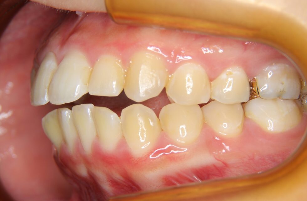
初診時年齢23歳の女性。開咬を伴う上顎前突のケース。
口元の突出および前歯の咬み合わせを気にしておられました。審美的な矯正装置を希望されたため上顎舌側(裏側)・下顎唇側マルチブラケット装置を使用して、上下顎左右側小臼歯の抜歯による動的治療と筋機能療法を併用して行いました。前歯の咬み合わせを改善し、口元の形態を整えることが出来ました。
動的治療期間は2年2ヶ月間
高校生の時に他医院で歯列矯正を2年ほどしました。綺麗に並び、もともと出っ歯だった歯も引っ込みましたが、舌で押してしまい後戻りしてしまいました。口呼吸と口ゴボが気になり、再度病院調べから始め、よさそうだなと思ったのがほりい矯正歯科さんでした。数か所カウンセリングに行く予定でしたが、こちらでカウンセリングを受け、丁寧に十分な説明をしてくださったこと、舌のトレーニングを含めた根本的治療に惹かれ1か所目のこちらで決めました。
治療を受けて良かったことは、口呼吸が治り、寝ている間も大体は鼻呼吸が出来ていると思います。口呼吸だと脳に酸素が行き渡らなかったり、様々な疾患にもつながると聞いていたため、病気の予防や仕事の効率性にも繋がっていると思います。また、小顔になったと久しぶりに会った友人にはよく言われます。
こちらで治療を受ける前の写真を見返すと、ぐっと印象が変わりました。歯並びって大事だなぁと思います。後戻りしないように気を付けたいと思います。
こちらで治療を受けられて本当に良かったです!歯列矯正は早ければ早いほど良いと思います。痛みは知れている程度ですし、私は上側だけ裏側矯正でしたが話しにくさも数日で慣れます。
これから治療される方、応援しています。私もリテーナー頑張ります。














