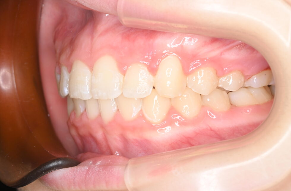
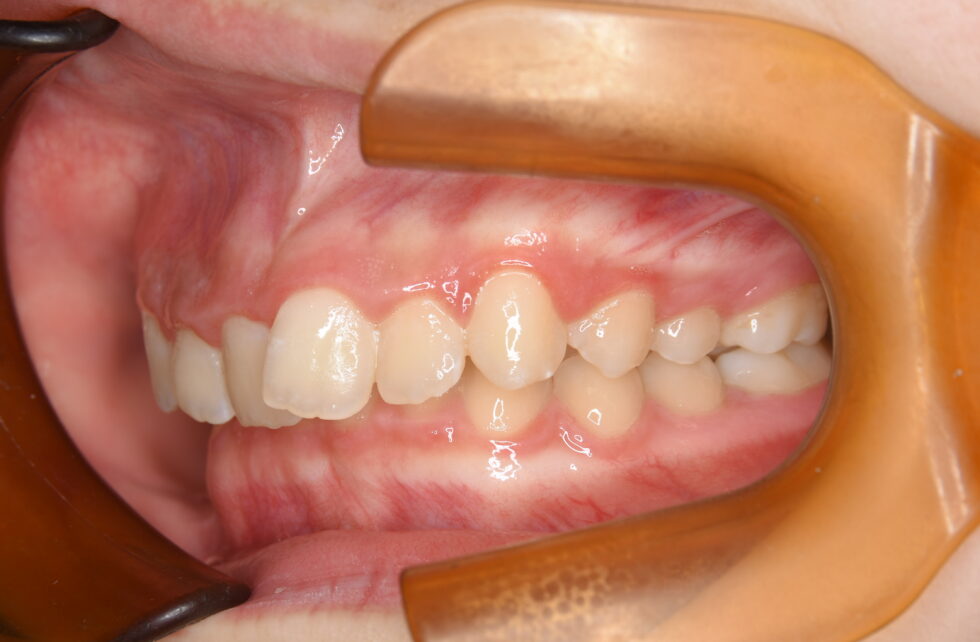
初診時年齢11歳の女子 かみ合わせが深く上下顎の叢生を指摘され近隣小児歯科医から紹介にて来院された。
オーバージェット、オーバーバイト共に7㎜で咬合すると正面からは下顎前歯が全く見えない状態であった。また犬歯、大臼歯共に完全にⅡ級関係となって上あごに対し下あごが著しく後退した位置に咬合していた。セファログラムの分析を基に骨格性上顎前突と診断し、咬合挙上床と上下顎マルチブラケット装置を併用して動的治療を行った。分析によって咬合挙上を行うことで顎位が大きく変化することが分かったため、著しいⅡ級であったが抜歯を行わずに保定へ移行することができた。動的治療期間1年9カ月間 調整来院13回 治療費の目安90万円程度
普段の定期健診で矯正の話が出て、矯正を受けるか?
長期間悩んだ。生きていくのにどうしても必要でない治療でもあるので
決断する…というよりは、夫が同意してくれないことには治療が出来ないので
結局開始できたのは子どもが中学生になってからとなった。
自身が子供の頃は矯正とは無縁だったので
そんな選択があることも知らなかったが大人になって歯並びが美しい人を
目にすると、どんなに美しくお化粧や着飾っても勝てない美しさだと感じます。
美しいといい難かった子供たちの歯がどんどん綺麗になっていくのは
驚きでした。生活上の不便は勿論あったと思うのですが
自身の力ではどうすることもできない歯並びを
美しく整えて頂けるのはとても贅沢な治療だと思いました。
子どもたち自身はまだその価値に実感が湧いてないと思いますが
これからの人生でいろんな人に接したときに
その価値を分かってもらえると思います。私自身はきれいになった歯並びの
子どもたちの口元を目にするととてもうらやましく また、嬉しくなります。
夫に感謝していつまでも大事にして歯のメンテナンスに気を配ってほしいと思います。














