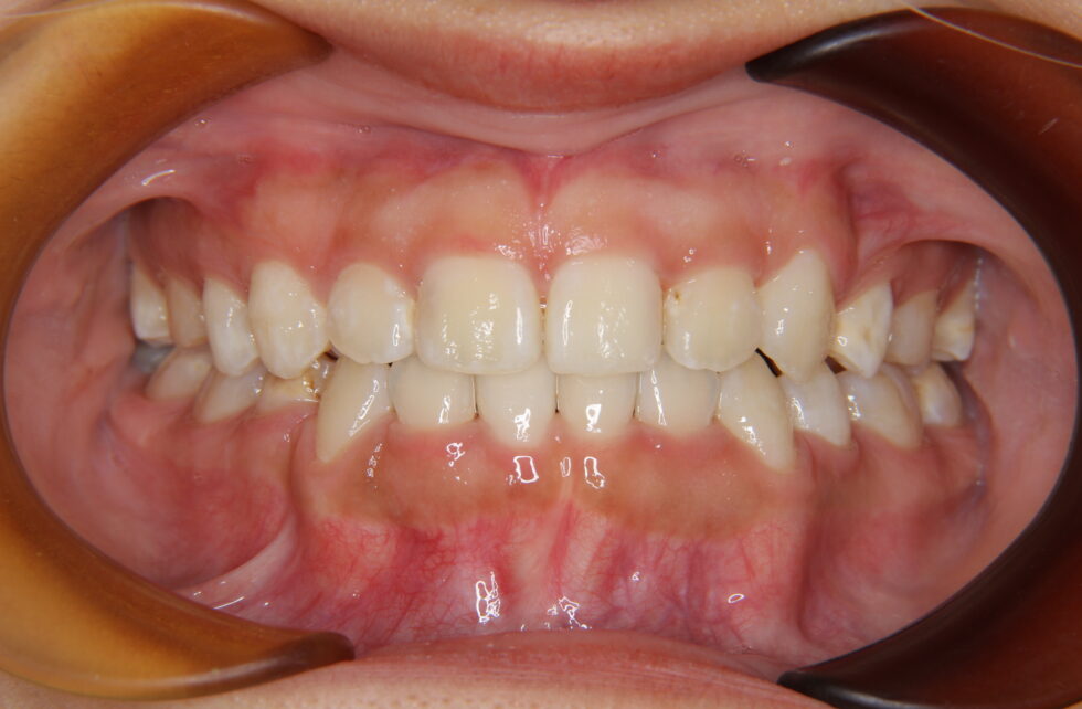
初診時年齢19歳の女性 上下顎の叢生を主訴として来院された。
上顎右側犬歯が埋伏して、左側は唇側転位となっていた。下顎も犬歯が唇側へ転位し、左右合計で7㎜の配列余地が不足していた。上顎は右側の埋伏している犬歯と左側第一小臼歯を抜歯していただき、下顎は上下の正中線が著しくずれていることから、左側第二小臼歯、右側第一小臼歯を抜歯していただくこととした。前処置を行ったうえでマウスピース型カスタムメイド矯正装置(インビザライン)を使用して動的治療を行った。装置の装着状態も良く、正中線の少しのずれが残ったが良好な結果を得ることができた。
動的治療期間2年9か月間
上顎右側犬歯が埋伏して、左側は唇側転位となっていた。下顎も犬歯が唇側へ転位し、左右合計で7㎜の配列余地が不足していた。上顎は右側の埋伏している犬歯と左側第一小臼歯を抜歯していただき、下顎は上下の正中線が著しくずれていることから、左側第二小臼歯、右側第一小臼歯を抜歯していただくこととした。前処置を行ったうえでマウスピース型カスタムメイド矯正装置(インビザライン)を使用して動的治療を行った。装置の装着状態も良く、正中線の少しのずれが残ったが良好な結果を得ることができた。
動的治療期間2年9か月間
元々、歯医者さんからの紹介で中学生のころ、カウンセリングのみ受け、当時はそこまで気にならなかったので治療開始には至りませんでした。
コロナ禍で大学の授業がオンラインになり画面に映る自分の歯並びが気になり、再度相談に行き、開始しました。
ワイヤーとインビザラインと迷っていましたが先生とスタッフの方が、丁寧に分かりやすく説明してくださり、インビザラインで始めると決断できました。
毎回どんな治療をするのか説明してくださいますし、受付、スタッフの方々、堀井先生皆さん気さくにお話してくださるので通いやすかったです。
個人差はあると思いますが私は早く治したかったので先生に言われた装着時間を守るようすごしていたので言われていた期間で治すことができました。
ワイヤーを締めた時やマウスピースを変えるタイミングはやはり多少痛みがあります。
その際は米やパン、豆腐などやわらかい料理を食べれば大丈夫です!2日ほどで気にならなくなります。
歯並びがキレイになり笑顔をほめられ、自信が持てるように変わっていく楽しさの方が強いので全然耐えられます!
今までは笑うとき口に手を当てて隠していましたが、今では何も気にせず笑えます!
ほりい矯正歯科に通って良かったです。














