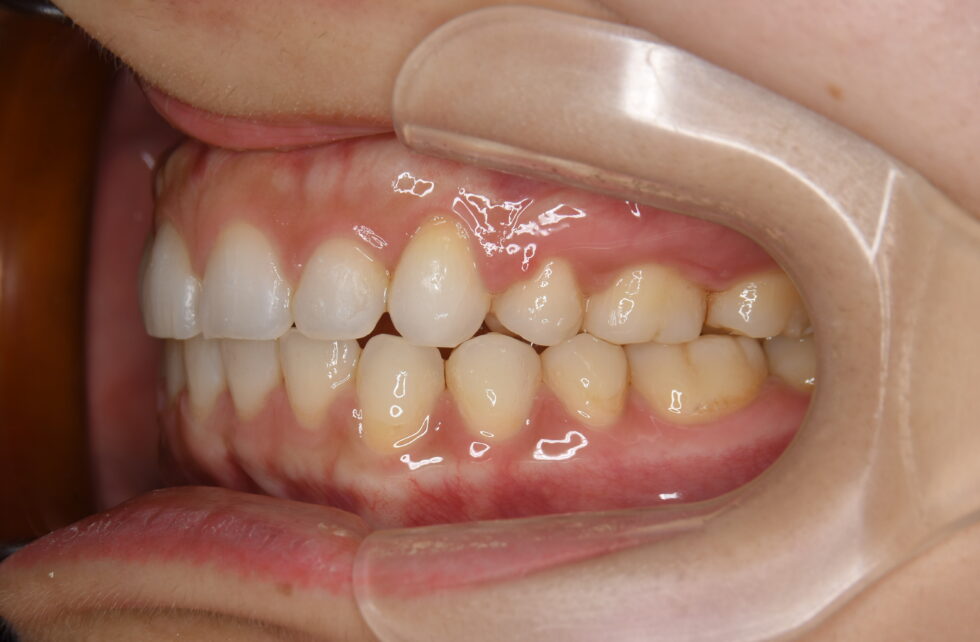
初診時年齢36歳の女性 他院からの転医のケース。
上下顎にブラケットが装着され、空隙が抜歯を行われた部位に残っていた。約5年前から治療を開始されたとのことであったが、装置を装着された医院で空隙閉鎖が進まないとのことで転居をきっかけに当院へご来院いただいた。上顎左側の抜歯空隙が約4㎜、下顎は非抜歯で治療が行われていたが右側犬歯部に約1㎜の空隙があった。また、正中線が2㎜程度ずれていた。装着されているマルチブラケット装置をそのまま使用して、脱離したり装着されていない歯の装置を追加装着し、空隙閉鎖を行うワイヤーを使用して、矯正用ゴムの装着を患者さんに行っていただきながら治療を進めた。約10カ月で空隙を閉鎖し正中線を合致させ仕上げを行って保定に移行することができた。調整来院7回
30歳から矯正を他院で始め、当初3年ほどの治療で治ると言われたのが、5年経っても治らず・・・。抜歯した箇所が埋まらず、治療期間が長引いてることに対しても「もう少し様子を見ましょう」で何も説明が得られませんでした。
引っ越しで物理的に通えなくなり、ほりい矯正歯科クリニックさんに転院しました。結果、「もっと早く出会っていれば・・・!」との思いでいっぱいです!
あれだけ埋まらなかった隙間が、みるみる間に埋まっていきました。1年半ほどの治療で、装置が取れ、リテーナーへと移行。30代のほとんどを矯正に費やすことになってしまったので、最初からほりい矯正さんを知っていれば、との思いでいっぱいです。また、院長がどうして隙間が埋まらなかったかも、明確に説明してくれました。
綺麗に治して下さり、ありがとうございました。
また引っ越しで、関西圏外へと移動になりますが、ほりい矯正歯科さん以外は考えられないので、遠くても通います。
これからもよろしくお願い致します。














