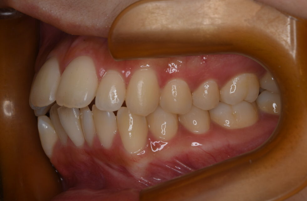
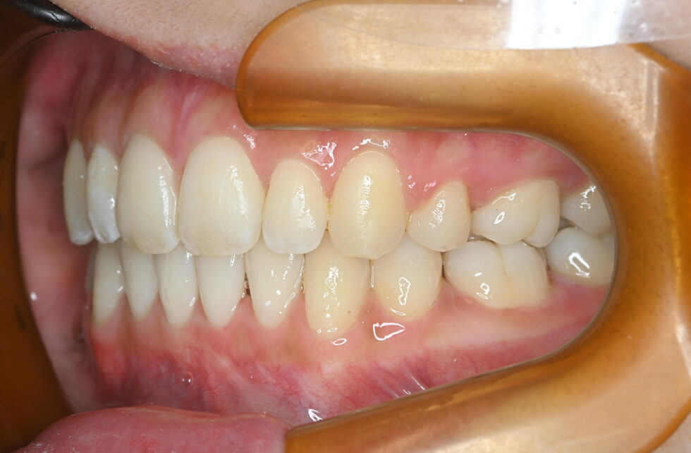
初診時年齢21歳の女性。開咬を伴う上顎前突のケース。					
															
						口元の突出および前歯の咬み合わせを気にしておられました。マルチブラケット装置を使用して、上下顎左右側小臼歯の抜歯による動的治療と筋機能療法を併用して行いました。前歯の咬み合わせを改善し、口元の形態を整えることが出来ました。
動的治療期間は2年6ヶ月間					
					
																																																												私は高校生の頃から前歯が気になるようになりました。
前歯のせいで食べ物(特にキャベツやパン)が食べにくかったり、写真撮影する場面でも口元を隠したりと、なるべく口元が映らないようにしていました。
始めるなら早い方が良いと考え、ワイヤー矯正を始めました。
どこのクリニックにするか迷っていましたがカウンセリングの際に抜歯の必要性、舌の位置やトレーニングの重要性などを丁寧に説明してくださりほりい矯正歯科クリニックさんで治療を受けることを決めました。
抜歯やアンカースクリューなど大変な場面もありましたがそれ以上にどんどん綺麗になり歯並びに感動しながら頑張れました。いつまで続くのかなど不安になる事もあると思いますが、早く治療を終わらせるためにもとにかく継続して通い続けることが大切だと思います。
 
今では初めて会う人にも歯並びを褒められることが増えました。写真を撮るときに口元を隠す癖もなくなり、思い切り笑うことが出来るようになりました。
ほりい矯正歯科クリニックさんには感謝でいっぱいです。
						
					

 
                             
                        





 
						 
						 
						 
						





