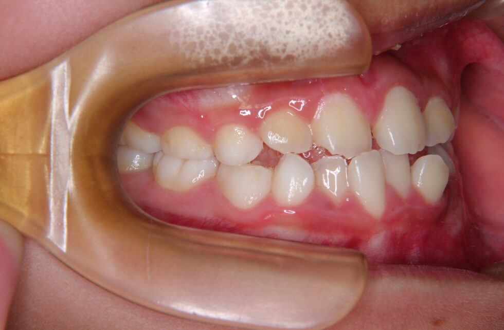
初診時年齢9歳の女性。叢生を伴う反対咬合のケース。
前歯部の反対咬合を主訴に来院されました。検査結果から骨格性の反対咬合であったため、上顎前方牽引装置を10ヶ月間使用して反対咬合の改善を行い、永久歯への生え変わりが完了した後にマルチブラケット装置を使用して非抜歯にて動的治療を行いました。反対咬合の改善とともに、乱れて生えていた永久歯も歯を抜かずに治療することが出来ました。
永久歯列での動的治療期間は1年11ヶ月間
私は小学校の時に歯科検診で歯のかみ合わせが悪いといわれ矯正治療を受け始めました。治療を始める前は、矯正は痛いというイメージが強く、受けたくないというのが本音でした。しかし実際に治療が始まると、小さい私にもわかりやすいように治療方法の流れをお話しして下さって安心して治療を受けることが出来ました。皆さんが温かく接して下さったり、学校生活の話を聞いて下さったりして楽しく通うことができ、治療中に不満を感じる事は全くありませんでした。普段の生活でもマスク生活だったというのもあって装置をつけていることで不便を感じる事はなく、心配していた痛みに関しても装置をつけ始めてから1日~2日後くらいまでご飯を食べるときに少し痛むくらいだったので「余裕やん!」と毎回思っていました。治療を終えた今、最初のころと比べて同じ歯とは思えないくらい綺麗になった自分の歯を見て、本当に治療を受けて良かったと思っています。矯正治療をして実感したことは、歯並びが綺麗かどうかで清潔感や顔の印象が大きく変わるということです。自信を持って笑えるのでマスクを外しても明るい表情でいられることが増えました!これからも歯のケアを頑張って綺麗な歯を保っていきます。長い間治療して下さってありがとうございました。














