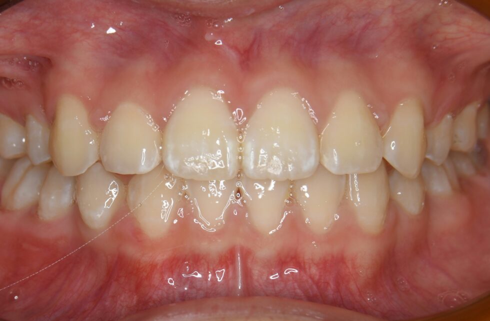
初診時年齢6歳の女性。先天欠損を伴う叢生のケース。
前歯の叢生を気にして来院されました。
前歯の叢生を気にして来院されました。
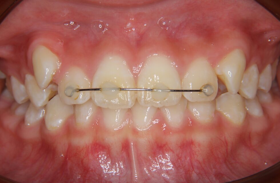
下顎の前歯が生まれつき1本少ないことも考慮したうえで、永久歯列への生え変わりが進んだ12歳から上顎左右側第一小臼歯と下顎左側第二小臼歯の抜歯を行って頂き、マルチブラケット装置を使用して動的治療を行いました。
前歯の叢生を改善し、上下の正中も一致させることが出来ました。
動的治療期間は2年3ヶ月間(調整来院18回)
自分の場合は小さいころから通っていた姉に続いて矯正治療を受けてきました。その頃の記憶はなく、歯の矯正はいつの間にか自分のあたりまえの一部になっていたように感じます。一番初めの歯の写真をみると1つ1つの歯が小さいことに加え、歯の高さや前後間の並びが不揃いであり、「もともとはこんな感じの歯だったんだ」という驚きもあります。思い返すと10年くらいの長い時間はかかっています。しかし、今、これが自分の歯だと自信を持って言え、歯並びで気になるようなこともありません。本当に歯の矯正治療を受けてきて良かったというように強く思います。
歯の矯正を受け続けている中で身に深く刻まれたことがあります。それは、「歯は動く」ということです。それも、時間をかけて矯正による力を加えないと元のガタガタな歯に戻ってしまう、まるでゴムの性質のようなものもあります。そこで針金で歯を常に歯を固定する治療も受けました。これはずっとつけていて外せないものなので、慣れてい来たらつけていることを忘れることも頻繁にありました。歯科医院に通った時、その針金の強度が増すことがあり、その時は翌日まで痛みを感じました。しかし、その痛みこそが歯が動いている証拠だったことから、針金の安定さや矯正が少しずつ進んでいたすばらしさへ感心します。
針金の矯正治療による治療もいつの間にか終わりを迎え、リテーナーの装着の治療へと移行しました。先生の皆さんが「おめでとう」と言って下さり、サプライズのお花もいただき非常に嬉しかったです。たくさんの先生方にお世話になったおかげで自分も歯も成長しました。感謝の気持ちでいっぱいです。また、矯正治療を受けさせてくれる親にも感謝の意を表します。ありがとうございました。まだまだリテーナーの治療も続きますので、これからもこの歯を大事にしようと思います。














