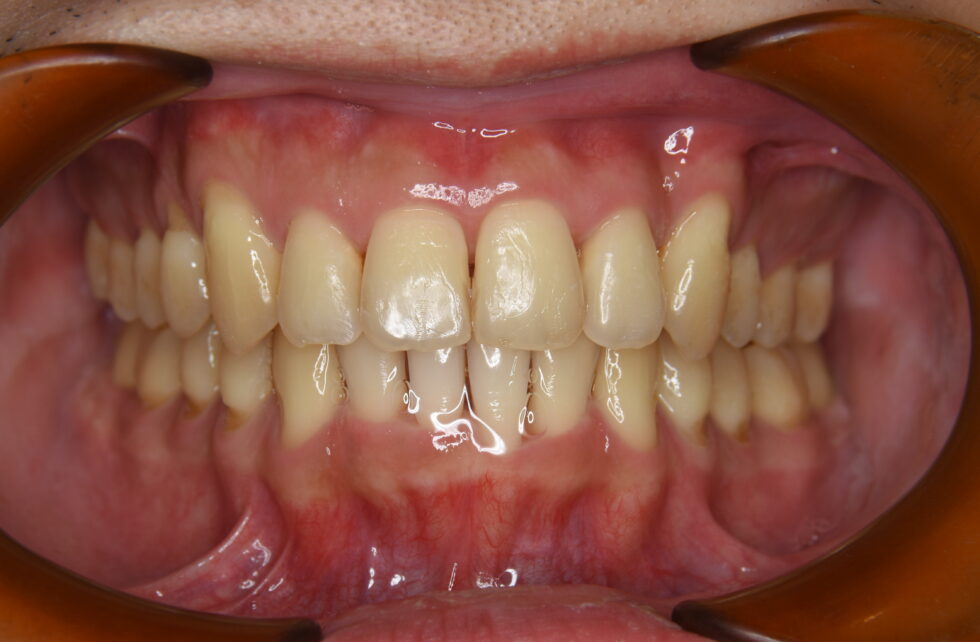
初診時年齢26歳の男性 上下顎前歯部の叢生を主訴としてご来院いただいた。
上顎前歯は捻転し、下顎前歯も捻転している箇所や唇舌的に乱れて生えていた。また、上顎正中線は下顎前歯と比較して約3㎜右側に偏位して、顔面正中ともずれが著しかった。
左側大臼歯は相対的に上顎が下顎より前方にありⅡ級関係であった。
さらに、患者さんは1年8か月後に長期留学を予定しておられ、その間にも短期間の留
学があるとのことであった。
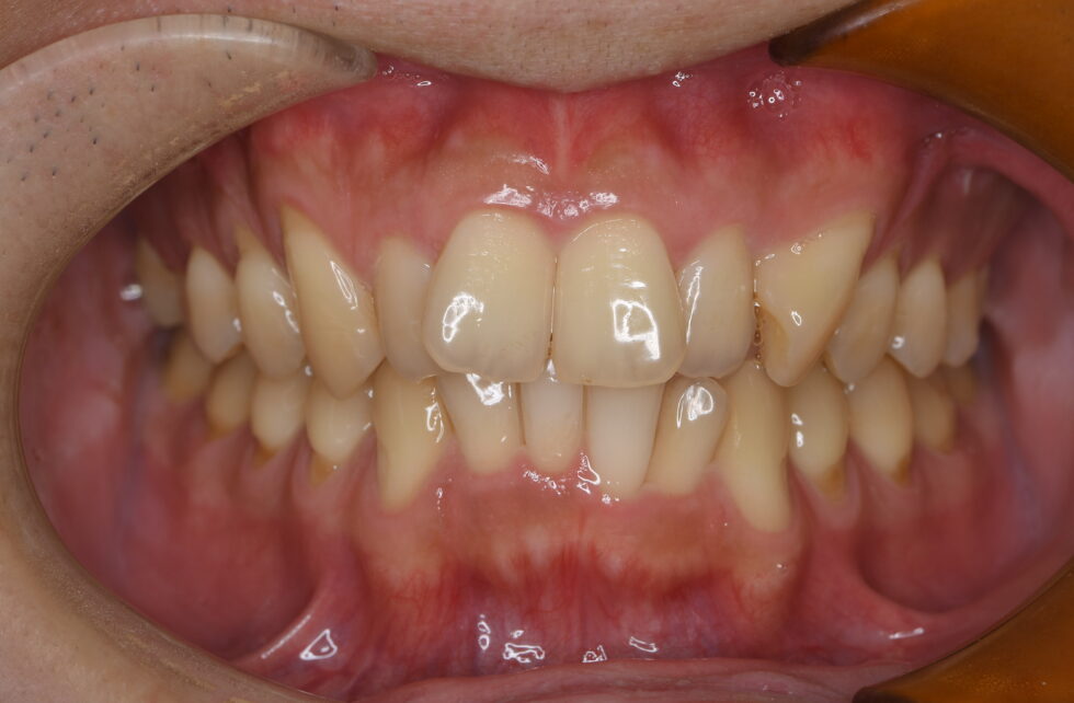
上下顎これらをふまえ患者さんと相談のうえカスタムメイドマウスピース型矯正装置を使用して治療を行うこととした。
上顎右側第一小臼歯(4番目)、下顎左右側智歯(親知らず)を抜歯していただき動的治療を行った。
装着時間も指示通り行っていただき良好な結果が得られた。
動的治療期間1年5か月間、調整来院8回、アライナー60枚(追加アライナーを含む
)
知人が以前こちらの医院で治療をし、勧められたのでこちらにお願いしました。
先生の説明が分かりやすく、途中留学で海外に行くこともあり、治療が続けられるかとても心配していましたが、そのことも含めて治療考えていただけました。
始めた時は長い治療になり、本当にうまくいくのか少し不安もありましたが、今はとてもきれいな歯並びになり、思い切って治療をして良かったと思います。














