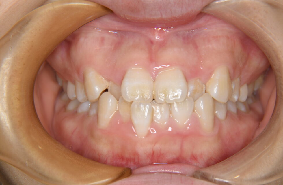
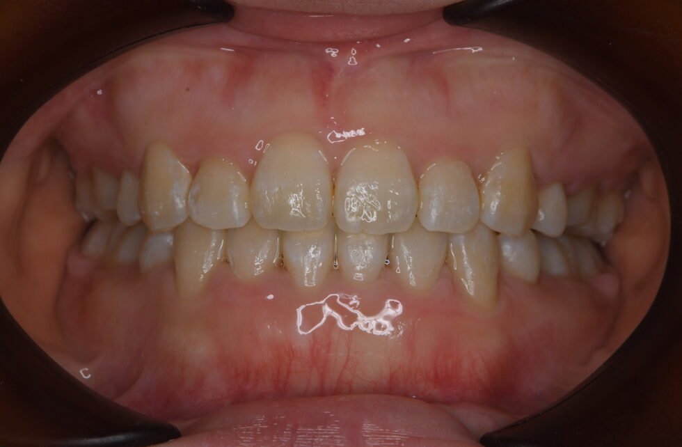
初診時年齢23歳の女性。叢生のケース。					
															
						歯並びと咬み合わせを気にして来院されました。マルチブラケット装置を使用して、上下顎左右側第一小臼歯の抜歯による動的治療を行いました。乱れていた歯並びと咬み合わせを改善することが出来ました。
動的治療期間は2年10ヶ月間					
					
																																																												ずっと歯並びが悪いな、写真撮るの嫌いだな、撮るときは絶対に口を開けずに撮る…
中学では、人と喋る時はタオルや手で口元に当てて話したり、高校時代では、四季関係なく夏でもずっとマスクを付けたりしていました。このまま矯正せずに一生を終えるのでも良いかなと思っていましたが、友達が矯正を始めたこと、歯並びがキレイになるのを見ていると自分もしたいなと思いました。
私はかなり歯並びが悪いこともあり、出来るだけ出費を抑えたいと思い上下表ワイヤーにしましたが、結構お気に入りになりました。
矯正中は、していない時より歯磨きも丁寧になりました。矯正期間中には、学校を卒業し働き始め、矯正前の歯並びを知っている友達とたまに遊ぶときは、本当に歯並びキレイになったなどの言葉、ワイヤーが外れてリテーナーになった時も一緒に喜んでくれました!
ワイヤーを外した時は、2~3年ぶり?に自分の歯の全貌わ見るので不思議で自分の歯ではないような気がしました!ワイヤーを外した時、寂しかったのでワイヤーに愛着がわいていたことも矯正の思い出です。
その一方で、やっぱりワイヤーが外れる嬉しさももちろんあり、外した日には家族にキレイな歯並びを見せました!
 
矯正は、お金も時間もかかる治療ですが、口元を気にせずに笑えたりするのでコンプレックスが1つなくなり治療をして良かったと思っています。
						
					

 
                             
                        





 
						 
						 
						 
						





