矯正治療で重要な矯正用ゴムかけ(エラスティック)の必要性と効果
こんにちは。歯科衛生士の伊藤です。
今回は矯正治療で重要な矯正用ゴムかけ(エラスティック)の必要性と効果についてお話したいと思います。
矯正治療での矯正用ゴムかけ(エラスティック)というのは大切な治療のひとつです。
頑張り次第では治療期間に差が出てきます。
矯正用ゴムかけ(エラスティック)が面倒でついさぼりがちになってしまったり、矯正用ゴム(エラスティック)をかけ忘れてしまうと矯正治療がうまく進んでいかない場合もあります。
ここでは矯正用ゴムかけ(エラスティック)の必要性と効果をご紹介していきます。

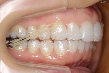
矯正用ゴム(エラスティック)とは??
ドクターからの指示により開始される「矯正用ゴムかけ(エラスティック)」です。
患者さんご自身で矯正装置についているフックに矯正用ゴム(エラスティック)の取り外しを行ってもらいます。
矯正用ゴム(エラスティック)のかけ方は歯を動かしたい方向によって色々あり、かける場所や位置はドクターからの指示があります。
唇側矯正装置、舌側矯正装置、マウスピース型矯正装置(インビザライン)で使用するケースが多いです。
いつ矯正用ゴム(エラスティック)をかけるのか??
基本的には、お食事と歯磨きの時間以外はかけてください。
(もちろん学校や職場、寝ている間も必要になります!)
使用する矯正用ゴム(エラスティック)は1日1回の交換です。
劣化によって矯正用ゴム(エラスティック)の力が低下しないよう、1日ごとに新しい矯正用ゴム(エラスティック)に取替えましょう。
矯正用ゴム(エラスティック)をかけていないと・・・
矯正用ゴム(エラスティック)をかけてちょうど良いように矯正装置のワイヤー調整やマウスピース型矯正装置(インビザライン)の交換を行っています。
もし、矯正用ゴム(エラスティック)をかけていないと治療が進んでいきません。
それだけではなく、矯正装置のワイヤーやマウスピース型矯正装置(インビザライン)の装置の作用が効きすぎて、とんでもない方向に歯を動かしてしまいます。
そして、1日の半分、矯正用ゴム(エラスティック)をかけたからといって、半分だけ動くのではありません。
矯正用ゴム(エラスティック)をかけていない時間には、その前にかけていた分だけ後戻りをしてしまいます。
半分しか矯正用ゴム(エラスティック)をかけていなければ、動いた量はゼロということです。
まとめ
矯正用ゴム(エラスティック)は歯列矯正の仕上がりや治療期間にも影響する、大切な処置です。最終的な治療結果の精度に大きな違いが出てきてしまう場合もあります。
しっかりと矯正用ゴム(エラスティック)をかけていれば、美しい歯並びを早く手に入れられる可能性が高くなります。
お口の開閉や見た目が気になるかもしれませんが、治療期間が延びないよう
しっかりと付けるように心掛けましょう。
矯正治療症例はこちらからご覧ください。
http://www.horii-kyousei.com/category/voice/




















