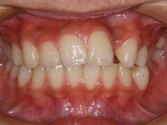
初診時年齢16歳の女子 上顎左側側切歯の口蓋側転位を主訴として来院された。
側切歯が口蓋側に転位し中切歯が約5㎜突出していた。セファロ分析の結果を踏まえ、叢生を伴う歯槽性上顎前突と診断し、上顎のみ小臼歯を抜歯し、上下顎マルチブラケット装置を使用して動的治療を行った。
動的治療期間2年1か月間
歯が一本奥に入っていて、笑うとガタガタだというのがとても嫌で、笑う時は常に手でおさえ、写真にうつるときは口を開けないようにしていました。しかし、いざ矯正するとなると、友達に何か言われるのではないか、痛くて自分には耐えられないのではないかとの不安が出てきました。
そんな不安を抱えながら抜歯、青いゴムを入れて装置をつける準備が進んでいき、いよいよ装置をつけ、それから約3日間は痛みはありましたが、その後は全く痛みはなく、学校で友達に会うと言われたのは「いいな、矯正始めたんか。私もしたいねん。」という言葉でした。
私が矯正を2年間続けてこれた理由は2つです。
1つ目は毎日毎日歯がきれいになっていくのが目に見えて分かったこと、もう1つは歯科衛生士さん達がちょっとしたことでもほめてくれたことと、堀井先生の「頑張ってな」という言葉でした。
今は、すごく歯がきれいに並び、歯を見せて笑えることに本当に幸せを感じています。
矯正して良かったです。これからもずっときれいな歯を保ち続けるために頑張っていきたいと思います。














