大津市在住 女性 K.Sさん 20歳

歯を大切にする気持ちが強くなった

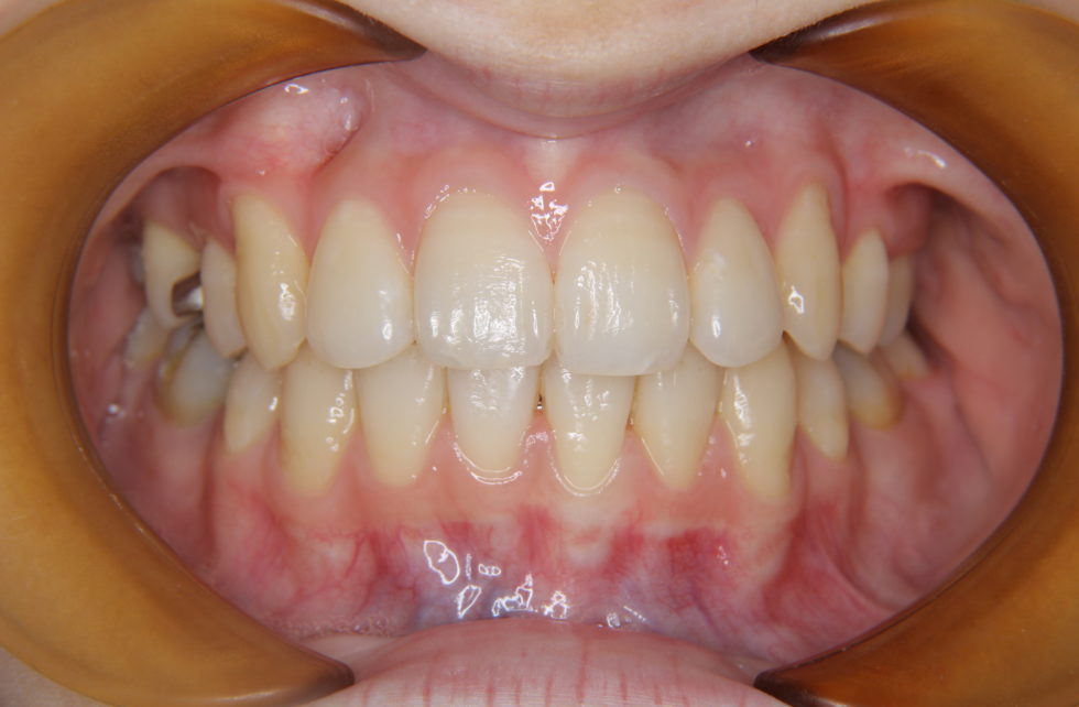
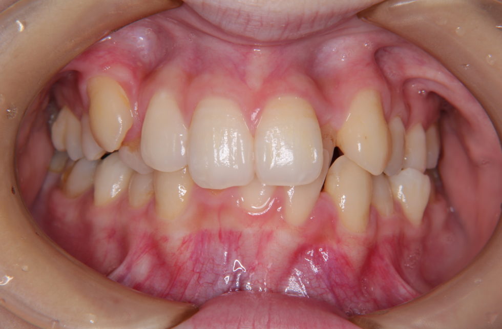
初診時17歳女性。側切歯の口蓋側転位を伴う叢生のケース。
上顎左右側第一小臼歯(4番目)、下顎左右側第二小臼歯(5番目)を抜歯して頂き、上顎には舌側(裏側)マルチブラケット装置を使用した。上下で深く咬み込んで内外に重なっていた前歯を整え、歯列内へ並べることが出来た。特に下顎の正中線が左へほぼ前歯1本分ずれていたことから時間を要した。   動的治療期間は2年9ヶ月間

治療を受けての感想

私は高校2年の終わりころから矯正を始めました。 歯の裏側の装置だったので、口の中に器具があることに違和感しかなかったですが、時間が経てばだんだん慣れていきました。 最初は綺麗になるのか、とても不安でしたが、日が経つにつれて歯並びが良くなり、歯医者に通う事は自分の中で1つの楽しみになっていました。  

治療を受けて良かったことは(本人)

矯正してから変わったことは、歯みがきを丁寧にするようになり、磨く時間が長くなったことです。 面倒くさがり屋だった私は、歯をみがくことさえ怠っていましたが、今では綺麗な歯を保つための、とても大切な習慣となっています。 以前よりずっと、歯を大切にしようと思う気持ちが強くなりました。 また、自信をもって笑えるようになりました。 皆さん、とても気さくに話しかけてくださり、雰囲気もよく、ここを選んで本当に良かったと思います。

治療費用

110万円程度(税込)

矯正治療には以下のようなリスクがあります。

  • ・歯の移動を行う際の痛みが生ずる場合がある。
  • ・ブラッシングが十分行わなかった場合に虫歯ができることがある。
  • ・歯の移動を行うと極めて希に根の吸収が起こることがある。
  • ・矯正用ゴムを指示通り使用しないと計画している歯の動きが得られないことがある。
  • ・装置が粘膜を刺激することで口内炎が起こることがある。
  • ・歯の裏側の装置の場合、装着後数日は発音障害が出ることがある。