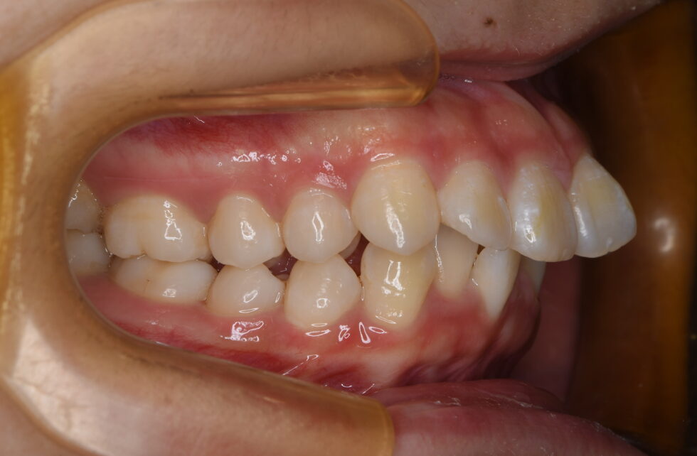
初診時年齢23歳の女性。前歯の叢生を伴う上顎前突のケース。
前歯の叢生と前傾を気にして来院されました。
前歯の叢生と前傾を気にして来院されました。
上顎左右側第一小臼歯、下顎左右側第二小臼歯の抜歯を行って頂き、マルチブラケット装置と矯正用インプラントアンカーを使用して動的治療を行いました。
前歯の叢生を改善し、前歯の後退により口元の形態も整えることが出来ました。
動的治療期間は2年4ヶ月間
治療を受けようと思ったきっかけは、学生の頃に行った2度の留学の時にホストファミリーや周りの人たちに歯並びを指摘されたことでした。
海外では歯並びの綺麗さがとても重要だと知り、将来は海外と関わる仕事がしたいと考えていたので治療をしようと決めました。
治療をしたことをホストファミリーはとても喜んでくれて、治療が終わるのを楽しみにしてくれています。
現在は外資系の商社に就職が決まり海外の方々と仕事をしていくことになりますが、自分に自信を持って仕事をすることが出来ると思います。
また、歯並びが良くなり、メイクが楽しくなった事、写真を撮るのが楽しくなった事、ダイエットがはかどったなど、色々なことが楽しくなり、自信に繋がりました。














