再治療の症例

CASE:01

口元の突出感

初診時年齢 24歳
性別 女性
治療費の目安 約115万円程度(治療開始時)

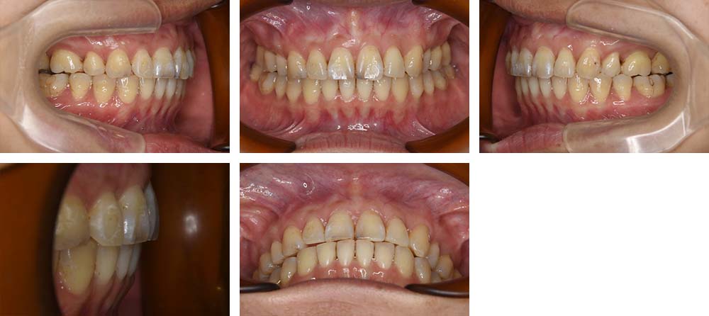
24歳の女性口元の突出感を主訴して来院いただいた。患者さんは高校生時に非抜歯でマルチブラケット装置を使用して一度矯正歯科治療を受けたとのことであった。その際は感じていなかったとのことだが徐々に口元の突出感を気にするようになってきたとのことであった。セファログラム他診断資料を分析した結果、上下顎前歯の前方への傾斜が強く、上下顎前突と診断した。上顎舌側、下顎唇側マルチブラケット装置を使用し、矯正用アンカースクリューを口蓋に併称して、上下顎小臼歯抜歯を行っていただいたうえで動的治療を行った。上下顎前歯が十分後退し緊張感のあったオトガイ部や口唇の安寧が得られ、上下の口唇はそれぞれEラインから―2㎜/0㎜と理想的な状態とすることができた。動的治療期間2年0カ月間。

治療前

治療後

CASE:02

上顎前突のケースに対し過剰な拡大を行い、歯列は並んだが前歯から臼歯までかみ合わず、さらに頬部の突出を招いてしまっているケース

初診時年齢 12歳
性別 女子
治療費の目安 約95万円程度(治療開始時)

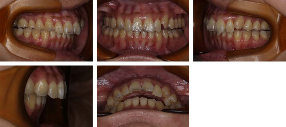
一般歯科医で拡大処置を受けたもののこれ以上の改善はできないと言われ、顔の感じが変わってしまったことを主訴に来院された。上顎歯列が過剰に拡大されており、大臼歯部は下顎歯と辛うじて接触しているが、小臼歯部以前は前歯まで全て咬合しておらず開咬となっていた。拡大処置は行われたものの大臼歯関係はⅡ級で骨格も下顎が後退したⅡ級傾向であった。Ⅱ級関係の改善を行うような治療は全く行われていない。当該一般歯科医を受診する前にかかりつけの小児歯科医から当院を紹介すると言われていたが、周囲の方から非抜歯で治療ができる医院があると聞きと受診してしまったことが今回のことを招いたしまったと保護者様は後悔されていた。過剰な拡大処置が行われた上顎歯列が後戻りして歯列幅が縮小することを2年間観察したのち動的治療を開始した。動的治療開始時には上下顎歯列幅径の不調和が残っていたものの、小臼歯部が接触していた。上顎小臼歯を抜歯していただき顎外固定装置を併用し上下顎マルチブラケット装置を使用し咬合を改善した。動的治療期間2年2カ月間。

治療前

治療後

CASE:03

数年前に非抜歯で矯正歯科治療を行ったが、年齢とともに口元の突出を気にされるようになったケース

初診時年齢 17歳
性別 女性
治療費の目安 約120万円程度(治療開始時)

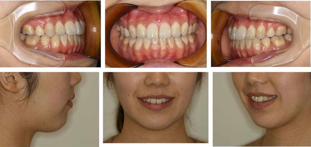
口元の突出を主訴としてご来院いただいた。患者さんは小学生から中学生にかけて非抜歯でマルチブラケット装置(?)で治療を行ったとのことであった。このため、歯列の乱れは大きくなく下顎前歯部の軽度の叢生があるのみであった。しかし、上下の口唇はEラインからそれぞれ約4㎜/8㎜突出していて、患者さんはこれを非常に気にされていた。セファログラム他分析を行い上下顎前歯の前方傾斜が顕著なことが分かった。これらの結果から上下顎小臼歯を抜歯していただき、上顎舌側、下顎唇側マルチブラケット装置を使用し矯正用アンカースクリューを口蓋に併用して動的治療を行った。上下の前歯は十分後退して上下の口唇はほぼEライン上にすることができた。小中学生では患者さん本人もそうであるが保護者様が抜歯を行うことを嫌うことが多い、しかし、特に女子は成人後の状態を考慮して治療を行う必要があると考える。早期治療が有効な場合もあるがそういったケースでは非抜歯にこだわることなく治療方針、治療計画を立案することが大切である。動的治療期間2年3カ月間。

治療前

治療後

CASE:04

上顎前突が改善しない

初診時年齢 39歳
性別 女性
治療費の目安 約100万円程度(治療開始時)

数年前から一般歯科医にてマウスピース型矯正装置(インビザライン)で治療を行っているが上顎前突が改善しないことが主訴で来院した。大臼歯関係はⅡ級で上顎前歯は約7㎜突出し、前歯部は咬合接触が無く開咬となっていた。また小臼歯、大臼歯部は上下の歯列幅径の調和が無く上顎歯列が極端に広い状態で大臼歯が辛うじて咬合接触していた。非抜歯での治療計画がなされているようであるが、明らかに咬合状態の改善は行えない治療計画であると考えられた。 セファログラム他の分析を行い、骨格性上顎前突と診断し上下顎マルチブラケット装置に矯正用アンカープレートを併用して上顎小臼歯を抜歯していただき動的治療を行った。患者は歯科衛生士の有資格者であったことから普段から筋機能療法を行うように指示した。動的治療2年8カ月を要したが、正常な咬合状態とすることができた。

治療前

治療後