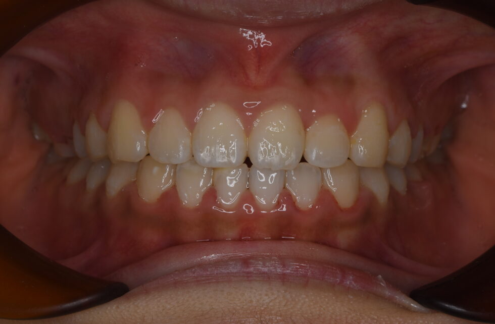
初診時年齢22歳の女性。翼状捻転を伴う叢生のケース。
前歯の乱れを気にしておられました。マルチブラケット装置を使用して、非抜歯による矯正治療を行いました。歯を抜いたり削ることなく前歯の乱れを改善し、正中を一致させることが出来ました。
動的治療期間は1年6ヶ月間
治療を受けようと思ったのは、県内で唯一(たぶん)の矯正指導医の先生がおられるからです。事前の30分のカウンセリングもありがたかったです。
たくさん患者さんがおられるので、予約が取りやすいわけではなかったですが、何度でも無料で予約変更を受けてくださり、いつも助かっています。受付の方には本当にいつも感謝しています。
歯科衛生士の方も、嶋本先生もいつも優しく良くしていただいています。時々疑問に思うことが出来ても質問したら的確にお答えいただけているので、不安や疑問をすぐに解消して、安心して治療をお任せできました。
いろいろ書きましたが、何よりも一番は、あんなに乱れてた歯並びを綺麗に整えて下さったことに感謝です!!
一本だけ大きく乱れていたので、この歯だけ削るかなとか抜歯するかもと色々考えていましたが、そんなことはせずとも、綺麗に整えていただきました。この病院を選んで良かったです。ありがとうございました。














