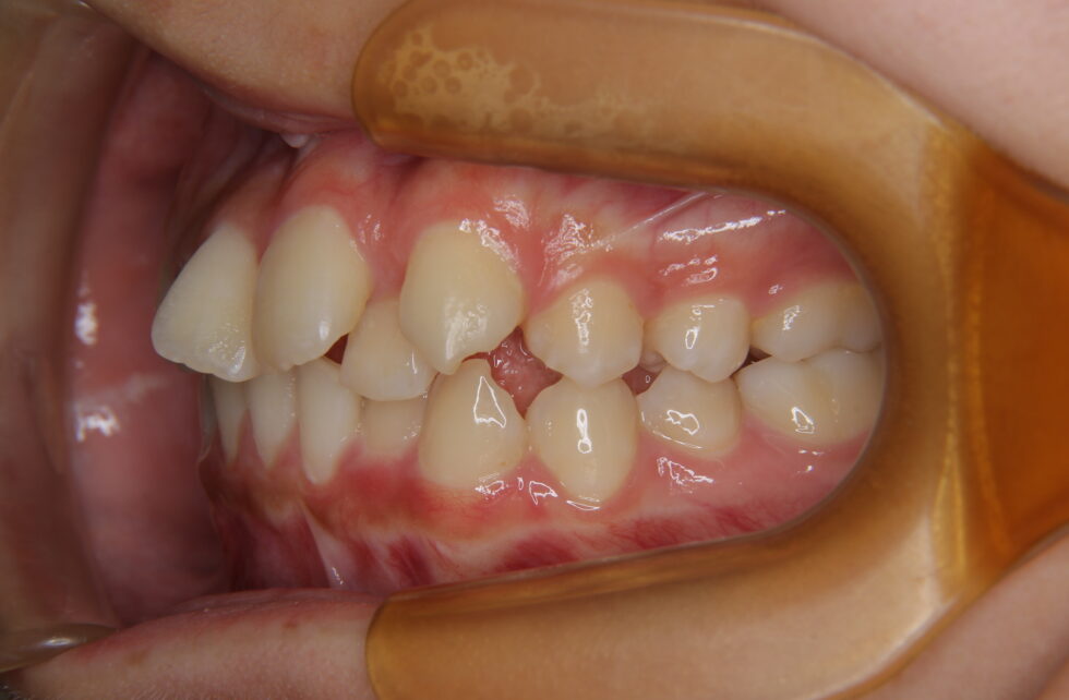
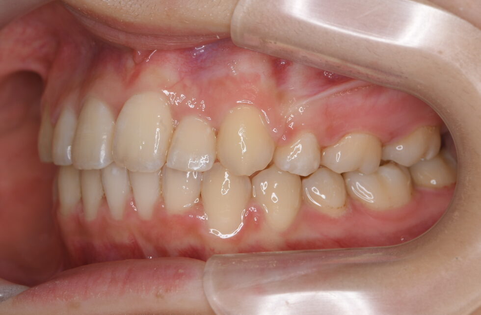
初診時年齢16歳の女性。叢生を伴う上顎前突のケース
前歯の乱れと突出を気にして来院されました。マルチブラケット装置を使用して、上顎左右側第一小臼歯の抜歯による動的治療を行いました。乱れていた歯並びと咬み合わせを改善することが出来ました。動的治療期間は2年5ヶ月間
私は昔から歯並びにコンプレックスをもっていて思い切り笑うことに抵抗がありました。勇気を出して親に相談してみると、悩んでいるならと、治療を受けさせてくれました。
治療を始める前は痛くて好きなものをたべられなくなるんだろうなー、痛くて寝れない日もあるんだろうなーと痛いというイメージが強く不安でしたが、いざ治療をはじめると、思っていたよりも痛みは強くなく、頑張れば耐えられる程度でストレスなく装置をつけていられました。痛みよりもストレスになっていたのは、食べ物がはさまるということです(笑)。人前で歯磨きはできないくらいで食事のあとは、歯を見せるのに抵抗がありました。どうしようもできないことなので耐え抜きました。
クリニックが石山駅のすぐ近くにあったこともあり、比較的通いやすかったです。
何より先生や受付の方がとても優しく、いつも笑顔で接してくださったおかげで、通院が苦にならず安心して治療を進めることができました。最後の装置を外す日も花束をプレゼントしてくださるなどのサービス精神が27年間も愛されるクリニックということを表しているなと感じました。
歯列矯正を通じて、少しずつ自分の笑顔に自信をもてるようになり、本当に感謝しています。














