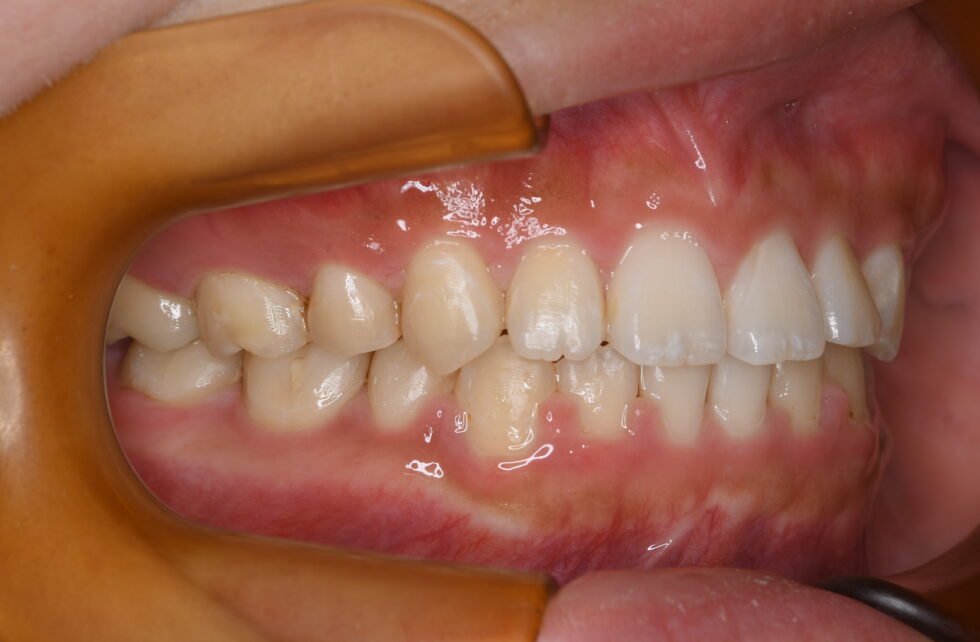
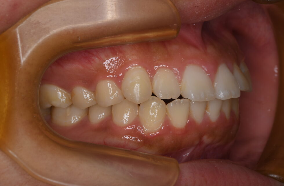
初診時年齢18歳の女性。叢生を伴う上下顎前突のケース
口元の突出および前歯の前傾を気にしておられました。審美的な矯正装置を希望されたため上顎舌側(裏側)・下顎唇側マルチブラケット装置を使用して、上下顎左右側小臼歯の抜歯による動的治療を行いました。前歯の前傾を改善し、口元の形態を整えることが出来ました。
動的治療期間は3年5ヶ月間
治療を受けようと思った理由は一度目の歯列矯正(別の医院)に満足いっていなかった為です。また親知らずも生えてきたため、歯全般について治したかったためです。
治療を受けて良かったことは、鼻呼吸がしやすくなったこと、食べ物をかじりやすくなったこと、見た目が良くなったことです。
治療を受ける前と後で変わったことは生活のしやすさと歯磨きへのモチベーションです。
アドバイスは特にないですが学生のうちに始める(終わらす)と社会人生活が少し楽になると思います。














