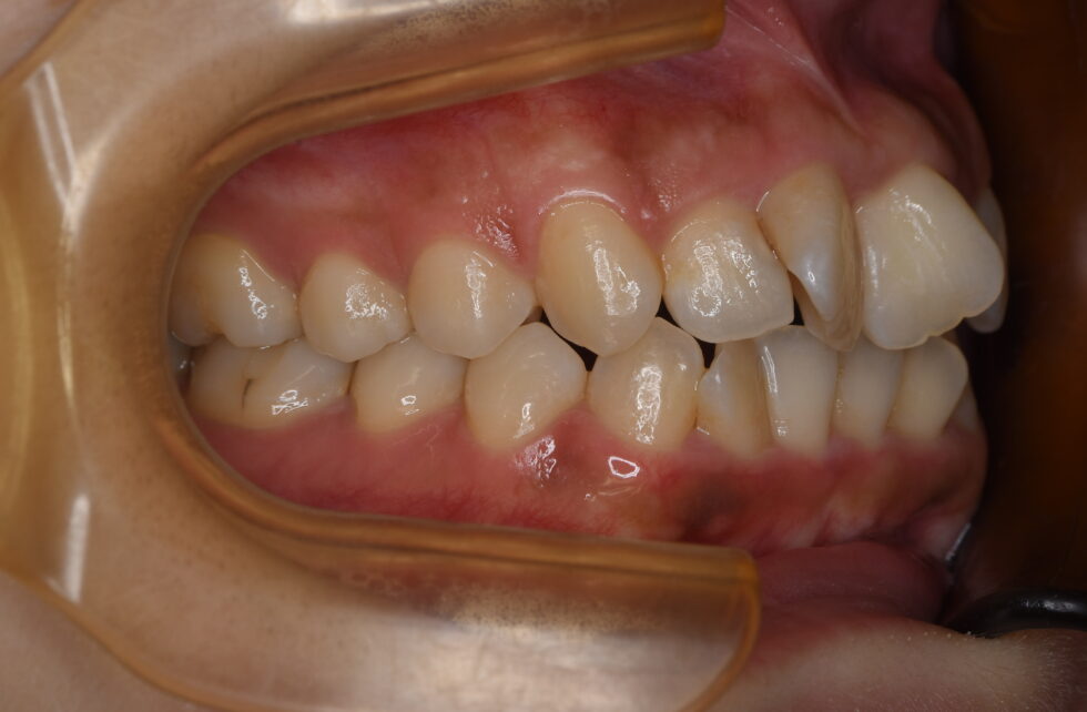
初診時年齢25歳の女性 上顎左右側中切歯の捻転を主訴にご来院いただいた。
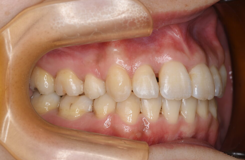
上顎左右側中切歯がそれぞれ45度程度ねじれ、下顎前歯4本もそれぞれがねじれて生えていた。アングルⅠ級叢生と診断し、さらなる口元の突出を招かないよう、可能であれば口唇の2~3㎜の後退が生ずるように考慮して、上下顎左右側第一小臼歯を抜歯していただきマルチブラケット装置を使用して動的治療を行った。捻転が改善し咬合状態も良好な状態にすることができた。動的治療期間2年1カ月間(調整来院19回)
矯正治療は高くて時間もかかる…。歯並びが悪くてもいいかと学生時代は諦めていました。しかし、大人になって自分が笑っている写真を見るたびに嫌な気持ちになる事が多くなり、一生このままではしんどいなと治療を決断しました。ほりい矯正歯科クリニックさんを選んだのは、矯正歯科専門の医院であること、ホームページの情報が充実していること(衛生士さんのブログなど)、カウンセリングが無料ではないこと(笑)などから安心して身を委ねられるかも…!と感じたからです。実際にカウンセリングの予約日についてのお電話を頂いた時から対応がとても丁寧で安心した記憶があります。治療を開始してからもほりい先生をはじめ衛生士の皆さん、受付スタッフの皆さんのご対応が穏やかで、クリニックに行くのが嫌だな…と思ったことは一度もありません。自宅から電車で約2時間の道のりに耐えられたのも皆さんの存在が大きいです。治療中辛かったこともありました。親知らずと小臼歯の抜歯や、面倒なゴムかけ(すごく大事な工程ですよね…)。ストレスが溜まる事も多かったですが、気づけばキレイになっている歯並びを見せて「すご~!」と反応してもらえるのもモチベーション維持に繋がるのでオススメです!(ドヤ)現在は、リテーナー装着による保定期間に移り、後戻りの恐怖とリテーナーの煩わしさと戦っていますが、何も装着していない綺麗な歯で過ごせる日を楽しみにもうひと踏ん張り頑張ります!
治療を悩んでいる方へ。思い立ったが吉日です。一度カウンセリングを受けてみてください。
治療を悩んでいる方へ。治療を進めるために、自分自身が治療に協力することが大切だと思います。矯正している人にしかわからないストレスが多く、しんどくなることもありますが、キレイになる歯並びを見ると矯正して良かったと思えるので焦らないでください!














