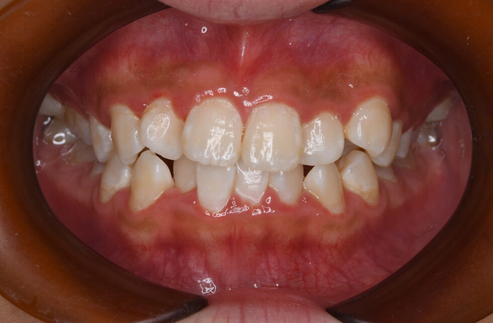
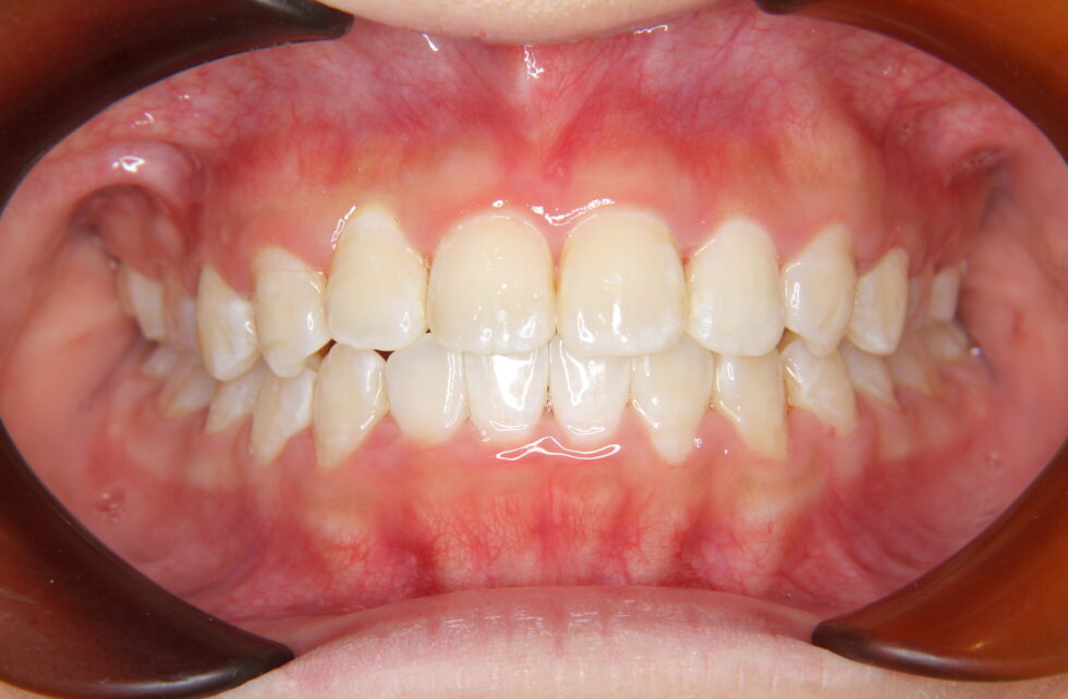
初診時年齢26歳の女性 上下顎前歯部の叢生を主訴として来院いただいた。
上顎左右側側切歯が口蓋側転位で捻転していた。右側第二小臼歯は口蓋側へ、左右側第二大臼歯は頬側へ転位して遠心へ傾斜していた。第二大臼歯の後方傾斜は歯が並ぶ歯槽骨の奥行きが小さいことを示し、歯の後方への移動は困難であると考えられた。下顎前歯の叢生量は5㎜程度であったが、CTで確認した歯が並ぶ奥行きや歯槽骨の幅は上顎同様で各歯を後方へ移動するには不十分であると評価した。口元の状態も上下の口唇がほぼEライン上にあり、歯列の前方への拡大処置は望ましくない。また、患者さんはマウスピース型矯正装置での治療を希望された。これらをふまえ、上顎は左右側小臼歯を抜歯し、下顎は各歯隣接面を削除するIPRを行って叢生の改善をおこなった。動的治療期間2年7か月間 アライナー86枚
歯並びには学生の頃からずっと悩んでいて、ネットで口コミを調べたらこちらの堀井先生に診て頂きたいと思い通い始めました。
初回より親身にお話を聞いて下さりここでぜひ診てもらいたいと思いました。
歯の動きが思うようにいかない時も沢山考えて下さり無事にキレイに矯正していただくことができました。
終了時には素敵な写真とお花でお祝いして下さったのがとても嬉しく改めて温かいクリニックだな、ここでお世話になって良かったなと思いました。














