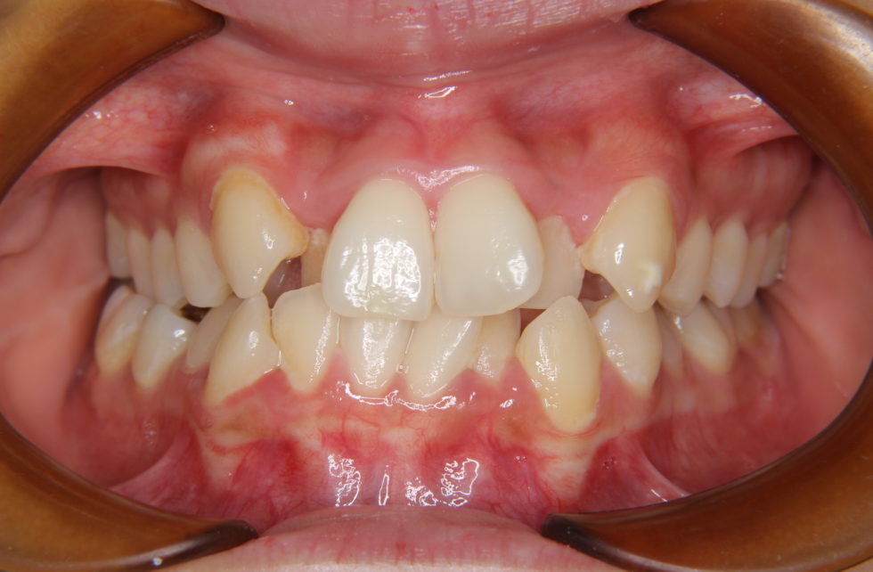
24歳の女性 上下顎前歯の叢生を主訴として来院された。
上顎左右側側切歯が口蓋側、犬歯が唇側に転位し、下顎前歯部も叢生であった。また下顎が右側へ偏位し、右側第一、第二大臼歯が交叉咬合となっていた。上下の正中線もずれが大きく、上顎の正中線が顔面正中より右に約1㎜偏位し、さらに下顎はさらに4㎜程度右側へ偏位していた。下顎の右方偏位と臼歯部交叉咬合を伴う上下顎前歯部叢生と診断した。右側臼歯部の交叉咬合の改善のためクアドヘリックスを先行して6か月間使用し、その後、上下顎小臼歯抜歯を行っていただいて上下顎マルチブラケット装置を使用して動的治療を行った。 動的治療期間2年8カ月間(調整来院24回)
先日ブラケットが外れ、保定期間に移りました。約二年半、長い間お世話になり感謝の気持ちでいっぱいです。
矯正治療中は慣れるまで痛かったり口の中が荒れたりして辛い時期もありましたが、治療が進むにつれ歯が並んでくると目に見える変化に毎回嬉しくなりました。矯正はほとんどの場合保険がきかないので自費になるのですが本当にやって良かったです。矯正前の自分の歯並びを見るたびにそう思います。
そしてたくさんある矯正歯科の中でもほりい矯正歯科クリニックさんを選んでよかったです。先生もスタッフの方もいつも何をするのかきちんと説明していただけ、安心して通う事が出来ました!ありがとうございます。保定期間もよろしくお願いします。














