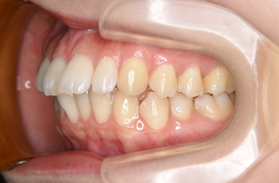
初診時年齢25歳の女性 上顎前歯の前突を主訴にご来院いただいた。
上顎前歯が約7㎜突出していた。上下の正中線のずれもあり、下顎の正中線が上顎と比べ約2㎜右へ偏位していた。側方セファログラムなどの分析を基に骨格性上顎前突と診断した。上顎左右側、下顎左側小臼歯を抜歯していただき上顎舌側、下顎唇側マルチブラケット装置を使用して矯正用アンカースクリューを併用して動的治療を行った。上顎前歯が後退し、上下の正中線も合致した。口元の突出状態も改善し安寧がえられた。動的治療期間2年4か月間 調整来院21回
もともと歯並びはそれほど悪くなかったのですが、出っ歯なのが気になってお金がたまったら矯正をやり始めたいなと思って今に至ります。
矯正はもっと痛くて、ご飯を食べるのも大変だと思っていましたが、想像より全然余裕でした。ご飯を食べるのが大好きなので痛みでゼリーとかしか食べられないのかなと前は思っていましたが、治療前と変わらない食事をしていました。パスタもほうれん草も好きなので食べてみました。歯みがきは面倒くさかったですが…。歯磨きも最初は時間がかかって大変と思っていたけれど、慣れてそれほど苦痛じゃなかったです。
ワイヤー矯正が終わりに向かっていくにつれて出っ歯も改善され、口元の印象も変わってすごく矯正して良かったなと思っています。
今はリテーナーになって歯磨きがすごく楽だけど、飲み会とかで長時間リテーナーを外してはいけないので、食事時間に制限があるのが今はつらいなと思っています。
治療前はワイヤー矯正、マウスピース矯正、色々悩みましたが、私にはワイヤーがすごく合っていたなと思いました。
これから治療をされる方は、何年と長い道のりですが意外とあっという間に時間は経っていくし、痛みや歯磨きなどその矯正の生活もすぐ慣れると思うので、治療終了に向けて頑張ってください。














