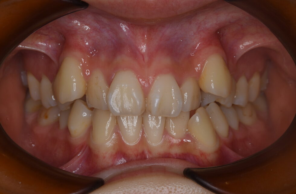
初診時年齢15歳の女性。下顎前歯の欠損を伴う叢生のケース
上下顎前歯の叢生を気にして来院されました。また下顎右側側切歯が先天欠損しており、上下の正中も一致していませんでした。
上顎左右側第一小臼歯と下顎左側第二小臼歯の抜歯を行って頂き、マルチブラケット装置を使用して動的治療を行いました。
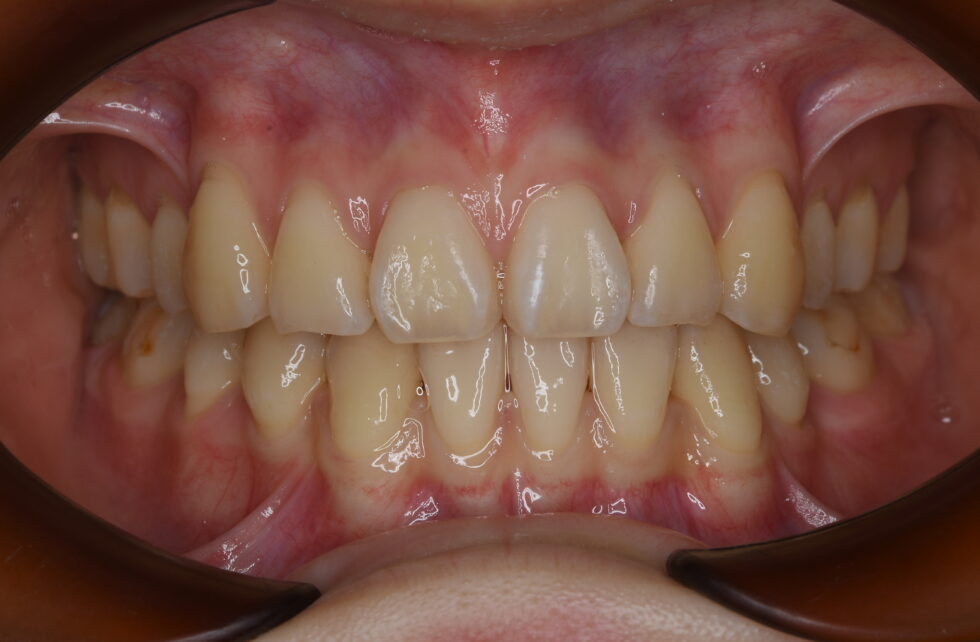
前歯の叢生を改善し、正中も一致させることが出来ました。
動的治療期間は2年3ヶ月間
噛み合わせが悪いのを治療したくて矯正を考えました。
噛み合わせが良くなり、歯茎が腫れることもなくなりました。
口を大きく開けることに抵抗がなくなりました。
治療を受ける前は歯磨きは歯をなぞるイメージでしたが、磨き方を指導していただいて一本一本意識して磨くようになりました。














