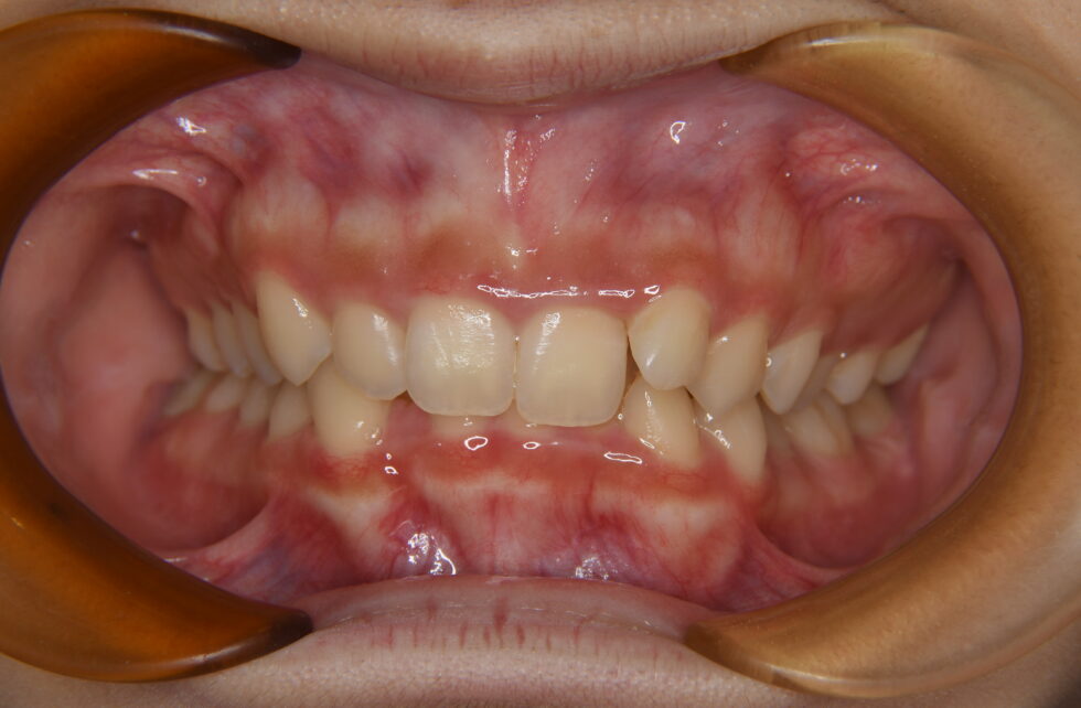
初診時年齢19歳の女性 上下顎前歯部の叢生を主訴として近隣歯科医院より紹介でご来院いただいた。
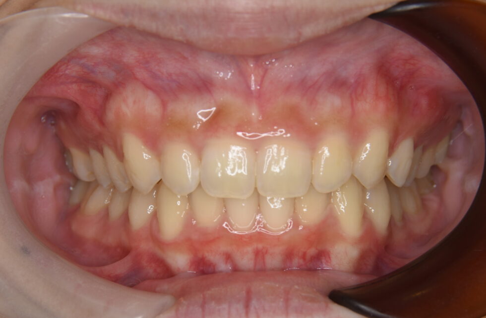
上顎中切歯が内側を向き、側切歯が外側を向いて大臼歯関係は上あごの大臼歯の方が下あごの大臼歯より前方にあるⅡ級の状態であった。上顎右側第二大臼歯は未萌出であった。また、かみ合わせが深く下あごの前歯は前後にずれて生えていた。患者さんはマウスピース型矯正装置を希望された。マウスピースの設計に上下顎前歯の圧下を組み込み、矯正用ゴムを併用して動的治療を行った。動的治療期間1年11か月間 アライナー79枚(追加アライナーを含む)
治療を受けようと思った1番の理由は、通っていた歯医者さんから勧められたからです。小さい頃からお世話になっているところで矯正したいねとずっと話していましたが、タイミングがなく出来ずにいました。大学生目前にしても奥の歯が生えてこなかったこと、自分自身も歯並びが気になっていたことから、矯正することを決め、ほりい矯正歯科クリニックを紹介していただきました。治療を受けてよかったことは、自信をもって笑えるようになったことです。上の歯がでていたので口を閉じて笑うと歯が見えることが多く、友人からもネタでいじられることもあり気にしていました。かといって、歯を見せて笑っても歯並びが上下とも悪いのであまりみられたくない…なので人の目を気にせず笑えるようになったことは、よく笑う私にとってとても嬉しいです。
また、歯並びの悪さから同じところを何度も嚙み、頻繁に口内炎ができていたのですが、それも無くなったのが良かったです。
実際、治療費は結構かかりますし、マウスピース型だったので食事以外はつけておかなければならず不便を感じることはありました。しかし、徐々に綺麗になる歯並びを見ると、矯正やって良かったなと心から思いました。
ここで治療することができて良かったです。ありがとうございました。














