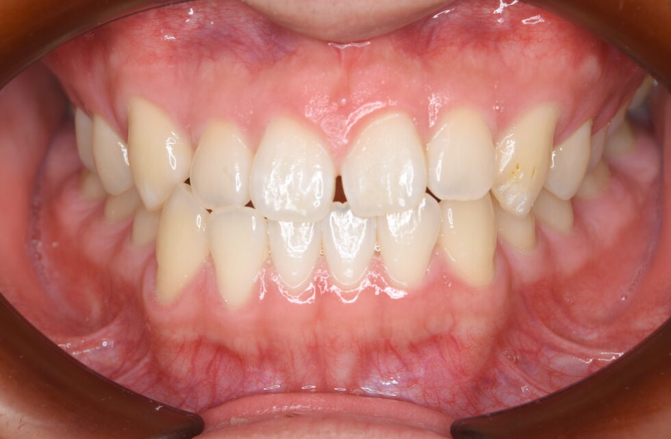
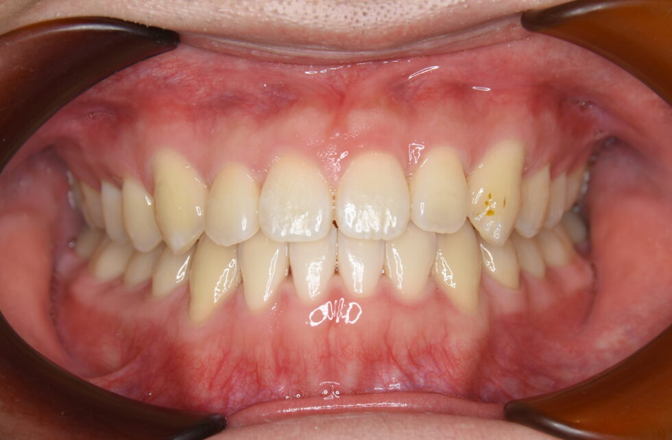
初診時年齢19歳の男性、前歯部反対咬合と歯間空隙を主訴としてご来院いただいた。
上下の正中線のずれがあり右側側切歯と犬歯が反対咬合となっていた。大臼歯関係も下顎
が前方位を取るⅢ級でセファロ分析も合わせて骨格性反対咬合と診断した。患者さんはア
ライナーによる治療を希望されたので上下の智歯(親知らず)を抜歯していただき、アラ
イナーを使用して動的治療を行った。装着時間などの協力状態も良く1年1カ月間で保定へ
移行した。 咬合状態はもちろんであるがスマイル時の下顎の右側への偏位も少し軽減し
たように見るようになった。
今矯正をしたいけどお金や時間で悩んでいる方に向けて少し話されていただきます。私はマウスピース矯正を受けて良かったと心から思っています。歯は自身の外見をも変えてしまうデリケートな存在であって少しでも歯並びの異常などを放置しているとそのツケが回ってきて歯列に悩まされる未来が必ず訪れるので手遅れになる前に治療を受けた方が良いということが自身の体験として言えることです。また、デメリットですが私にとってはメリットだったことは矯正を始めると1日の自由時間が2時間なので食事の制限がされダイエットにもなりました。そして、堀井先生並びにスタッフの皆さんありがとうございました。














