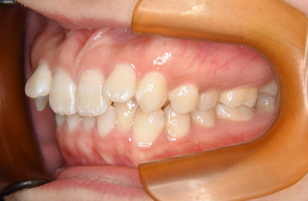
初診時年齢19歳の女性 上下顎前歯部の叢生を主訴にご来院いただいた。
上顎左右側側切歯が唇側転位となり下顎前歯も前後にずれてデコボコに生えていた。また、臼歯部は下あごの奥歯より上あごの奥歯が前方にかみ合っていた。
側貌セファログラムなどの分析の結果、骨格性上顎前突と診断した。患者さんがマウスピ
ース型矯正装置による治療を希望されたため、上顎左右側第二大臼歯を抜歯していただき
動的治療を行った。動的治療期間1年7か月間 調整来院12回 アライナー65枚(追加アラ
イナー含む)
出ている歯が気になったため治療を受けようと思いました。
親知らずを抜くときは少し怖かったけれど抜いたことで輪郭も変わったので良かったです。上だ、その点も良かったです。上だけでなく下の歯もガタガタだったので、それが治ったことで虫歯の心配も少し減ったので、その点も良かったです。
治療を受ける前と後で口元の雰囲気も輪郭もだいぶ変化しました。
これから治療を受ける人には、「マウスピースは出来るだけ長くつける」ということをアドバイスしたいです。正直、ご飯と歯を磨くとき以外つけるというのは結構大変でした。しかし、これをサボってしまうと矯正期間が延びてしまい、しんどい時期がながくなってしまうので、頑張るべきだと思います。このことが難しい人はワイヤー矯正の方が歯がしっかり動くと思います。自分の努力次第で変わってくるので、それなりの覚悟をもってすべきだと私は思います。
遠くから通院していたのもあり、日が合わないこともあったのですが、調節していただいて終えることが出来たので感謝しています。
ありがとうございました。














