A.Mさん 14歳

指吸が原因で・・・

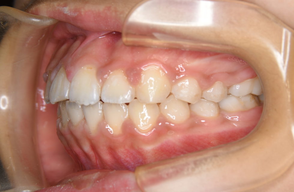
初診時年齢12歳女性。歯槽性上顎前突。
幼児期の吸指癖(指吸い)が原因で上あごの前歯が前突しており、嚥下(飲み込み)時に上下の前歯間に舌が介在し開咬となっていた。筋機能療法(舌のエクササイズ)と顎外固定装置を併用して、上下顎唇側(表側)マルチブラケット装置を使用して治療を行った。顎外固定装置の使用、矯正用ゴムの使用、筋機能療法いずれも真面目に取り組んでいただいたおかげで前突していた前歯を噛み合わせることができた。   動的治療期間は1年2ヶ月間  

治療を受けようとおもった理由は(保護者様)

小さい頃から指吸が原因で前歯が出てしまいました。何度もやめさせようとしたのですが、寝ている間などは止めようもなく、母親として責任を感じていました。 こちらを知り、先生の明るいお人柄、精密な検査と詳しい説明、スタッフの方々の高い専門性、的確な指導に安心しました。 雰囲気が全体的に優しく、明るく、前向きで、私自身も以前別の所で矯正の治療を受けていましたが、こんな良い所で受けたかったといつも娘が羨ましかったです。 抜歯もせず、舌の練習もさぼりながら、ゴムもかけるのもよく忘れていた不良娘ですが、砂子さんには根気よくご指導いただき感謝しております。  

治療中大変だったことは(ご本人様)

治療をしている時は痛かったり、苦しかったりもしましたが、綺麗な歯並びになったので我慢して良かったと思っています。 これからも頑張ってリテーナーを装着し、この歯並びを保っていきたいです。  

治療を受けて良かったことは(ご本人様)

私が今回治療を受けて良かったところは、笑顔がためらいなく出せるようになったところです。 前まではずっと、「変じゃないかなぁ?」と思いながら笑っていたので、皆で撮る集合写真などは、自然と後ろの方に行ってしまっていました。 ですが、今は笑顔を出すことに何のためらいも持っていません。むしろ、笑顔が好きになりました(自分の)。

治療費用

85万円程度(税込)

矯正治療には以下のようなリスクがあります。

  • ・歯の移動を行う際の痛みが生ずる場合がある。
  • ・ブラッシングが十分行わなかった場合に虫歯ができることがある。
  • ・歯の移動を行うと極めて希に根の吸収が起こることがある。
  • ・矯正用ゴムを指示通り使用しないと計画している歯の動きが得られないことがある。
  • ・装置が粘膜を刺激することで口内炎が起こることがある。
  • ・歯の裏側の装置の場合、装着後数日は発音障害が出ることがある。