初診時年齢25歳の女性。下顎前歯部の叢生を主訴としてご来院いただいた。
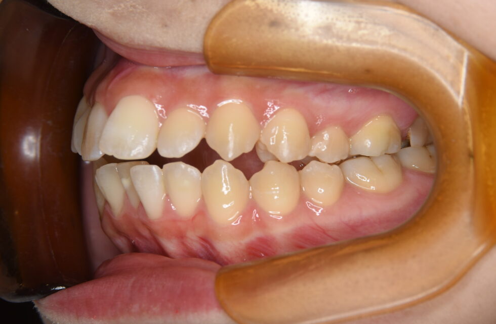
上下顎前歯部には中等度だが叢生となっており、上顎前歯は下顎前歯より約9㎜突出していた。また、嚥下時には舌が上下顎前歯間に突出し犬歯から犬歯は開咬状態で咬み合っていなかった。セファログラムの分析では下顎が著しく後退した顎形態で開咬を伴う骨格性上顎前突と診断した。分析値からは下顎を前方に移動する顎離断術の適用を考慮する状態であった。しかし、相談の結果患者さんはこれを望まず、矯正歯科単独での治療を希望された。このため、上顎左右側に矯正用アンカープレート(SMAP)を使用して左右第一小臼歯と第二大臼歯を抜歯していただき、前歯、臼歯を後方へ移動するとともに、智歯を歯列内に誘導することとした。また、臼歯の圧下による下顎のオートローテーションを期待して治療を進めることとした。下顎は左右側第二小臼歯と智歯を抜歯していただき、叢生の改善と少しの前歯の後退を計画した。筋機能療法や矯正用ゴムの装着状態も良く、期間はかかったが良好な結果が得られた。初診時はいわゆるアゴなし状態でオトガイ部の丸みが無く平坦であったが、オトガイ部の丸みもでき、良好な側貌とすることができた。患者さんは来院間隔が長かったため動的治療期間3年11か月間要したが調整来院は27回であった。
顎が小さく下の歯が重なって生えてしまっており、歯科検診の度に矯正治療を進められる子どもでした。しかし、高額な治療になるため自分が働くようになったら始めようとずっと夢みておりました。
とはいえ、自分の中ではガタガタなのは下の歯だけ、うまく並べてもらって早めに終えてもらえるかななどと思っていたのですが、初めてのカウンセリングで全て覆された衝撃を今でも覚えています。勝手に出鼻を挫かれた気分になりかなり不安だったのですが、温かく優しい雰囲気を纏われた先生、スタッフの皆さんがいつも私の拙い疑問質問の数々に丁寧に応じて下さって本当に本当にありがたかったです…!
大人になって代り映えのしない日々を送っていたのですが、歯だけは毎日少しずつでも綺麗になっていっているという進歩を感じられてうれしかったです(笑)また皆さんにとっては普通の事だと思うのですが、“口を閉じて自然に微笑む”ということが出来るようになれたことに感動しました!
矯正治療は1度手術すれば治る!といった種類の治療ではなく、自分の習慣にして継続していくことが大成功の鍵だと思います。少々面倒くさかったりすることがあるかもしれませんが、先生・スタッフの皆さんのいう事を聞いていれば間違いありませんので、サボらず地道に取り組んでいくことが大切かなと思います!!














