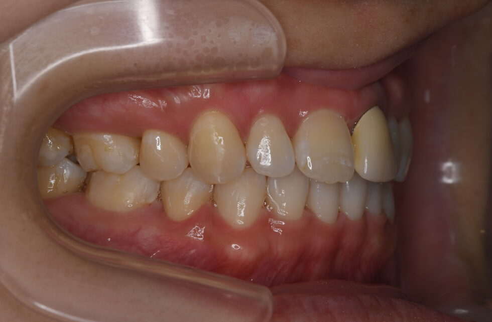
初診時年齢34歳の女性。叢生を伴う上下顎前突のケース。
口元の突出および前歯の乱れを気にしておられました。審美的な矯正装置を希望されたため上顎舌側(裏側)・下顎唇側マルチブラケット装置を使用して、上下顎左右側小臼歯の抜歯による動的治療を行いました。前歯の乱れを改善し、口元の形態を整えることが出来ました。
動的治療期間は2年1ヶ月間
歯の矯正治療と言えば、子どもの頃にするものというイメージがありました。ホームページには40.50代の大人でもと掲載があったので30代でもいいかなと思い、カウンセリングをお願いしました。おおよそ2年間、ワイヤーなどの装置が歯に付いている為、食事の際の食べづらさがありました。
また職場での電話対応では、うまく発音出来ずに何度も聞き返されたり大変な面もありました。ですが、少しずつ整っていく歯並びを見るのがとても楽しみでもある2年でした。
矯正治療は決して安いお買い物ではありませんでしたが長年のコンプレックスが解消されたので非常に満足です。
今は人前でも大きな口を開けて笑える日が来ることを楽しみにしてます。














