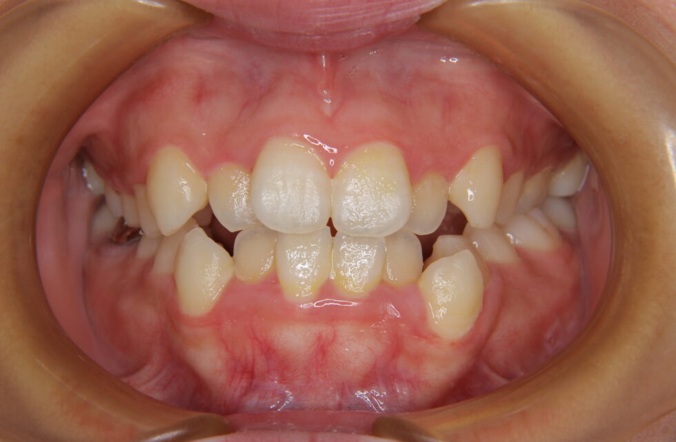
初診時年齢25歳の女性。第一大臼歯(奥歯)の抜歯を伴う叢生のケース。
上下顎前歯の叢生を気にして来院されました。
上下顎前歯の叢生を気にして来院されました。
上顎左側の小臼歯の欠損と下顎右側の第一大臼歯の予後不良(むし歯が進行しており状態が悪い)があったため、変則的な抜歯を行って頂いて治療を行いました。
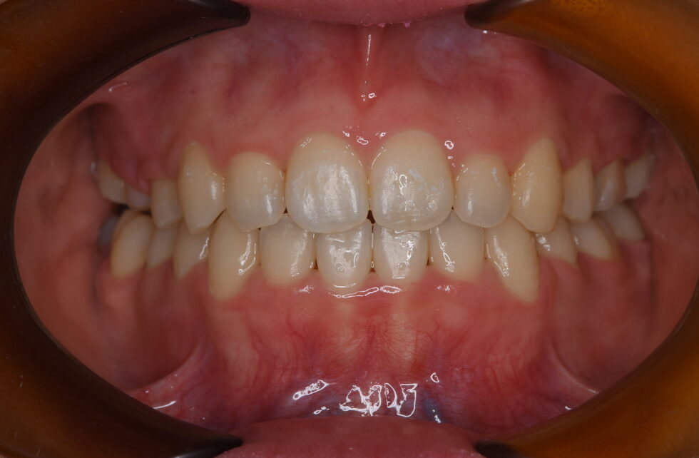
第一大臼歯は咬み合わせにおいて最重要の歯であるため抜歯をすることは稀ですが、今回は状態が悪く将来的に抜歯が避けられないと判断し、上顎右側と下顎左側の小臼歯、下顎右側は第一大臼歯の抜歯を行って頂き、上下顎マルチブラケット装置を使用して動的治療を行いました。
前歯の叢生を改善したうえで、動的治療期間は3年5ヶ月かかりましたが大臼歯を抜歯した下顎右側には埋伏していた智歯(親知らず)を並べることが出来ました。
95万円程度(税込)
昔から歯並びは気になっていたのですが、「八重歯がチャームポイント」と言われそこまで気にはしていませんでした。
しかし段々と自分の歯並びと他の人の歯並びを比較し、自信が持てなくなり、笑うときに口元に手をあてるのがクセになっていました。
社会人になり、矯正のための費用をためて念願の治療がスタートしました。
矯正装置がつくまでに抜歯があったり、青ゴムで歯にすきまを作ることから始まり、いよいよ装置がつくとすごい違和感と痛みがありましたが、きれいな歯並びになっている自分を想像してがんばれました。
長い時間がかかりましたが、矯正が終わり、リテーナーとなった今、歯を見せて笑うこと、しゃべることに抵抗がなくなりました。時間と費用はかかりますが、迷っている人がいたら、私は矯正をおすすめしたいです。














