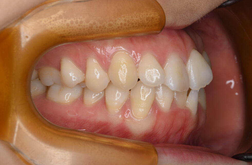
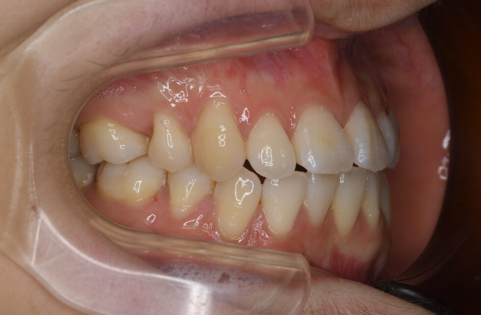
初診時年齢24歳の女性 上下顎前歯部叢生を主訴として来院された。数年前にも当院にご相談に来院されたが、中学生時で永久歯の抜歯に難色を示されたため見送ったとのことであった。
上顎左側側切歯が口蓋側転位となり右側第一大臼歯が口蓋側へ転位していた。下顎は左側中切歯、側切歯が唇舌的に重なり合っていた。叢生の状態に加え下顎が左側へ偏位して臼歯部は左下が内側へ極端に傾斜していた。上顎左右側第一小臼歯、下顎は正中のずれを補うように右側を第一小臼歯、左側は第二小臼歯を抜歯していただき上下顎舌側マルチブラケット装置を使用して動的治療を行った。臼歯部の頬舌的な傾斜を調整しながら咬合を適正化するのに時間を要した。仕事上、来院間隔が長くなる傾向があったため動的治療期間は3年5か月間を要した。 調整来院は27回であった。治療費の目安140万円程度
治療を受けようと思ったのは、以前から自分の歯並びに対してコンプレックスがあり、貯金が出来れば矯正をしたいと思っていたからです。
治療を受けて良かったことは、見た目が変わったことももちろんですが、歯磨きがしやすくなったこともおげられるなあと感じています。
自分の歯とは、これからの人生でも長くつきあっていくので矯正して良かったと思います。
ほりい先生をはじめ、たくさんのスタッフの方々に大変お世話になりました。ありがとうございました。














