初診時年齢14歳の女子 上顎右側第二小臼歯の埋伏を主訴に遠方の歯科医院より紹介来院した。
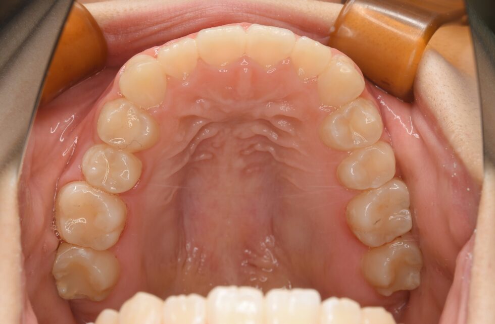
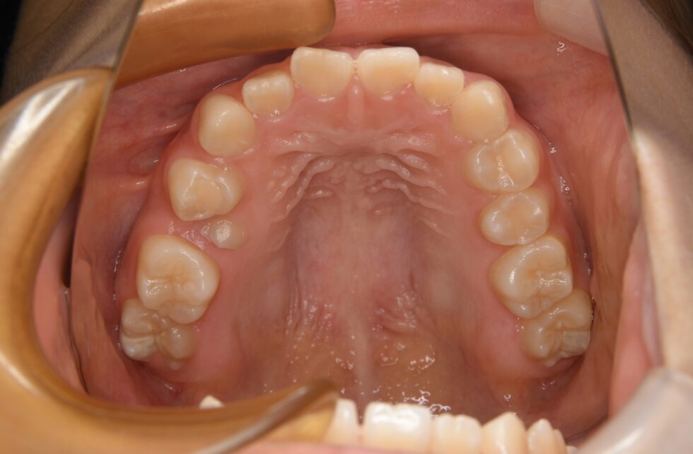
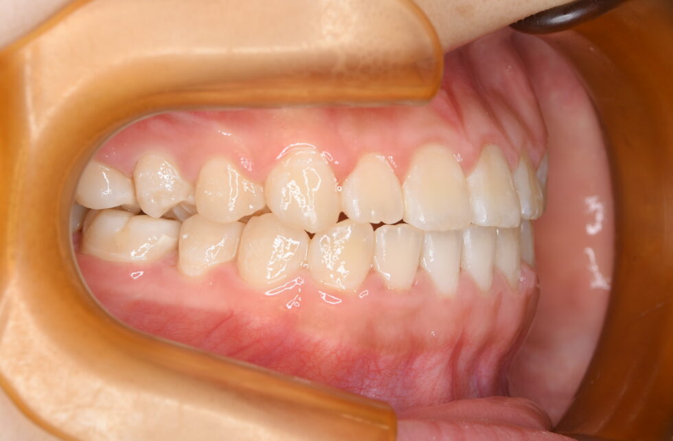
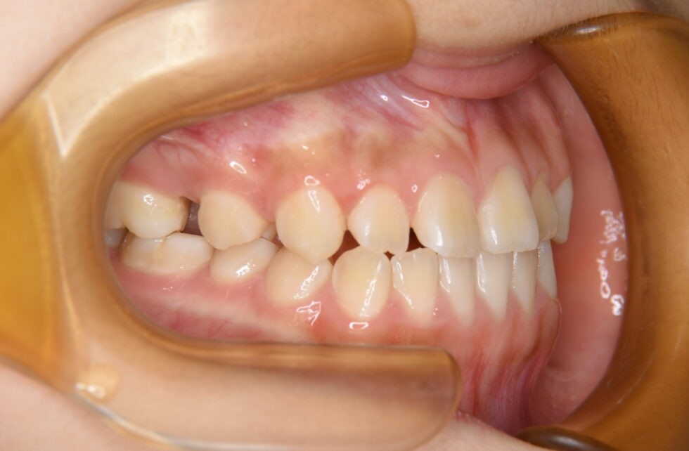
埋伏している小臼歯は歯冠を遠心に向けて埋伏しており口蓋側面が歯肉から少し露出していた。また、歯列内に移動するための余地も5㎜程度不足しており、この余地を作ることと、埋伏歯の牽引を同時に行うことを目標に治療を開始した。近心を向いていた歯根の移動に時間を要し、頬舌側を逆転する形で歯列内に配列した。従って、頬側側にある口蓋側咬頭の咬合状態は甘いが、口蓋側にある頬側咬頭は咬合接触を得ることができた。動的治療3年3か月間で保定へ移行した。
矯正することが決まった時、自分はとても不安でした。でも、初めてほりい矯正歯科に来院した際、先生方は優しくて私や親の意見をしっかり聞いて下さったり、不安な事や心配な事にもこたえて下さったり、ここなら安心して治療を受けられるなと感じたことを覚えています。
初めて装置を付けた時違和感と痛みでしんどくて嫌になったこともありましたが、先生や親に「これを乗り越えたら、歯が綺麗になるから頑張ろうね」と言ってもらい、だんだん自分の歯が綺麗になっていくのが楽しみでした。
3年が過ぎてやっと外せる時期になりましたが毎日鏡で白い歯を見れるのが新鮮で、すごく嬉しいです。
今はまだ取り外せる装置が付いていて、話しづらく嫌ですが、完全に綺麗な歯になれるまでおれからも頑張ります。
また、先生方にはとても感謝しています。とてもフランクに話しかけて下さり、やさしく丁寧に歯に付いての指導をして頂き、環境に恵まれながら治療をすることができて光栄です。ありがとうございます。あと少し宜しくお願いします。
そして、これから治療を受ける方、最初はすごく痛くてしんどいと思いますがそれを乗り越えればあっという間に綺麗な歯になります。私も今思えば、3年と長いように見えて、早かったように感じます。歯は人の印象を変えるものだと思うので、早く治療をすればするほどいいと思います。
最後に、私はいろいろな人に感謝しています。治療に携わってくれたすべての方、高い治療費を出してくれた親、ありがとうございました。














