましたら、一番心がけてほしい事があります。
楽器を吹く際に、矯正装置のせいにしてはいけません。自分の実力不足だと思ってください。
そうでないと、自分の技量がのびません。
矯正装置を外した今、前のアンブシュアに段々と戻っている実感があります。
これから矯正を始められる方、少し頑張ればきれいな歯並びが手に入れられますよ!頑張ってください!














