初診時年齢47歳の女性 ご令息お二人を当院で治療させていただき、その結果を評価していただいて、ご自身も口元の突出、上顎前歯の突出と前歯部の叢生を治したいとしてご来院いただいた。
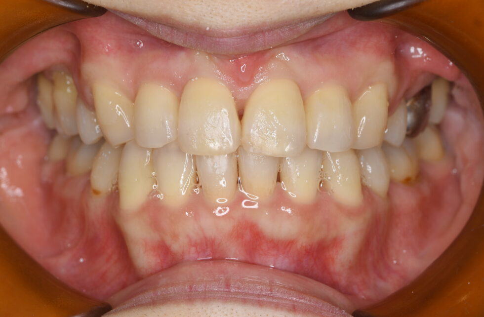
上顎左右側中切歯が前方へ傾斜するように突出し、側切歯は捻転して口蓋側へ転位していた。鼻唇角は90度を少し下回り、閉唇時にはオトガイ部の著しい緊張が見られた。セファロ分析の結果、下顎の後退を少々認めるが、上下顎前突として上下顎小臼歯抜歯を行っていただき、マルチブラケット装置を使用し矯正用アンカースクリューを併用して叢生の改善、前歯の後退を行った。前歯の後退が十分行われ、口元の突出や閉唇時のオトガイ部の緊張は改善した。動的治療期間2年9カ月 治療費の目安90万円程度
これまで自分の歯並びにコンプレックスを感じていましたが、治療をするには至らずにいました。
先に娘二人がこちらで治療していただき、間近で綺麗になっていく様子を見ながら、やはり自分もという思いが強くなったのが治療を受けようと思ったきっかけです。
スタートするには年齢が気になりましたが、今となっては勇気を出して始めて良かったと心から思っています。
笑った時の口元や横顔の変化、歯磨きのしやすさなど、もっと早くに治療をすれば良かったと思うくらいに仕上がりには大満足しています。
せっかく綺麗にしていただいた歯を大切に、いつまでも自分の歯で生活できる様に過ごしていきたいです。
先生方、スタッフの皆様、娘二人共々、長期間に渡り、大変お世話になりました。














