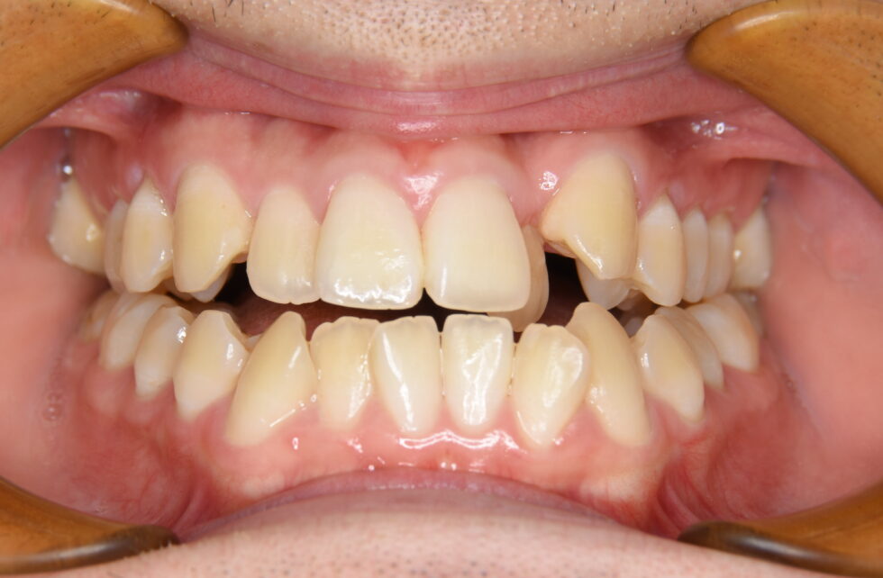
初診時年齢18歳の男性 前歯部反対咬合と開咬を主訴に以前通院していた他県の矯正医より紹介で来院された。
上額は犬歯が唇側転位となり下顎前歯は各歯が捻転していた。前歯は垂直、水平被蓋共にマイナスで前歯はかみ合っておらず開咬状態であった。犬歯、大臼歯関係共にⅢ級で、下顎が左へ偏位していることもあり、特に右側は著しいⅢ級傾向であった。分析の結果、顎変形症として顎離断術を併用した外科矯正を行うこととした。上顎前歯の叢生状態と歯軸角等を評価して、上顎小臼歯、上下顎智歯を抜歯していただき、上下顎マルチブラケット装置を使用して術前矯正を開始した。1年10カ月で術前矯正を終了して、手術準備に入った。顎離断術施行し退院後、術後矯正を10カ月間行って装置を撤去、保定を開始した。
動的治療期間2年8か月間
小さい頃から歯並びの悪さに悩まされており、人前で上手に笑えないことが多くあった。また、小さい頃の写真も歯を出して思いっきり笑っている写真は1枚もなかった。しかし、ほりい矯正歯科さんと出会って、歯並びが良くなる中で次第に自分の笑顔に自信が持てるようになった。友人からは「よく笑うようになったね」と言われるようになり、笑いたいときに全力で歯を見せて笑える、我慢しない今の自分が大好きになりました。
治療費が高いことは確かだが、それと引き換えにかけがえのないものを得た。治療を許可してくれた両親、治療して下さった堀井先生、サポートして下さった助手の皆さん、本当にありがとうございました。
これからはよく笑って生きていこうと思います。














