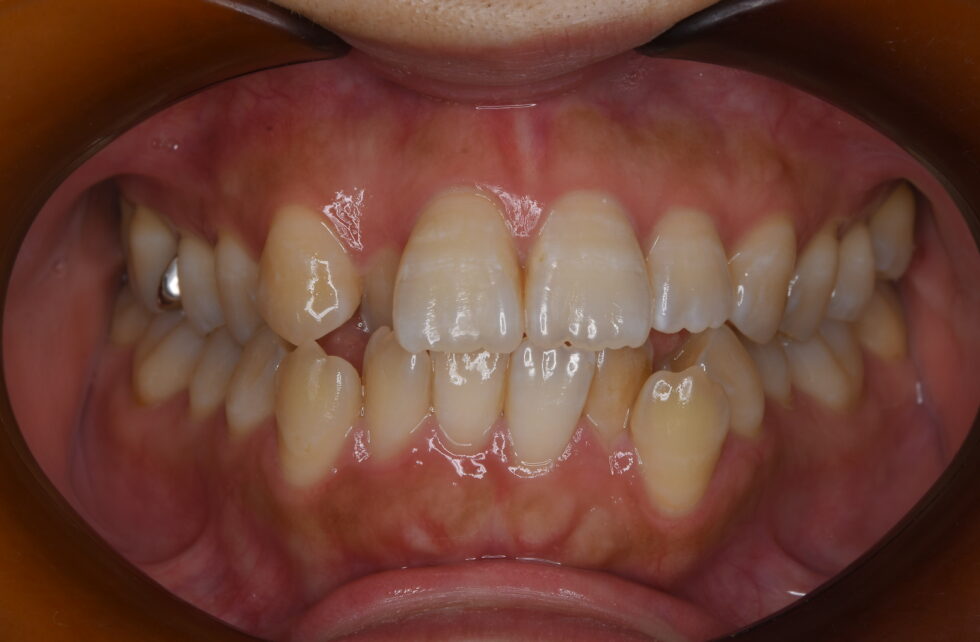
初診時年齢33歳の女性 上下顎前歯部の叢生を主訴にご来院いただいた。
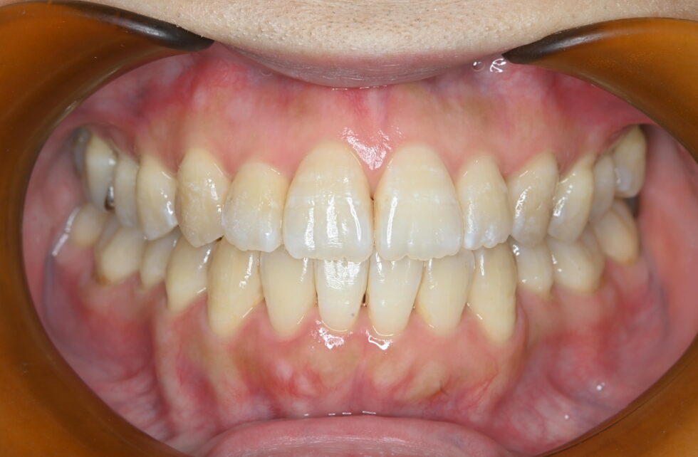
上顎は右側側切歯と犬歯が前後にずれて生え、下顎は左側の犬歯が歯列から外れ八重歯になっていた。カスタムメイドマウスピース型矯正装置での治療を希望されたことから、上顎は大臼歯部の遠心移動を計画し、下顎は左側小臼歯と右側智歯を抜歯していただき動的治療を行った。マウスピース型矯正装置の利点が十分に発揮され良好な結果を得ることができた。
動的治療期間1年9か月間、調整来院11回、アライナー69枚(追加アライナーを含む)
ずっと歯並びがコンプレックスで口を隠して笑ったり、口を閉じたまま笑ったり…親を恨んだこともありました。自分が働くようになり、貯金が出来たら矯正治療を始めようと決め2年前にこのクリニックに決めました。
ここに決めた理由は、カウンセリングを受けた時の印象が良かったからです。初めて電話した時、予約は3か月先だと言われましたが、あっという間でした。歯科医師はフラットな感じで接して下さり、ワイヤーでもマウスピースでもどちらでも出来ます、と言われたとき、正直嬉しくてここにしようと決めました。十数年前、別のクリニックでカウンセリングを受けたことがありましたが、ワイヤーでしか出来ないと言われたからです。
治療を受ける前と後では人生が変わりました。初対面の人にも思いっきり歯を見せて笑うことが出来ますし、以前よりも柔らかい印象を持ってもらうことができました。
また、歯磨きがしやすくなりましたし、今までちゃんと歯が磨けていると思っていた自分が恥ずかしくなりました。
現在リテーナー装着していますが、高い治療費を出したのだからちゃんと歯並びを維持しよう!をモットーに日々生活しています。苦もなく後戻りせずできています。
治療中の痛みは新しいマウスピースに変える時ぐらいで我慢できるくらいでした。
私自身、治療中に、妊娠出産を終えることが出来たし、個々の患者さんに合った対応をしてくれるよう感じました。
もっと早く治療すればよかったと思うけれど、今、治療が終わって人生楽しくなったし、写真も好きになったので、これからの人生綺麗な歯で楽しく過ごしたいと思います。














