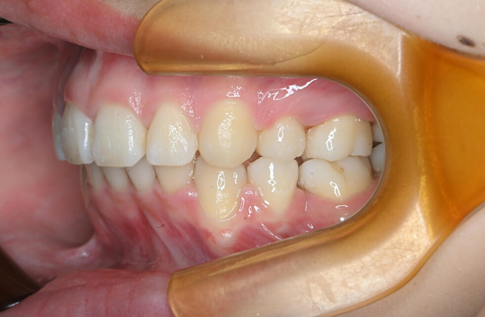
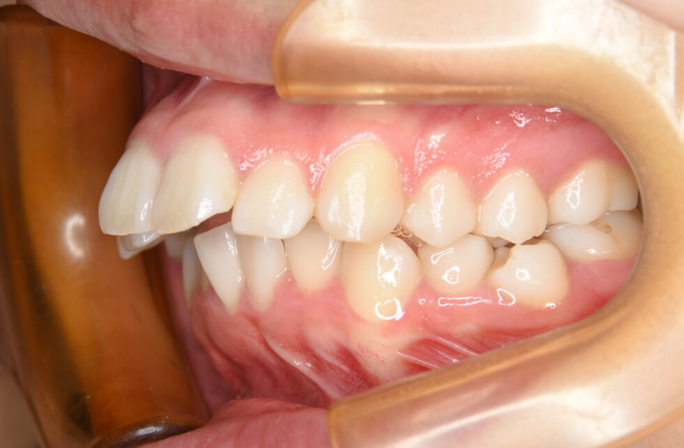
初診時年齢22歳の女性。開咬を伴う上顎前突のケース。
前歯の突出と乱れを気にしておられました。マルチブラケット装置を使用して、上下顎左右側小臼歯の抜歯による動的治療と筋機能療法を併用して行いました。前歯の乱れを改善し、上下の歯を咬み合わせることが出来ました。
動的治療期間は2年10ヶ月間
矯正治療をしてみて、結論本当にして良かったと思っています。
社会人1年目の春にスタートし、丸3年かかりましたが、あのときの自分に勇気を出して矯正をしようと決断してくれてありがとうと伝えたいです。
私は顎が小さく、歯が大きいため、小~中学生にかけて徐々に前歯2本が前に出てきました。その頃は矯正というものにすごく抵抗があり、お金もかかることも子どもながら知っていたので、始めよう!という気にはなりませんでした。しかし、高校・大学生になるにつれて、自撮りしたり、友達に写真を撮ってもらったとき、歯を見せないように笑ったり、歯を見せている写真はSNSに投稿しないようになって、大きなコンプレックスとなっていることに気付きました。
コロナ禍に入り、マスクをするようになったタイミングで周りの友達が矯正を始めた話を聞いたときに、今しかないかも!!と思い私も始めようと勇気が出ました。
働きながらではあったので、有給をとったり、土曜日通う形にはなりましたが、丸3年で本当にキレイな歯並びになったので後悔0,満足100です☆
今思えば、こんなにキレイになって自信がついて自分のことをダイスキ!!となれるなら小学生・中学生の頃にやっていたらどうなってたかな...☺と思います!
抜歯は親知らずを合わせて6本し、アンカープレートを入れたので、何度も顔は腫れ、痛い思いをしましたが、人生100年のうちたった2~3年頑張れば、それ以降の毎日はキラキラして自分のこと大好きになるので、みなさんもあともう少し頑張っていきましょう!☺応援しています。














