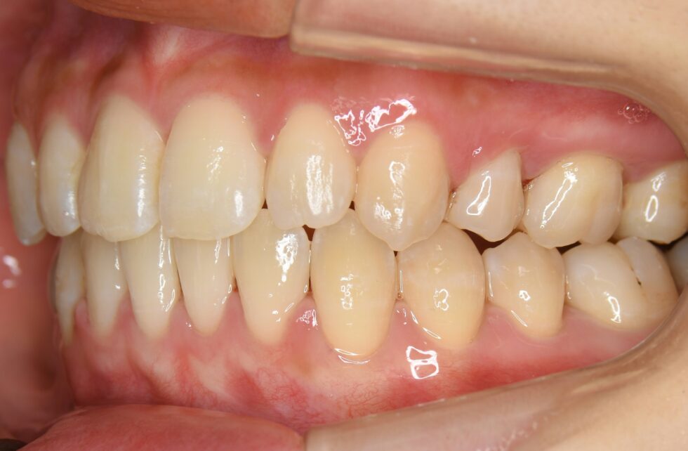
初診時年齢22歳の女性。前歯の叢生を伴う上顎前突のケース。
上顎前歯の乱れと突出を気にしておられました。審美的な矯正装置を希望されたため上顎舌側(裏側)・下顎唇側マルチブラケット装置を使用して、上顎左右側小臼歯の抜歯による動的治療を行いました。乱れていた前歯を整えるとともに、突出していた上顎前歯の後退を行なうことが出来ました。
動的治療期間は2年6ヶ月間
ずっと歯並びが気になっていましたがなかなか矯正に踏み切れず、学生の頃から過ごしていました。友人からの紹介で堀井さんに伺い、丁寧に話を聞いて下さり、安心して矯正を始めることが出来ました。長かったようですが、歯並びが綺麗になりとても嬉しいです。ありがとうございました。今後もよろしくお願いします。














